healthcare technology
163.7K views | +1 today
Follow
 
Scooped by nrip
onto healthcare technology
July 16, 2021 2:29 AM
Scoop.it!

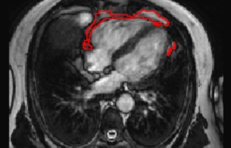
AI predicts diabetes risk by measuring fat around the heart

AI predicts diabetes risk by measuring fat around the heart | healthcare technology | Scoop.it

The distribution of fat in the body can influence a person's risk of developing various diseases. The commonly used measure of body mass index (BMI) mostly reflects fat accumulation under the skin, rather than around the internal organs. In particular, there are suggestions that fat accumulation around the heart may be a predictor of heart disease, and has been linked to a range of conditions, including atrial fibrillation, diabetes, and coronary artery disease.

 

A team led by researchers from Queen Mary University of London has developed a new artificial intelligence (AI) tool that is able to automatically measure the amount of fat around the heart from MRI scan images.

 

Using the new tool, the team was able to show that a larger amount of fat around the heart is associated with significantly greater odds of diabetes, independent of a person's age, sex, and body mass index.

 

The research team invented an AI tool that can be applied to standard heart MRI scans to obtain a measure of the fat around the heart automatically and quickly, in under three seconds. This tool can be used by future researchers to discover more about the links between the fat around the heart and disease risk, but also potentially in the future, as part of a patient's standard care in hospital.

 

The research team tested the AI algorithm's ability to interpret images from heart MRI scans of more than 45,000 people, including participants in the UK Biobank, a database of health information from over half a million participants from across the UK.

 

The team found that the AI tool was accurately able to determine the amount of fat around the heart in those images, and it was also able to calculate a patient's risk of diabetes

 

read the research published at https://www.frontiersin.org/articles/10.3389/fcvm.2021.677574/full

 

read more at https://www.sciencedaily.com/releases/2021/07/210707112427.htm

 

also at the QMUL website https://www.qmul.ac.uk/media/news/2021/smd/ai-predicts-diabetes-risk-by-measuring-fat-around-the-heart-.html

 

Mougenot Léa's curator insight, January 9, 2023 9:37 AM
A team has developed a new artificial intelligence tool that is very interesting because it can measure the amount of fat around the heart from MRI images. This tool may revolutionise medicine because it is currently impossible to measure the amount of fat around the heart manually without this new tool. In addition, the team was able to show that more fat around the heart is associated with a significantly higher likelihood of diabetes, regardless of a person's age, gender and body mass index.
healthcare technology
The ways in which technology benefits healthcare
Curated by nrip
Your new post is loading...
Your new post is loading...
Scooped by nrip
June 28, 2024 11:38 PM
Scoop.it!

Best Practices for Successful IT Transformation in Hospitals

Best Practices for Successful IT Transformation in Hospitals | healthcare technology | Scoop.it
The healthcare industry, particularly hospitals, managed care groups and clinics catering to chronic illnesses are undergoing a profound transformation, thanks to the advancements in Technology including Automation Technologies and Artificial Intelligence. 
 
These technologies are not just enhancing existing treatment protocols and care processes; they're redefining the way hospitals and doctors operate, treat patients,speed up recovery and prevent health risks.
 

Embarking on an IT transformation journey is essential for modern healthcare institutions seeking to stay competitive and agile in a rapidly evolving digital landscape.

 

What to Do ?

Redesign from scratch

Ensure Strong Management

Seek Incremental Progress

 

Breaking down large transformation projects into smaller, manageable phases can significantly reduce complexity. For example, instead of overhauling an entire electronic health record (EHR) system at once, start by digitizing patient intake forms.

 

This allows for early wins, creates organizational momentum, and enables continuous assessment and adjustment

-

 

Read this helpful list at https://technology4doctors.blogspot.com/2024/06/best-practices-for-successful-it.html and contact either Plus91 or me directly to discuss.

 

 

No comment yet.
Scooped by nrip
January 16, 11:08 PM
Scoop.it!

Digital Technologies Reshaping Healthcare in 2025

Digital Technologies Reshaping Healthcare in 2025 | healthcare technology | Scoop.it

As we begin 2025, healthcare technology continues to evolve at an unprecedented pace. From AI-powered diagnostics to virtual reality training, these innovations are fundamentally transforming patient care and medical practice.

