 Your new post is loading...
|
Scooped by
Beeyond
November 3, 4:05 AM
|
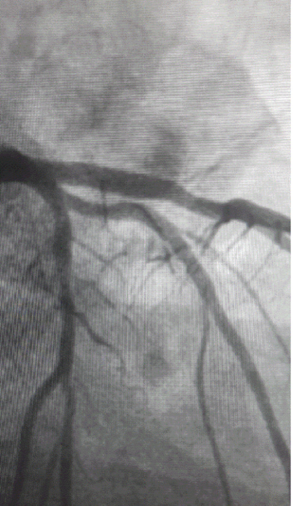
Coronary calcium is present in up to 30% of patients undergoing percutaneous coronary intervention (PCI) and is a key contributor to procedural complexity and suboptimal short and long-term clinical outcomes. While several balloon-based devices are available for calcium modification, direct comparisons remain limited. These devices vary significantly in mechanism of action and cost, underscoring the need for head-to-head evaluation.
|
Scooped by
Beeyond
November 3, 4:05 AM
|
Results from the first randomized clinical trial in the United States to compare a sirolimus-eluting balloon (DEB) to control group consisting of drug-eluting stent (DES) and balloon angioplasty (BA) for the treatment of bare-metal and DES in-stent restenosis (ISR) deemed DEB to be noninferior to conventional therapies. ISR after DES implantation occurs in 4-8% of patients within one year and continues in over 1% of patients annually. In addition, more than 10% of PCI is due to ISR. The approach to treatment of ISR includes the use of DES, DEB, BA, or coronary artery bypass surgery. However, there are limited randomized data examining the use of drug-coated balloons compared with other conventional approaches for ISR, and no approved sirolimus-eluting balloons in the United States.
|
Scooped by
Beeyond
November 3, 4:03 AM
|
A new drug-eluting balloon can perform just as well as the standard treatment for patients with coronary in-stent restenosis (ISR) undergoing repeated percutaneous coronary intervention (PCI). These breakthrough findings of an international clinical trial led by a Mount Sinai researcher could transform the way this patient population is treated. This is the first U.S.-regulated, and largest randomized, trial to compare a balloon coated with the drug sirolimus against the current standard of care for ISR, which includes both repeat stenting and balloon angioplasty. It could lead to a safer and simpler alternative for patients who need repeat PCI.
|
Scooped by
Beeyond
October 30, 11:22 AM
|
Stents kommen zum Einsatz, um Verengungen von Blutgefäßen zu beseitigen, das Gefäß zu stabilisieren und damit Schlaganfällen und Herzinfarkten vorzubeugen. Das Implantieren schädigt jedoch die Gefäßinnenwand, zudem wird ein körperfremdes Material in den Körper eingesetzt. Beides kann zu einer erneuten Verengung des betroffenen Blutgefäßes beitragen. Forscher des Fraunhofer IAP wollen das verhindern – mit speziell beschichteten und sich auflösenden Stents.
|
Scooped by
Beeyond
October 27, 7:59 AM
|
Both randomised clinical trials demonstrated positive outcomes that met primary endpoints for the Selution SLR drug-eluting balloon (DEB) compared to the current standard of care in treating de novo and in-stent restenosis (ISR) coronary lesions. The results highlight Selution as an alternative to drug-eluting stents (DES), offering physicians the ability to minimise the need for stents, the company said in a press release highlighting the results.
|
Scooped by
Beeyond
October 27, 7:58 AM
|
A new drug-eluting balloon can perform just as well as the standard treatment for patients with coronary in-stent restenosis (ISR) undergoing repeated percutaneous coronary intervention (PCI). These breakthrough findings of an international clinical trial led by a Mount Sinai researcher could transform the way this patient population is treated.
|
Scooped by
Beeyond
October 20, 7:07 AM
|
“Endovascular thrombectomy has transformed acute ischaemic stroke care, with onset-to-puncture [OTP] time widely recognised as a critical determinant of outcome,” the authors write, outlining the backdrop to their study. “However, emerging evidence suggests that in-hospital procedure time—from arterial puncture to final recanalisation—may have an equally or more significant impact.”
