Intra-Dermal drug delivery: Opportunities and Challenges?
4.0K views | +1 today
Follow
Your new post is loading...
Your new post is loading...
Scooped by Beeyond
October 22, 2015 12:28 PM
Scoop.it!

Scientists develop 3D printed micro-needles for pain-free medicinal drug delivery

Scientists develop 3D printed micro-needles for pain-free medicinal drug delivery | Intra-Dermal drug delivery: Opportunities and Challenges? | Scoop.it
Researchers in the United States (US) have developed 3D printed micro-needles, which will be able to administer the medicinal drugs in the human body without any pain to the patient.
No comment yet.
Scooped by Beeyond
October 22, 2015 12:21 PM
Scoop.it!

Are Microneedles the New Lasers? Doctors Talk About the Next Big Aesthetic Trend

Are Microneedles the New Lasers? Doctors Talk About the Next Big Aesthetic Trend | Intra-Dermal drug delivery: Opportunities and Challenges? | Scoop.it

For years, we’ve been told to break habits that hurt our skin (i.e. don’t pick at scabs) but could we be doing it wrong? Could hurting our skin actually make it look better? Many plastic surgeons and dermatologists say yes.
RealSelf asked 500 board-certified doctors to predict the hot aesthetic trend for 2016. The answer that came up most often? Microneedling.

No comment yet.
Scooped by Beeyond
October 11, 2015 7:23 AM
Scoop.it!

Lilly upgrades its NYC research hub, adding 50 jobs in an immuno-oncology push

Lilly upgrades its NYC research hub, adding 50 jobs in an immuno-oncology push | Intra-Dermal drug delivery: Opportunities and Challenges? | Scoop.it
Eli Lilly ($LLY) is upsizing its New York City R&D outpost, planning to add 50 new jobs and take up more lab space with a particular focus on immuno-oncology.
No comment yet.
Rescooped by Yotam Levin from Healthcare: reloaded...
October 6, 2015 5:08 AM
Scoop.it!

Prototype Device Allows for Real-Time White Cell Counts Through the Skin, Personalized Chemotherapy

Prototype Device Allows for Real-Time White Cell Counts Through the Skin, Personalized Chemotherapy | Intra-Dermal drug delivery: Opportunities and Challenges? | Scoop.it
Team Leuko, an international group collaborating between the Massachusetts Institute of Technology (MIT) and a handful of centers, hospitals, and foundations primarily located in Madrid, Spain, has developed a device that counts patients’ white blood cells in real-time through the skin (i.e., without drawing blood). With the use of this device, patients undergoing chemotherapy will be able to track their immune behavior responsively, much as diabetics can quickly gauge and react to their blood glucose levels.

Via Beeyond
Yotam Levin's insight:

Sounds amazing. i wonder if they could differentiate leuko from lymphocytes, in which case this has far greater applicability..


But even so, this could be the equivalent of oximetry to CBC (at least WBC)



No comment yet.
Scooped by Beeyond
October 4, 2015 11:46 AM
Scoop.it!

Crowdfunding campaign launched for microneedle

Crowdfunding campaign launched for microneedle | Intra-Dermal drug delivery: Opportunities and Challenges? | Scoop.it
Dick Crawford, an engineer and entrepreneur who is chair, co-founder and CEO of PKA SoftTouch Corp. in Lakefield says his development team has been working on the microneedle for nine years.
No comment yet.
Scooped by Beeyond
September 29, 2015 6:55 AM
Scoop.it!

You might never be injected by a needle again

You might never be injected by a needle again | Intra-Dermal drug delivery: Opportunities and Challenges? | Scoop.it
Dissolving ‘microneedles’ could make injections much safer and cheaper to provide in poor countries, as well as helping people who are afraid of injections
No comment yet.
Scooped by Beeyond
September 15, 2015 1:18 PM
Scoop.it!

Microneedle drug delivery to the eye

No comment yet.
Rescooped by Beeyond from Intra-Dermal drug delivery: Opportunities and Challenges?
September 6, 2015 5:03 PM
Scoop.it!

Microneedles for Transdermal and Intradermal Drug Delivery, 2014-2030

Microneedles for Transdermal and Intradermal Drug Delivery, 2014-2030 | Intra-Dermal drug delivery: Opportunities and Challenges? | Scoop.it
Transdermal delivery via microneedles is increasingly gaining traction as one of the more promising drug delivery technologies. Microneedles are of a few hundred microns in size, capable of creating transient pores across the skin by penetrating the stratum corneum layer to deliver molecules. These needles are not big enough to reach the nerve-rich regions of the skin; as a result, the drug delivery is perceived as completely painless and devoid of bleeding. Drugs, vaccines, proteins, peptides and other biomolecules are suitable for delivery using the microneedle technology.
No comment yet.
Scooped by Beeyond
August 22, 2015 12:02 PM
Scoop.it!

