Scooped by Beeyond
onto Neurovascular Intervention
November 30, 2025 4:30 PM
Scoop.it!

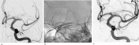
First-in-human trial of a self-expandable, temporary dilation system for intracranial atherosclerotic disease in patients presenting with acute ischemic stroke

First-in-human trial of a self-expandable, temporary dilation system for intracranial atherosclerotic disease in patients presenting with acute ischemic stroke | Neurovascular Intervention | Scoop.it

Intracranial atherosclerotic disease (ICAD) significantly contributes to ischemic stroke, especially among Asian populations. Large vessel occlusion (LVO) due to underlying ICAD accounts for 15–35% of acute ischemic stroke cases requiring endovascular therapy. However, the successful recanalization rate of ICAD-related LVO remains lower. The TG dilator is a self-expandable device, temporarily dilating ICAD-related blocked blood vessels.

No comment yet.
Your new post is loading...
Scooped by Beeyond
February 9, 8:35 AM
Scoop.it!

Post-thrombectomy alteplase linked to better stroke outcomes

Post-thrombectomy alteplase linked to better stroke outcomes | Neurovascular Intervention | Scoop.it

Large-artery ischemic (clot-caused) strokes account for about 1 in 4 ischemic strokes, according to study author ángel Chamorro, M.D., Ph.D., professor of neurology at the University of Barcelona and head of the Comprehensive Stroke Center Hospital Clinic in Barcelona. These types of strokes can cause death and long-term disability because they block large arteries that supply blood to significant areas of the brain.

No comment yet.
Scooped by Beeyond
February 7, 5:06 AM
Scoop.it!

Société des Neurosciences • Expérimentation animale

Société des Neurosciences • Expérimentation animale | Neurovascular Intervention | Scoop.it

Initiée par le Ministère de la Recherche de l’Enseignement Supérieur et de l’Innovation, cette démarche est coordonnée par le Gircor, et fait écho à des initiatives similaires dans d’autres pays européens. En tant que signataire de cette Charte de transparence, la Société des Neurosciences s’engage à mieux informer le grand public sur l’utilisation d’animaux dans la recherche scientifique française en neurosciences.

No comment yet.
Scooped by Beeyond
February 4, 9:12 AM
Scoop.it!

Naox nabs 1st FDA clearance for in-ear EEG device

Naox nabs 1st FDA clearance for in-ear EEG device | Neurovascular Intervention | Scoop.it

Naox Technologies has become the first medtech company to receive FDA clearance for its in-ear EEG device that can negate the need for complex and limited scalp electrodes that have been used for brain monitoring for decades.
Naox Link is an electroencephalography (EEG) platform that patients use via a small sensor worn in the ear, allowing brain activity to be monitored while they move around. According to a Jan. 6 release, the approach “enables long-duration, real-world brain monitoring beyond traditional hospital environments.”

No comment yet.
Scooped by Beeyond
February 2, 4:44 AM
Scoop.it!

New Guidance on Management of Acute Ischemic Stroke

New Guidance on Management of Acute Ischemic Stroke | Neurovascular Intervention | Scoop.it

Stroke is now the fourth leading cause of death in the US, with one person dying about every 3 minutes, according to the latest statistics. Over the past decade, several landmark trials have reshaped acute stroke care, including interventions for large vessel occlusion, thrombolysis, or endovascular thrombectomy (EVT), and streamlined hospital workflows.
“The 2026 guidance brings that progress together to standardize stroke care across hospitals of all sizes and ensure rapid, evidence-based treatment for every patient, regardless of where they live,” the AHA/ASA noted. 

No comment yet.
Scooped by Beeyond
January 26, 9:20 AM
Scoop.it!

Sino Medical Sciences Technology's AUCURA Flow-Diverting Stent Approved by NMPA

Sino Medical Sciences Technology's AUCURA Flow-Diverting Stent Approved by NMPA | Neurovascular Intervention | Scoop.it

China-based Sino Medical Sciences Technology Inc. (SHA: 688108) announced that its holding subsidiary Neurovita has received market approval from the National Medical Products Administration (NMPA) for its AUCURA flow-diverting stent. This approval is for the treatment of adult patients with ruptured cystic or fusiform wide neck aneurysms (neck width ≥ 4mm or tumor/neck ratio < 2) of the internal carotid artery (from the petrous segment to the distal end) and vertebral artery, with a diameter of the tumor-carrying vessel ranging from 2.0mm to 6.0mm.

No comment yet.
Scooped by Beeyond
January 26, 9:14 AM
Scoop.it!