|
Scooped by
Beeyond
October 13, 6:14 AM
|
Face à la possible suppression du remboursement des stents, plusieurs praticiens du CNCH ont récemment alerté sur les conséquences majeures de cette mesure. Pour rappel, les stents sont des dispositifs médicaux implantés dans les artères et sont facturés en sus du tarif du GHS. La réforme envisagée prévoit d’intégrer le coût des stents directement dans le tarif des GHS, ce qui entraînerait la suppression de leur remboursement spécifique.
|
Scooped by
Beeyond
October 11, 1:15 PM
|
Le ministère de la Santé prévoit de nouvelles économies sur les dispositifs médicaux à hauteur de 160 millions d’euros, en particulier dans le domaine du cardio-vasculaire. Les industriels sont vent debout.
|
Scooped by
Beeyond
October 11, 9:37 AM
|
For patients with compromised limb viability, such as acute and chronic limb-threatening ischaemia, or severe functional impairment that does not improve with exercise training, lower extremity revascularization is recommended. Given the complexity of PAD management, a multidisciplinary vascular team is required to achieve the best individualized treatment. Further research efforts should focus on reducing ischaemic events and health disparities and on optimizing the implementation of GDMT and exercise therapy, as well as improving the quality of life in patients with PAD.
|
Scooped by
Beeyond
October 8, 1:22 PM
|
This consensus sought to standardize study designs and endpoints for clinical trials involving drug-coated balloons, including defining angiographic, intravascular, and non-invasive imaging methods for lesion assessment, alongside considerations for post-revascularization pharmaco-therapy. The concept of ‘blended therapy’, which advocates for combining device strategies, is also discussed. This paper delineates study types, endpoint definitions, follow-up protocols, and analytical approaches, aiming to provide consistency and guidance for interventional cardiologists and trialists.
|
Scooped by
Beeyond
October 7, 1:57 PM
|
CD47-VE-Cadherin-Mfp-5 (CD47-VE-M) fusion protein was synthesized for the first time. CD47-VE-M coatings promote endothelial repair, suppress macrophage phagocytosis in vitro. Dual-functional stent accelerates endothelialization and reduces restenosis in vivo.
|
Scooped by
Beeyond
September 22, 6:22 AM
|
Serruys discusses results of the TRANSFORM-1 study*, where it was shown that after treatment using the SeQuent® Please NEO (B. Braun), a paclitaxel DCB, dissection volume was not associated with late lumen loss, showing in fact an association with late luminal gain. “The more you dissect, the better the result is in the long-term, which is a bit counterintuitive because we were always afraid of dissections previously,” says Serruys.
|
Scooped by
Beeyond
September 15, 2:19 AM
|
The duration of dual antiplatelet therapy (DAPT) in patients with myocardial infarction (MI) should be shortened from 1 year to 3 months, according to data from a new randomized, real-world trial. In the DUAL-ACS trial, giving DAPT for the first 3 months after MI and then continuing with single antiplatelet therapy was associated with a strong trend towards lower all-cause mortality than continuing with DAPT for 12 months. The principal secondary endpoint, cardiovascular death or recurrent MI, did not differ between the two groups, but researchers observed a strong trend towards an increase in major bleeding in patients who received 12 months of DAPT. Unfortunately, the trial was underpowered due to recruitment issues during the COVID-19 pandemic, and none of the results reached significance.
|
Scooped by
Beeyond
September 14, 12:21 AM
|
Overall, considerably more success has been achieved in reducing the thrombogenicity of bio-artificial surfaces than in controlling complement activation: For example, surfaces coated with different forms of heparin or PEG are associated with low or negligible activation of coagulation and subsequent platelet loss. Thus, there are numerous surfaces that have low thrombogenicity available that still bear substantial complement-activating capacity. Some of these materials will no doubt be a
|
Scooped by
Beeyond
September 12, 11:56 PM
|
This randomised trial will assess a dual-device strategy involving drug-coated balloon (DCB) angioplasty and drug-eluting stent (DES) implantation against single-device approaches using either DCB or DES alone. The study will focus on diabetic patients with de novo coronary artery lesions while addressing a gap in treatment, as these patients often face higher rates of stent failure despite advancements in DES technology.