 

In this article, Dr Vishala and Nrip provide an in-depth look at the technologies leading this revolution

 

These include

1. Internet of Medical Things (IoMT): Connecting the Future of Healthcare

2. Artificial Intelligence and Machine Learning: The Cognitive Revolution

3. Digital Therapeutics (DTx): Software as Medicine

4. Virtual and Augmented Reality: Immersive Healthcare

5. Gamification: Engaging Patients in Their Health Journey

As we progress through 2025, these technologies are converging to create a more connected, efficient, and patient-centered healthcare ecosystem.

 

The integration of IoMT, AI, DTx, VR/AR, and gamification is not just advancing medical capability—it's fundamentally reimagining how we approach health and wellness.

 

This technological renaissance in healthcare promises improved patient outcomes, enhanced operational efficiency, and greater accessibility to quality care. As these innovations continue to evolve, they pave the way for a future where healthcare is more precise, personalized, and proactive than ever before

 

Which technology are you looking to adopt at your firm this year? 

Which new innovation are most closely watching?

 

read the original unedited article at https://technology4doctors.blogspot.com/2025/01/digital-technologies-reshaping.html

 

 

 

Richard Platt's curator insight, January 20, 10:03 PM

As we begin 2025, healthcare technology continues to evolve at an unprecedented pace. From AI-powered diagnostics to virtual reality training, these innovations are fundamentally transforming patient care and medical practice.  In this article, Dr Vishala and Nrip provide an in-depth look at the technologies leading this revolution

These include

1. Internet of Medical Things (IoMT): Connecting the Future of Healthcare
2. Artificial Intelligence and Machine Learning: The Cognitive Revolution
3. Digital Therapeutics (DTx): Software as Medicine
4. Virtual and Augmented Reality: Immersive Healthcare
5. Gamification: Engaging Patients in Their Health Journey
As we progress through 2025, these technologies are converging to create a more connected, efficient, and patient-centered healthcare ecosystem.  The integration of IoMT, AI, DTx, VR/AR, and gamification is not just advancing medical capability—it's fundamentally reimagining how we approach health and wellness.

Which technology are you looking to adopt at your firm this year?

Which new innovations are most closely watched?

Scooped by nrip
October 16, 2024 11:30 PM
Scoop.it!

The Role of Visualization in Estimating Cardiovascular Disease Risk

The Role of Visualization in Estimating Cardiovascular Disease Risk | healthcare technology | Scoop.it

Supporting and understanding the health of patients with chronic diseases and cardiovascular disease (CVD) risk is often a major challenge.

 

Health data are often used in providing feedback to patients, and visualization plays an important role in facilitating the interpretation and understanding of data and, thus, influencing patients’ behavior.

 

Visual analytics enable efficient analysis and understanding of large datasets in real time. Digital health technologies can promote healthy lifestyle choices and assist in estimating CVD risk.

 

This review aims to present the most-used visualization techniques to estimate CVD risk.

 

Results:

 

The final scoping review included 17 studies that used different methodologies, including descriptive, quantitative, and population-based studies.

 

Some prognostic models, such as the Framingham Risk Profile, World Health Organization and International Society of Hypertension risk prediction charts, Cardiovascular Risk Score, and a simplified Persian atherosclerotic CVD risk stratification, were simpler and did not require laboratory tests, whereas others, including the Joint British Societies recommendations on the prevention of CVD, Systematic Coronary Risk Evaluation, and Framingham-Registre Gironí del COR, were more complex and required laboratory testing–related results.

 

The most frequently used prognostic risk factors were age, sex, and blood pressure (16/17, 94% of the studies); smoking status (14/17, 82%); diabetes status (11/17, 65%); family history (10/17, 59%); high-density lipoprotein and total cholesterol (9/17, 53%); and triglycerides and low-density lipoprotein cholesterol (6/17, 35%).

 

The most frequently used visualization techniques in the studies were visual cues (10/17, 59%), followed by bar charts (5/17, 29%) and graphs (4/17, 24%).