Endovascular treatment of symptomatic severe intracranial atherosclerotic stenosis with a novel intracranial dedicated drug-eluting stent

Endovascular treatment of symptomatic severe intracranial atherosclerotic stenosis with a novel intracranial dedicated drug-eluting stent | Neurovascular Intervention | Scoop.it

This study indicated a favorable midterm clinical outcome of the novel intracranial DES NOVA stent, with a low rate of ISR and without increasing the incidence of periprocedural complications in highly selected patients. The NOVA stent represents a promising new therapy to treat ICAS. However, the clinical results need to be further verified by larger sample size controlled studies with longer follow-up periods.

No comment yet.
Scooped by Beeyond
January 26, 9:07 AM
Scoop.it!

Self-expanding intracranial drug-eluting stent system in patients with symptomatic intracranial atherosclerotic stenosis: initial experience and midterm angiographic follow-up

Self-expanding intracranial drug-eluting stent system in patients with symptomatic intracranial atherosclerotic stenosis: initial experience and midterm angiographic follow-up | Neurovascular Intervention | Scoop.it

COMETIU is safe and effective for treating ICAS, with minimal risk during the procedure and a low rate of ISR during medium-term follow-up.

No comment yet.
Scooped by Beeyond
January 26, 3:29 AM
Scoop.it!

Simple Blood Test Predicts Stroke Outcomes

Simple Blood Test Predicts Stroke Outcomes | Neurovascular Intervention | Scoop.it

In patients with acute ischaemic stroke receiving reperfusion therapies such as mechanical thrombectomy (MT) or intravenous thrombolysis (IVT), an elevated neutrophil‑to‑lymphocyte ratio before treatment was associated with poor functional outcomes, whereas a higher lymphocyte‑to‑monocyte ratio was linked to better functional outcomes after MT.

No comment yet.
Scooped by Beeyond
January 26, 3:28 AM
Scoop.it!

Machine learning for predicting functional outcomes in acute ischemic stroke: insights from a nationwide stroke registry 

Machine learning for predicting functional outcomes in acute ischemic stroke: insights from a nationwide stroke registry  | Neurovascular Intervention | Scoop.it

Accurately predicting the prognosis of patients with acute ischemic stroke at discharge remains highly challenging after active treatment. The aim of this retrospective nationwide registry-based study was to identify key predictors associated with favorable outcomes and to develop machine learning models for patient outcome prediction.

No comment yet.
Scooped by Beeyond
January 26, 3:27 AM
Scoop.it!

Thromboinflammation dans l’accident vasculaire cérébral ischémique - Vers de nouvelles opportunités thérapeutiques ? | médecine/sciences

Thromboinflammation dans l’accident vasculaire cérébral ischémique - Vers de nouvelles opportunités thérapeutiques ? | médecine/sciences | Neurovascular Intervention | Scoop.it

L’accident vasculaire cérébral ischémique résulte de l’occlusion d’une artère intracrânienne, et son traitement nécessite une recanalisation artérielle rapide afin de rétablir la perfusion cérébrale. Les traitements actuels de recanalisation artérielle, la thrombolyse intraveineuse et la thrombectomie mécanique, ont amélioré le pronostic, mais leur faisabilité est restreinte et leur capacité à rétablir une bonne reperfusion cérébrale reste limitée. Des expériences dans des modèles animaux d’accident vasculaire cérébral ischémique, ainsi que des données cliniques, suggèrent que la thromboinflammation serait un facteur clé de résistance à ces traitements, non seulement en limitant l’efficacité de la thrombolyse intraveineuse, mais également en découplant recanalisation artérielle et reperfusion cérébrale.

No comment yet.
Scooped by Beeyond
January 19, 6:36 AM
Scoop.it!

Improving of Brain-Machine Interaction Performance by Sensory and Transcranial Magnetic Stimulation 

Improving of Brain-Machine Interaction Performance by Sensory and Transcranial Magnetic Stimulation  | Neurovascular Intervention | Scoop.it

In this study, we address the issue of whether applying transcranial magnetic and vibrotactile stimulation can improve the motor imagery BMI performance. Our findings provide evidence that applying transcranial magnetic stimulation with specified parameters (frequency 5 Hz, duration 6 min, 90% of the muscle activation threshold at rest) leads to preactivation of the occipital brain region and facilitates sensorimotor integration during motor imagery. We found that this process results in TMS-induced decrease of the motor imagery BMI latency. Integration of vibrotactile feedback in motor imagery BMI leads to enhancement of the BMI performance by an increase of the ERD level of EEG patterns over the contralateral motor cortex area corresponding to the MI of the non-dominant hand and an increase in motor cortical excitability.

No comment yet.
Scooped by Beeyond
December 29, 2025 2:15 PM
Scoop.it!