Needle-free Drug Delivery Technologies market 2015 to grow at a CAGR of 13.50% by 2019

Needle-free Drug Delivery Technologies market 2015 to grow at a CAGR of 13.50% by 2019 | Intra-Dermal drug delivery: Opportunities and Challenges? | Scoop.it
Needle-free drug delivery technologies are used to deliver drugs or vaccines into a patient’s body without the need for a traditional needle. The primary objectives of the development of these technologies are to eliminate NSI and its associated complications and increase patient compliance and comfort. Needle-free drug delivery systems include jet injectors, microneedles, nanopatches, and vaccine implants. The advantages of these systems over conventional syringes are expanded immunization coverage, decreased healthcare costs, and increased patient compliance.
No comment yet.
Scooped by Beeyond
August 16, 2015 2:23 PM
Scoop.it!

Latecomer J&J inks a $700M deal on immuno-oncology drug

Latecomer J&J inks a $700M deal on immuno-oncology drug | Intra-Dermal drug delivery: Opportunities and Challenges? | Scoop.it
J&J may not be in the front ranks of the immuno-oncology giants, but it is carving out a place for itself in the hottest field in biopharma R&D. J&J's ($JNJ) research unit Janssen has inked back-to-back I/O deals with two small biotechs in the U.S. and Europe.
No comment yet.
Scooped by Beeyond
August 4, 2015 6:09 AM
Scoop.it!

Dissolvable Microneedles Beat Flu Vaccine Injection

Dissolvable Microneedles Beat Flu Vaccine Injection | Intra-Dermal drug delivery: Opportunities and Challenges? | Scoop.it

A comparison of two methods for delivering influenza vaccines has concluded that dissolvable microneedles perform at least as well as the traditional hypodermic. Microneedle patches could have advantages both in delivering vaccines to remote locations and in overcoming resistance to vaccination. Microneedles replace a single large needle with numerous needles so small they can barely be seen or felt, each delivering a fraction of the dose required to induce an immune response in the patient.

No comment yet.
Scooped by Beeyond
August 4, 2015 6:06 AM
Scoop.it!

'Smart' Insulin Patch Could Replace Painful Injections For People With Diabetes

'Smart' Insulin Patch Could Replace Painful Injections For People With Diabetes | Intra-Dermal drug delivery: Opportunities and Challenges? | Scoop.it

Pricking your finger and meticulously checking your blood sugar could no longer be the only way people with diabetes handle the disease. Researches from the University of North Carolina at Chapel Hill and N.C. State University are working to replace this painful process with a thin square patch the size of a penny.
It is a “smart insulin patch” that can detect increases in blood sugar levels. The patch has more than a hundred tiny microneedles, each about the size of an eyelash.

No comment yet.
Scooped by Beeyond
August 4, 2015 6:04 AM
Scoop.it!

▶ Microneedle technology: Oxford NanoDelivery

OND are developing novel techniques and materials to produce low cost needle patches to deliver vaccines and drugs to the immune system http://www.oxfordnanodelivery.com

No comment yet.
Scooped by Beeyond
October 22, 2015 12:23 PM
Scoop.it!

Microneedles with radiofrequency for wrinkles

Take a look at this video about infini - microneedles with radiofrequency for wrinkles by Dr. John J. Martin, Jr.
No comment yet.
Scooped by Beeyond
October 17, 2015 8:48 AM
Scoop.it!

Chinese immunotherapy player BeiGene files for $100M IPO

Chinese immunotherapy player BeiGene files for $100M IPO | Intra-Dermal drug delivery: Opportunities and Challenges? | Scoop.it
Chinese cancer immunotherapy player BeiGene just filed a $100 IPO with the U.S. Securities Exchange Commission to advance its clinical pipeline of BTK, RAF and PARP inhibitors.
No comment yet.
Scooped by Beeyond
October 6, 2015 7:02 AM
Scoop.it!