On the basis of the scoping review, we found that visualization is very rarely included in the prognostic models themselves even though technology-based interventions improve health care worker performance, knowledge, motivation, and compliance by integrating machine learning and visual analytics into applications to identify and respond to estimation of CVD risk.

 

Visualization aids in understanding risk factors and disease outcomes, improving bioinformatics and biomedicine. However, evidence on mobile health’s effectiveness in improving CVD outcomes is limited.

 

read the unedited research paper at https://publichealth.jmir.org/2024/1/e60128/

 

No comment yet.
Scooped by nrip
October 8, 2024 1:56 PM
Scoop.it!

WellSpan Health Launches Patient-Facing GenAI Healthcare Agent

WellSpan Health Launches Patient-Facing GenAI Healthcare Agent | healthcare technology | Scoop.it

WellSpan Health is partnering with Hippocratic AI to launch the first patient-facing clinical GenAI healthcare agent.

 

– The conversational AI-powered service will directly interact with patients, enhancing healthcare access, equity, and outcomes.

 

The GenAI agent engages patients in comprehensive and empathetic conversations about their colorectal health, providing detailed transcripts to WellSpan clinicians for review. In some cases, the agent can transfer patients to a human clinician or facilitate follow-up calls.

 

Future GenAI agents are being developed to support critical workflows like chronic care management, post-discharge follow-up for specific conditions, wellness surveys, health risk assessments, and pre-operative instructions.

 

read the original unedited article at https://hitconsultant.net/2024/09/26/wellspan-health-launches-first-patient-facing-genai-healthcare-agent/

 

 

 

No comment yet.
Scooped by nrip
October 7, 2024 4:03 PM
Scoop.it!

Chip uses blood to diagnose lung cancer 10X faster

Chip uses blood to diagnose lung cancer 10X faster | healthcare technology | Scoop.it

A new way of diagnosing lung cancer with a blood draw is 10 times faster and 14 times more sensitive than earlier methods, researchers report.

 

The microchip the researchers developed captures exosomes—tiny packages released by cells—from blood plasma to identify signs of lung cancer.

 

Once thought to be trash ejected from cells for cleanup, researchers discovered in the past decade that exosomes are tiny parcels containing proteins or DNA and RNA fragments that are valuable for communication between cells.

 

Although healthy cell exosomes move important signals throughout the body, cancer cell exosomes can help tumors spread by preparing tissues to accept tumor cells before they arrive.

 

 

more at https://www.futurity.org/blood-draw-lung-cancer-diagnosis-3252152/

 

No comment yet.
Scooped by nrip
June 2, 2024 12:35 AM
Scoop.it!

AI-enabled organoids: Construction, analysis, and application

Organoids, miniature and simplified in vitro model systems that mimic the structure and function of organs, have attracted considerable interest due to their promising applications in disease modeling, drug screening, personalized medicine, and tissue engineering.

 

Organoids are three-dimensional structures that mimic the architecture and functions of various organs. They are grown in vitro from stem cells or other precursor cells and have been used to study the development and behavior of different organs, as well as for drug screening and disease modeling.

 

Organoids are highly valued for their ability to recapitulate the complex microenvironments and functions of different organs, making them valuable tools for studying the mechanisms of disease and for testing potential treatment

 

Despite the substantial success in cultivating physiologically relevant organoids, challenges remain concerning the complexities of their assembly and the difficulties associated with data analysis.

 

The advent of AI-Enabled Organoids, which interfaces with artificial intelligence (AI), holds the potential to revolutionize the field by offering novel insights and methodologies that can expedite the development and clinical application of organoids.

 

read this article which delineates the fundamental concepts and mechanisms underlying AI-Enabled Organoids, summarizing the prospective applications on rapid screening of construction strategies, cost-effective extraction of multiscale image features, streamlined analysis of multi-omics data, and precise preclinical evaluation and application.

No comment yet.
Scooped by nrip
March 4, 2024 10:30 PM
Scoop.it!

The Intersection of ChatGPT, Clinical Medicine, and Medical Education

The Intersection of ChatGPT, Clinical Medicine, and Medical Education | healthcare technology | Scoop.it

As we progress deeper into the digital age, the robust development and application of advanced artificial intelligence (AI) technology, specifically generative language models like ChatGPT (OpenAI), have potential implications in all sectors including medicine.