Nitinol Stent Placement in a Stenosed Artery: A Highly Nonlinear Application Scenario for Two Novel Finite-Element Models

Nitinol Stent Placement in a Stenosed Artery: A Highly Nonlinear Application Scenario for Two Novel Finite-Element Models | Neurovascular Intervention | Scoop.it

To capture the damage in the artery induced by the stent, a gradient-enhanced damage model for arteries is implemented. It allows a detailed investigation of damage onset and evolution and proves to be numerically robust. Due to the modularity of the damage model, further characteristics of the artery such as prestretch, anisotropic behavior, and mass turnover can be readily incorporated.

No comment yet.
Scooped by Beeyond
December 25, 2025 9:04 AM
Scoop.it!

Scientists found a way to restore brain blood flow in dementia

Scientists found a way to restore brain blood flow in dementia | Neurovascular Intervention | Scoop.it

A new study suggests that dementia may be driven in part by faulty blood flow in the brain. Researchers found that losing a key lipid causes blood vessels to become overactive, disrupting circulation and starving brain tissue. When the missing molecule was restored, normal blood flow returned. This discovery opens the door to new treatments aimed at fixing vascular problems in dementia.

No comment yet.
Scooped by Beeyond
December 15, 2025 5:47 AM
Scoop.it!

Mumbai doctors observing rise in brain stroke cases during the winter

Mumbai doctors observing rise in brain stroke cases during the winter | Neurovascular Intervention | Scoop.it

The factors causing a surge in stroke cases during winter are a cold-induced rise in blood pressure, dehydration, and reduced activity. Experts emphasise awareness and preventive measures to protect at-risk individuals

No comment yet.
Scooped by Beeyond
December 8, 2025 4:28 AM
Scoop.it!

Study Shows How AI is Transforming Stroke Care

Study Shows How AI is Transforming Stroke Care | Neurovascular Intervention | Scoop.it

Study in Lancet Digital Health represents the largest real-world evaluation of stroke AI imaging, encompassing data from more than 450,000 patients admitted to more than 100 NHS England hospitals over a 5-year period

No comment yet.
Scooped by Beeyond
November 30, 2025 4:31 PM
Scoop.it!

CREST-2 Study Highlights Benefits of Carotid Artery Stenting

CREST-2 Study Highlights Benefits of Carotid Artery Stenting | Neurovascular Intervention | Scoop.it

According to a new study published in the New England Journal of Medicine, carotid artery stenting combined with medical therapy demonstrated a significantly lower stroke risk compared to intensive medical therapy alone in patients with severe asymptomatic carotid stenosis.

No comment yet.
Scooped by Beeyond
November 30, 2025 4:30 PM
Scoop.it!

First-in-human trial of a self-expandable, temporary dilation system for intracranial atherosclerotic disease in patients presenting with acute ischemic stroke

First-in-human trial of a self-expandable, temporary dilation system for intracranial atherosclerotic disease in patients presenting with acute ischemic stroke | Neurovascular Intervention | Scoop.it

Intracranial atherosclerotic disease (ICAD) significantly contributes to ischemic stroke, especially among Asian populations. Large vessel occlusion (LVO) due to underlying ICAD accounts for 15–35% of acute ischemic stroke cases requiring endovascular therapy. However, the successful recanalization rate of ICAD-related LVO remains lower. The TG dilator is a self-expandable device, temporarily dilating ICAD-related blocked blood vessels.

No comment yet.
Scooped by Beeyond
November 30, 2025 10:34 AM
Scoop.it!

Thrombectomy Choice in Basilar Stroke May Hinge on Clot Type

Thrombectomy Choice in Basilar Stroke May Hinge on Clot Type | Neurovascular Intervention | Scoop.it

In stroke due to basilar artery occlusion, the best technique to use for thrombectomy appears to depend on the underlying etiology of the clot, a new trial suggested. The Chinese ANGEL-COAST randomized trial compared two different techniques used for endovascular thrombectomy — either contact aspiration or stent retriever — in patients with basilar artery occlusion stroke. Results showed that using contact aspiration on the first attempt at clot removal achieved higher initial reperfusion rates without increasing the risk for symptomatic intracerebral hemorrhage or periprocedural complications.

No comment yet.
Scooped by Beeyond
November 20, 2025 9:29 AM
Scoop.it!