|
Scooped by
Beeyond
September 10, 2:31 AM
|
Technological advances have revolutionized the design, development, and manufacturing of advanced implantable CV devices. However, due to insufficient hemocompatibility, they are still associated with devastating complications. Tissue engineering is an emerging field in contemporary health sciences aimed to optimize CV implants. This scope can be achieved through physical or biochemical surface modification of CV implants aimed to mimicking the physiological endothelial tissue function. The biochemical functionalization described above is difficult from economic and regulatory aspects. Microengineering of CV surface topography can be a promising cost-effective strategy.
|
Scooped by
Beeyond
September 8, 5:03 AM
|
TraceLink, the end-to-end digital network platform for intelligent orchestration of the life sciences and healthcare supply chain, has announced significant new platform enhancements to drive supply chain transformation with its Orchestration Platform for Universal Solutions (OPUS). The new capabilities are designed to empower supply chain, finance, commercial, and IT leaders to master today’s supply chain complexities and prepare for the increasing prevalence of goal-oriented AI systems.
|
Scooped by
Beeyond
September 8, 4:59 AM
|
Given the growing strength of the evidence that the benefit-to-risk ratio of antiplatelet therapy following myocardial infarction differs markedly by the variables that increase risk for recurrent thrombosis or bleeding, Bhatt believes that risk scoring strategies will be used increasingly. Rather than “eyeballing” risk factors, he called for an objective approach to match patients to an antiplatelet strategy with an optimal projected balance of benefit to risk.
|
Scooped by
Beeyond
September 1, 8:41 AM
|
Central airway stenosis, otherwise defined as airway narrowing, is often associated with prolonged intubation, tracheostomy, stenting, tuberculosis or lung transplant. There are approximately 100,000 tracheo-bronchial stenting and dilation procedures performed annually within the United States. The study will serve as the basis for Airiver Medical’s regulatory submission to the FDA and eventual commercialization of the Airiver Pulmonary DCB in the U.S.
|
Scooped by
Beeyond
August 11, 3:47 AM
|
Over a century of progress in surgery, drugs, prevention, and emergency response has driven down death rates from heart disease and stroke.
|
Scooped by
Beeyond
August 11, 3:46 AM
|
Concept Medical has announced the enrolment of the first patient in the MAGICAL-SV trial, a US investigational device exemption (IDE) study evaluating its MagicTouch sirolimus-coated balloon (SCB) for the treatment of small coronary vessels, following US Food and Drug Administration (FDA) IDE approval.
|
Scooped by
Beeyond
August 7, 5:00 PM
|
While stent length mismatch is much more common and taken less seriously,diameter mismatch can be more problematic since it looks strikingly odd & ugly .Still, one section of cardiologists believes a little amount of oversizing is safe and good. There is equal opposition to this concept as well. It is not surprising , acquired stent-ectasia of coronary artery during PCI ,has both advantages as well as troubling issues.
|
Scooped by
Beeyond
August 7, 6:04 AM
|
The self-adaptive anti-coagulant functional modules within the coating was achieved by thrombin-responsive nanogels. By responding to thrombin, the upstream initiator of coagulation-inflammation, the nanogels dynamically regulated anti-coagulant drug delivery, releasing the therapeutic agents in high thrombotic risk conditions while retaining them in low-risk states. To enhance the blockade of coagulation-inflammation loop, the polyphenol epigallocatechin gallate (EGCG) acted as anti-inflammatory functional modules and participated in coating construction as a cross-linking agent.
|
Scooped by
Beeyond
August 3, 6:10 AM
|
Through the detection of biochemical markers, we recorded significant alteration in eNOS, ICAM1, and monocyte attachment in EC grown in microchannel having 60o vessel branching angle which correlated with the lower WSS. The present study highlights the importance of blood vessel branching angle as one of the crucial determining factors in governing atherogenic-endothelial dysfunction.
|
Curated by Beeyond
BEEYOND is a consulting company in the field of disruptive innovation, accompanying established companies on out-of-the-core growth strategy, from creation of new concepts to product launch. Reach us at: contact@beeyond.fr.
|