 

ChatGPT, a generative language model launched by OpenAI in November 2022 has essentially has essentially revolutionized the IT world.. What makes ChatGPT a promising tool is the vast amounts of data used in its training and its ability to generate human-like conversations covering diverse topics.

 

The unprecedented capacity of ChatGPT to generate human-like responses, refined through Reinforcement Learning with Human Feedback, could significantly reshape the pedagogical methodologies within medical education.

 

The use of AI in medicine, including the use of generative language models, is often accompanied by challenges and contentions. Some common challenges include privacy, data security, algorithmic transparency and explainability, errors and liability, as well as regulatory issues associated with AI medicine.

 

Lately, the use of generative language models in scientific writing has also stirred up controversies in the academic and publishing communities. Some journals have declined ChatGPT as a coauthor, whereas others have happily accepted manuscripts authored by ChatGPT

 

Through a comprehensive review and the authors’ personal experiences, this viewpoint article elucidates the pros, cons, and ethical considerations of using ChatGPT within clinical medicine and notably, its implications for medical education.

 

This exploration is crucial in a transformative era where AI could potentially augment human capability in the process of knowledge creation and dissemination, potentially revolutionizing medical education and clinical practice.

 

The importance of maintaining academic integrity and professional standards is highlighted. The relevance of establishing clear guidelines for the responsible and ethical use of AI technologies in clinical medicine and medical education is also emphasized.

 

read the whole article at https://mededu.jmir.org/2023/1/e47274

 