Methylene Blue-Loaded Dissolving Microneedles: Potential Use in Photodynamic Antimicrobial Chemotherapy of Infected Wounds

Methylene Blue-Loaded Dissolving Microneedles: Potential Use in Photodynamic Antimicrobial Chemotherapy of Infected Wounds | Intra-Dermal drug delivery: Opportunities and Challenges? | Scoop.it
Photodynamic therapy involves delivery of a photosensitising drug that is activated by light of a specific wavelength, resulting in generation of highly reactive radicals. This activated species can cause destruction of targeted cells. Application of this process for treatment of microbial infections has been termed "photodynamic antimicrobial chemotherapy" (PACT).
No comment yet.
Scooped by Beeyond
October 4, 2015 11:46 AM
Scoop.it!

First ever 3D printed micro-needles a pain-free way to deliver drugs

First ever 3D printed micro-needles a pain-free way to deliver drugs | Intra-Dermal drug delivery: Opportunities and Challenges? | Scoop.it
Scientists from the University of Akron and University of Texas today announced a pioneering technique for producing 3D micro-printed needles. The needles, measuring no more than 1 mm high, are made from a biomaterial that after painlessly delivering the drug would simply degrade into the patient’s body. They could be used to treat a wide range of diseases including skin cancer and help reduce the stigma associated with injections.
No comment yet.
Scooped by Beeyond
October 4, 2015 11:45 AM
Scoop.it!

Solid Microneedles for Transdermal Delivery of Amantadine Hydrochloride and Pramipexole Dihydrochloride

Solid Microneedles for Transdermal Delivery of Amantadine Hydrochloride and Pramipexole Dihydrochloride | Intra-Dermal drug delivery: Opportunities and Challenges? | Scoop.it
The aim of this project was to study the influence of microneedles on transdermal delivery of amantadine hydrochloride and pramipexole dihydrochloride across porcine ear skin in vitro. Microchannel visualization studies were carried out and characterization of the microchannel depth was performed using confocal laser scanning microscopy (CLSM) to demonstrate microchannel formation following microneedle roller application. We also report, for the first time, the use of TA.XT Plus Texture Analyzer to characterize burst force in pig skin for transdermal drug delivery experiments. This is the force required to rupture pig skin.
No comment yet.
Scooped by Beeyond
September 29, 2015 6:53 AM
Scoop.it!

Super small needle technology for brain: Dissolvable material expands opportunities of flexible microneedles for brain penetrations

Super small needle technology for brain: Dissolvable material expands opportunities of flexible microneedles for brain penetrations | Intra-Dermal drug delivery: Opportunities and Challenges? | Scoop.it
Microscale needle-electrode array technology has been enhancing brain sciences and engineering such as electrophysiological studies, drug and chemical delivery systems, and optogenetic applications. However, one challenge is reducing the tissue/neuron damage associated with needle penetration, particularly for chronic studies and future medical applications. A way to solve the issue is to use microscale diameter needles (e.g., < 5 microns) along with a flexible property, but such physically poor needles cannot penetrate into the brain and other biological tissues due to needle buckling or fracturing before penetration.
No comment yet.
Scooped by Beeyond
September 11, 2015 6:09 PM
Scoop.it!

NanoPass Technologies to Supply MicronJet600™ Device to Immune Design for Use in ZVex-based Oncology Immunotherapy Products

NanoPass Technologies to Supply MicronJet600™ Device to Immune Design for Use in ZVex-based Oncology Immunotherapy Products | Intra-Dermal drug delivery: Opportunities and Challenges? | Scoop.it

NanoPass Technologies Ltd. ("NanoPass"), a pioneer in intradermal delivery solutions for immunotherapies, announced today that it has entered into a clinical supply and support agreement for the supply of MicronJet600™, its microneedle delivery device, for use with Immune Design's oncology immunotherapy products from its ZVex[TM] discovery platform.
The agreement will provide Immune Design non-exclusive access and supply for use of the device in all of its relevant cancer immunotherapy programs globally. Financial terms were not disclosed.

No comment yet.
Scooped by Beeyond
September 5, 2015 2:05 PM
Scoop.it!

Clinical study tests microneedle skin patches as alternative to flu shot

Clinical study tests microneedle skin patches as alternative to flu shot | Intra-Dermal drug delivery: Opportunities and Challenges? | Scoop.it
The flu vaccine used in the study is the same as the FDA-approved flu vaccine from last season. The purpose of the study is to assess the safety of the microneedle patch, how the body's immune system responds to the vaccine delivered through a patch, and participants' opinions about using the patch. Participants will receive follow up, including blood work, during six visits over six months.
No comment yet.
Scooped by Beeyond
August 16, 2015 2:34 PM
Scoop.it!