Managing thrombosis risk in flow diversion: A review of antiplatelet approaches

Managing thrombosis risk in flow diversion: A review of antiplatelet approaches | Neurovascular Intervention | Scoop.it

Flow diversion is a transformative approach in neurointerventional surgery for intracranial aneurysms that relies heavily on effective antiplatelet therapy. The ideal approach, including the timing of treatment, the use of dual antiplatelet therapy (DAPT), and the number of flow-diverter devices to use, remains unknown. DAPT, which combines aspirin with a thienopyridine like clopidogrel, prasugrel, or ticagrelor, is the standard regimen, balancing thromboembolic protection and hemorrhagic risk. The variable response to clopidogrel, influenced by genetic polymorphisms, necessitates personalized treatment strategies. Alternatives like prasugrel and ticagrelor provide superior efficacy in specific scenarios but require careful consideration of bleeding risks and costs.

No comment yet.
Scooped by Beeyond
November 20, 2025 9:25 AM
Scoop.it!

Variability patterns in dual antiplatelet therapy following endovascular repair of intracranial aneurysms

Variability patterns in dual antiplatelet therapy following endovascular repair of intracranial aneurysms | Neurovascular Intervention | Scoop.it

Despite growing evidence supporting the success of DAPT in reducing thromboembolic events, the lack of consensus on optimal regimens, doses, and duration is evident. Factors contributing to this variability include genetic polymorphisms affecting treatment response and ongoing debates regarding the clinical significance of hemorrhagic complications associated with DAPT.

No comment yet.
Scooped by Beeyond
November 10, 2025 3:27 AM
Scoop.it!

Thrombectomy Choice in Basilar Stroke May Hinge on Clot Type

Thrombectomy Choice in Basilar Stroke May Hinge on Clot Type | Neurovascular Intervention | Scoop.it

The Chinese ANGEL-COAST randomized trial compared two different techniques used for endovascular thrombectomy — either contact aspiration or stent retriever — in patients with basilar artery occlusion stroke. Results showed that using contact aspiration on the first attempt at clot removal achieved higher initial reperfusion rates without increasing the risk for symptomatic intracerebral hemorrhage or periprocedural complications.

No comment yet.
Scooped by Beeyond
November 3, 2025 4:20 AM
Scoop.it!

IA Alteplase Shows Functional Gains After Thrombectomy

IA Alteplase Shows Functional Gains After Thrombectomy | Neurovascular Intervention | Scoop.it

Intra-arterial (IA) alteplase was associated with superior 90-day functional outcomes than standard therapy alone in Chinese patients with large-vessel occlusion (LVO) stroke who had achieved successful endovascular reperfusion, new research showed.

No comment yet.
Scooped by Beeyond
November 3, 2025 4:18 AM
Scoop.it!

Clear Benefit of Thrombectomy in Large-Core Stroke

Clear Benefit of Thrombectomy in Large-Core Stroke | Neurovascular Intervention | Scoop.it

A new individual patient-level data meta-analysis has shown “overwhelming benefit” of endovascular thrombectomy (EVT) in a wide spectrum of patients with large-core strokes. The ATLAS meta-analysis showed consistent improvements in functional independence and independent ambulation and reduced mortality with EVT compared with best medical management alone. The treatment benefit of EVT was maintained across key clinical and imaging subgroups, regardless of age, sex, clinical severity, time to treatment, stroke size, and mismatch profile.

No comment yet.
Scooped by Beeyond
November 3, 2025 4:16 AM
Scoop.it!

Contact aspiration’s first-pass benefits seemingly “offset” by inferior final recanalisation versus stent retrievers in basilar occlusion stroke

Contact aspiration’s first-pass benefits seemingly “offset” by inferior final recanalisation versus stent retrievers in basilar occlusion stroke | Neurovascular Intervention | Scoop.it

In patients with vertebrobasilar artery occlusion (VBAO) stroke undergoing mechanical thrombectomy, first-line contact aspiration appears to produce a greater first-pass effect (FPE) compared to a stent retriever-only approach. However, stent retriever-first techniques may yield better final reperfusion rates, resulting in no significant difference in overall clinical outcomes between the two. As such, researchers believe that technique selection based on the underlying occlusion aetiology may be critical, and further analyses are warranted to clarify this relationship.

No comment yet.
Scooped by Beeyond
November 1, 2025 12:37 PM
Scoop.it!

TAVR Procedures Can Cause Brain Injury

TAVR Procedures Can Cause Brain Injury | Neurovascular Intervention | Scoop.it

Protembis was founded in 2013 and is headquartered in Aachen, Germany. The company develops innovative technologies to reduce the risk of new brain injury during cardiology procedures particularly in connection with transcatheter aortic valve replacement (TAVR).

No comment yet.
Curated by Beeyond
BEEYOND is a consulting company in the field of disruptive innovation, accompanying established companies on out-of-the-core growth strategy, from creation of new concepts to product launch. Reach us at: contact@beeyond.fr.