Microneedles for Transdermal and Intradermal Drug Delivery, 2014-2030

Microneedles for Transdermal and Intradermal Drug Delivery, 2014-2030 | Intra-Dermal drug delivery: Opportunities and Challenges? | Scoop.it
Transdermal delivery via microneedles is increasingly gaining traction as one of the more promising drug delivery technologies. Microneedles are of a few hundred microns in size, capable of creating transient pores across the skin by penetrating the stratum corneum layer to deliver molecules. These needles are not big enough to reach the nerve-rich regions of the skin; as a result, the drug delivery is perceived as completely painless and devoid of bleeding. Drugs, vaccines, proteins, peptides and other biomolecules are suitable for delivery using the microneedle technology.
No comment yet.
Scooped by Beeyond
August 4, 2015 6:11 AM
Scoop.it!

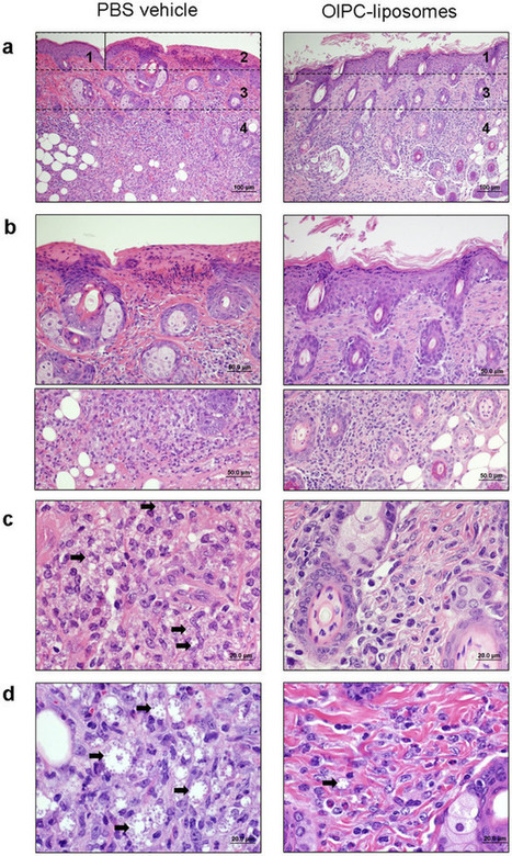
Drug Delivery by Tattooing to Treat Cutaneous Leishmaniasis

Drug Delivery by Tattooing to Treat Cutaneous Leishmaniasis | Intra-Dermal drug delivery: Opportunities and Challenges? | Scoop.it
This study establishes a proof-of-concept that a tattoo device can target intra-dermal drug delivery against cutaneous leishmaniasis (CL). The selected drug is oleylphosphocholine (OlPC) formulated as liposomes, particles known to be prone to macrophage ingestion. We first show that treatment of cultured Leishmania-infected macrophages with OlPC-liposomes results in a direct dose-dependent killing of intracellular parasites.
No comment yet.
Scooped by Beeyond
August 4, 2015 6:08 AM
Scoop.it!

Say Goodbye To Needles, and Hello to Painless Vaccine Bio-Patches

Say Goodbye To Needles, and Hello to Painless Vaccine Bio-Patches | Intra-Dermal drug delivery: Opportunities and Challenges? | Scoop.it
In a paper published this month in Biomaterials, scientists from Osaka University describe their successful experimentation with a new inoculation method which utilizes tiny, biodegradable microneedles made of hyaluronic acid, a naturally occurring substance found in your body’s joints. Those microneedles sit on a coin-sized patch which a patient simply affixes to their arm, allowing the tips of the needles to pass through just the very top dermal layers. As medicine flows through the patch and into you, the needles themselves begin to disintegrate from the moisture in your skin. The patch, dubbed “MicroHyala,” is easy to apply, and requires no extensive medical training, which makes it perfect for use by aid workers in remote, or developing locales in which trained professional physicians may be scarce.
No comment yet.
Scooped by Beeyond
August 4, 2015 6:05 AM
Scoop.it!

▶ A needle-free vaccine patch that's safer and way cheaper

One hundred sixty years after the invention of the needle and syringe, we're still using them to deliver vaccines; it's time to evolve. Biomedical engineer Mark Kendall demos the Nanopatch, a one-centimeter-by-one-centimeter square vaccine that can be applied painlessly to the skin. He shows how this tiny piece of silicon can overcome four major shortcomings of the modern needle and syringe, at a fraction of the cost.

No comment yet.