Daniel Fonkeng's curator insight, March 30, 2024 4:29 AM
https://hochwertigeschmerzmittel.com/product/blue-punisher-mdma-kaufen/ https://hochwertigeschmerzmittel.com/product/ecstasy-mdma-online-kaufen/ https://hochwertigeschmerzmittel.com/product/ozempic-online-kaufen/ https://hochwertigeschmerzmittel.com/product/desoxyn-online-kaufen/ https://hochwertigeschmerzmittel.com/product/actavis-hustensaft-kaufen/ https://hochwertigeschmerzmittel.com/product/adderall-kaufen/ https://hochwertigeschmerzmittel.com/product/adipex-kaufen/ https://hochwertigeschmerzmittel.com/product/alprazolam-kaufen/ https://hochwertigeschmerzmittel.com/product/anonymous-mdma-kaufen/ https://hochwertigeschmerzmittel.com/product/calypsol-ketamine-kaufen/ https://hochwertigeschmerzmittel.com/product/botox-kaufen/ https://hochwertigeschmerzmittel.com/product/cenforce-200-kaufen/ https://hochwertigeschmerzmittel.com/product/clonazepam-2-mg-kaufen/ https://hochwertigeschmerzmittel.com/product/codeine-kaufen/ https://hochwertigeschmerzmittel.com/product/co-codamol-kaufen/ https://hochwertigeschmerzmittel.com/product/concerta-online-kaufen/ https://hochwertigeschmerzmittel.com/product/dexedrine-online-kaufen/ https://hochwertigeschmerzmittel.com/product/diazepam-kaufen/ https://hochwertigeschmerzmittel.com/product/dihydrocodeine-kaufen/ https://hochwertigeschmerzmittel.com/product/dilaudid-8mg-kaufen/ https://hochwertigeschmerzmittel.com/product/dmt-vape-pen-kaufen/ https://hochwertigeschmerzmittel.com/product/esketamin-nasenspray-kaufen/ https://hochwertigeschmerzmittel.com/product/etizolam-1-mg-kaufen/ https://hochwertigeschmerzmittel.com/product/famotidin-injektion-kaufen/ https://hochwertigeschmerzmittel.com/product/fentanyl-pflaster-kaufen/ https://hochwertigeschmerzmittel.com/product/gabapentin-300-mg-kaufen/ https://hochwertigeschmerzmittel.com/product/gelbes-xanax-kaufen/ https://hochwertigeschmerzmittel.com/product/greenstone-xanax-kaufen/ https://hochwertigeschmerzmittel.com/product/hydrocodone-10-mg-500-mg/ https://hochwertigeschmerzmittel.com/product/hydrocodone-10-mg-650-mg/ https://hochwertigeschmerzmittel.com/product/hydrocodone-325-mg/ https://hochwertigeschmerzmittel.com/product/kamagra-kaufen/ https://hochwertigeschmerzmittel.com/product/kamagra-oral-jelly-kaufen/ https://hochwertigeschmerzmittel.com/product/kaufen-sie-lexapro-online/ https://hochwertigeschmerzmittel.com/product/kaufen-sie-lovegra-oral-jelly/ https://hochwertigeschmerzmittel.com/product/kaufen-sie-morphinsulfat/ https://hochwertigeschmerzmittel.com/product/kaufen-sie-nembutal/ https://hochwertigeschmerzmittel.com/product/kaufen-sie-opana-online/ https://hochwertigeschmerzmittel.com/product/ketamine-500-mg-flaschchen/ https://hochwertigeschmerzmittel.com/product/ketamine-nasenspray-kaufen/ https://hochwertigeschmerzmittel.com/product/lorazepam-online-kaufen/ https://hochwertigeschmerzmittel.com/product/lovegra-kaufen/ https://hochwertigeschmerzmittel.com/product/lsd-blotter-kaufen/ https://hochwertigeschmerzmittel.com/product/lyrica-pregabalin-kaufen/ https://hochwertigeschmerzmittel.com/product/methadone-kaufen/ https://hochwertigeschmerzmittel.com/product/oxycodone-80-mg-kaufen/ https://hochwertigeschmerzmittel.com/product/percocet-online-kaufen/ https://hochwertigeschmerzmittel.com/product/ritalin-kaufen/ https://hochwertigeschmerzmittel.com/product/rohypnol-kaufen/ https://hochwertigeschmerzmittel.com/product/saxenda-kaufen/ https://hochwertigeschmerzmittel.com/product/suboxone-kaufen/ https://hochwertigeschmerzmittel.com/product/suboxone-streifen-kaufen/ https://hochwertigeschmerzmittel.com/product/subutex-kaufen/ https://hochwertigeschmerzmittel.com/product/super-kamagra-kaufen/ https://hochwertigeschmerzmittel.com/product/tadarise-online-kaufen/ https://hochwertigeschmerzmittel.com/product/temazepam-kaufen/ https://hochwertigeschmerzmittel.com/product/tramadol-online-kaufen/ https://hochwertigeschmerzmittel.com/product/vyvanse-online-kaufen/ https://hochwertigeschmerzmittel.com/product/zolpidem-kaufen/ https://hochwertigeschmerzmittel.com/product/zomorph-200-mg-kaufen/ https://hochwertigeschmerzmittel.com/product/wegovy-kaufen-online/ https://bestemedikamente.com/product/adderall-kaufen/ https://bestemedikamente.com/product/wegovy-kaufen-online/ https://bestemedikamente.com/product/alprazolam-kaufen/ https://bestemedikamente.com/product/anonymes-mdma-kaufen/ https://bestemedikamente.com/product/ativan-kaufen/ https://bestemedikamente.com/product/botox-kaufen/ https://bestemedikamente.com/product/calypsol-online-kaufen/ https://bestemedikamente.com/product/codein-kaufen/ https://bestemedikamente.com/product/concerta-online-kaufen/ https://bestemedikamente.com/product/dexedrin-kaufen/ https://bestemedikamente.com/product/diazepam-kaufen/ https://bestemedikamente.com/product/dihydrocodein-kaufen/ https://bestemedikamente.com/product/gabapentin-300-mg-kaufen/ https://bestemedikamente.com/product/gelbes-xanax-kaufen/ https://bestemedikamente.com/product/hydrocodon-10-mg-500-mg/ https://bestemedikamente.com/product/hydrocodon-650-mg-10-mg/ https://bestemedikamente.com/product/hydrocodon-7-5-mg-325-mg/ https://bestemedikamente.com/product/kamagra-kaufen/ https://bestemedikamente.com/product/kaufen-oxycodon-80-mg/ https://bestemedikamente.com/product/kaufen-sie-actavis-hustensaft/ https://bestemedikamente.com/product/kaufen-sie-adipex-online/ https://bestemedikamente.com/product/kaufen-sie-blue-punisher-mdma/ https://bestemedikamente.com/product/kaufen-sie-cenforce-online/ https://bestemedikamente.com/product/kaufen-sie-co-codamol/ https://bestemedikamente.com/product/kaufen-sie-desoxyn/ https://bestemedikamente.com/product/kaufen-sie-dilaudid-8mg/ https://bestemedikamente.com/product/kaufen-sie-dmt-vape-pen/ https://bestemedikamente.com/product/kaufen-sie-etizolam-online/ https://bestemedikamente.com/product/kaufen-sie-famotidin-injektion/ https://bestemedikamente.com/product/kaufen-sie-fentanyl-pflaster/ https://bestemedikamente.com/product/kaufen-sie-greenstone-xanax/ https://bestemedikamente.com/product/kaufen-sie-kamagra-oral-jelly/ https://bestemedikamente.com/product/kaufen-sie-ketamin-tabletten/ https://bestemedikamente.com/product/kaufen-sie-klonopin-2mg/ https://bestemedikamente.com/product/kaufen-sie-lexapro-online/ https://bestemedikamente.com/product/kaufen-sie-lovegra-online/ https://bestemedikamente.com/product/kaufen-sie-lovegra-oral-jelly/ https://bestemedikamente.com/product/kaufen-sie-lsd-blotter/ https://bestemedikamente.com/product/kaufen-sie-mdma-schadel-online/ https://bestemedikamente.com/product/kaufen-sie-morphinsulfat/ https://bestemedikamente.com/product/kaufen-sie-nembutal/ https://bestemedikamente.com/product/kaufen-sie-opana-online/ https://bestemedikamente.com/product/kaufen-sie-oxycodon-30mg/ https://bestemedikamente.com/product/kaufen-sie-percocet/ https://bestemedikamente.com/product/kaufen-sie-pregabalin-online/ https://bestemedikamente.com/product/kaufen-sie-suboxone-streifen/ https://bestemedikamente.com/product/kaufen-sie-psilocybin-pillen/ https://bestemedikamente.com/product/kaufen-sie-super-kamagra/ https://bestemedikamente.com/product/kaufen-sie-tadarise-online/ https://bestemedikamente.com/product/kaufen-sie-temazepam/ https://bestemedikamente.com/product/kaufen-sie-tramadol-online/ https://bestemedikamente.com/product/ketamin-500-mg-10-flaschchen/ https://bestemedikamente.com/product/ketamin-nasenspray/ https://bestemedikamente.com/product/methadon-kaufen/ https://bestemedikamente.com/product/ozempic-stift-kaufen/ https://bestemedikamente.com/product/ritalin-kaufen/ https://bestemedikamente.com/product/rohypnol-kaufen/ https://bestemedikamente.com/product/saxenda-kaufen/ https://bestemedikamente.com/product/suboxone-kaufen/ https://bestemedikamente.com/product/subutex-kaufen/ https://bestemedikamente.com/product/vyvanse-online-kaufen/ https://bestemedikamente.com/product/zolpidem-kaufen/ https://bestemedikamente.com/product/zomorph-kaufen/ https://hochwertigeglobalemedikamente.com/product/kaufen-sie-ozempic-stift/ https://hochwertigeglobalemedikamente.com/product/calypsol-500-mg/ https://hochwertigeglobalemedikamente.com/product/kaufen-sie-oxycodon-80mg/ https://hochwertigeglobalemedikamente.com/product/zomorph-kaufen/ https://hochwertigeglobalemedikamente.com/product/kaufen-sie-etizolam/ https://hochwertigeglobalemedikamente.com/product/kaufen-sie-temazepam/ https://hochwertigeglobalemedikamente.com/product/kaufen-sie-lovegra-oral-jelly/ https://hochwertigeglobalemedikamente.com/product/kaufen-sie-lovegra/ https://hochwertigeglobalemedikamente.com/product/kaufen-sie-tadarise/ https://hochwertigeglobalemedikamente.com/product/kaufen-sie-cenforce/ https://hochwertigeglobalemedikamente.com/product/kaufen-sie-super-kamagra/ https://hochwertigeglobalemedikamente.com/product/kamagra-kaufen/ https://hochwertigeglobalemedikamente.com/product/kaufen-sie-kamagra-jelly/ https://hochwertigeglobalemedikamente.com/product/kaufen-sie-co-codamol/ https://hochwertigeglobalemedikamente.com/product/kaufen-sie-pregabalin/ https://hochwertigeglobalemedikamente.com/product/kaufen-sie-saxenda/ https://hochwertigeglobalemedikamente.com/product/kaufen-sie-nembutal/ https://hochwertigeglobalemedikamente.com/product/kaufen-sie-lsd-blotter/ https://hochwertigeglobalemedikamente.com/product/kaufen-sie-dmt-vape-pen/ https://hochwertigeglobalemedikamente.com/product/kaufen-sie-famotidin/ https://hochwertigeglobalemedikamente.com/product/kkaufen-sie-lexapro/ https://hochwertigeglobalemedikamente.com/product/kaufen-sie-tramadol/ https://hochwertigeglobalemedikamente.com/product/kaufen-sie-psilocybin/ https://hochwertigeglobalemedikamente.com/product/kaufen-sie-ritalin/ https://hochwertigeglobalemedikamente.com/product/kaufen-sie-methadon/ https://hochwertigeglobalemedikamente.com/product/kaufen-sie-dilaudid-8mg/ https://hochwertigeglobalemedikamente.com/product/kaufen-sie-codein/ https://hochwertigeglobalemedikamente.com/product/kaufen-sie-anonymes-mdma/ https://hochwertigeglobalemedikamente.com/product/kaufen-sie-mdma/ https://hochwertigeglobalemedikamente.com/product/blue-punisher-mdma/ https://hochwertigeglobalemedikamente.com/product/kaufen-sie-oxycodon-30mg/ https://hochwertigeglobalemedikamente.com/product/kaufen-sie-adipex-online/ https://hochwertigeglobalemedikamente.com/product/kaufen-sie-klonopin-2mg/ https://hochwertigeglobalemedikamente.com/product/gabapentin-300-mg-kaufen/ https://hochwertigeglobalemedikamente.com/product/kaufen-sie-ketamin/ https://hochwertigeglobalemedikamente.com/product/ketamin-500-mg/ https://hochwertigeglobalemedikamente.com/product/actavis-hustensaft/ https://hochwertigeglobalemedikamente.com/product/kaufen-sie-opana/ https://hochwertigeglobalemedikamente.com/product/hydrocodon-650-mg-10-mg/ https://hochwertigeglobalemedikamente.com/product/hydrocodon-325-mg/ https://hochwertigeglobalemedikamente.com/product/hydrocodon-10-mg-500-mg/ https://hochwertigeglobalemedikamente.com/product/kaufen-sie-suboxone/ https://hochwertigeglobalemedikamente.com/product/suboxone-streifen/ https://hochwertigeglobalemedikamente.com/product/kaufen-sie-subutex/ https://hochwertigeglobalemedikamente.com/product/kaufen-sie-fentanyl/ https://hochwertigeglobalemedikamente.com/product/kaufen-sie-percocet/ https://hochwertigeglobalemedikamente.com/product/kaufen-sie-morphinsulfat/ https://hochwertigeglobalemedikamente.com/product/diazepam-kaufen/ https://hochwertigeglobalemedikamente.com/product/kaufen-sie-ativan/ https://hochwertigeglobalemedikamente.com/product/rohypnol-kaufen/ https://hochwertigeglobalemedikamente.com/product/kaufen-sie-gelbes-xanax/ https://hochwertigeglobalemedikamente.com/product/greenstone-xanax/ https://hochwertigeglobalemedikamente.com/product/alprazolam-kaufen/ https://hochwertigeglobalemedikamente.com/product/kaufen-sie-zolpidem/ https://hochwertigeglobalemedikamente.com/product/kaufen-sie-dihydrocodein/ https://hochwertigeglobalemedikamente.com/product/kaufen-sie-desoxyn/ https://hochwertigeglobalemedikamente.com/product/kaufen-sie-dexedrin/ https://hochwertigeglobalemedikamente.com/product/kaufen-sie-concerta/ https://hochwertigeglobalemedikamente.com/product/vyvanse-70-mg/ https://hochwertigeglobalemedikamente.com/product/kaufen-sie-adderall-30mg/ https://hochwertigeglobalemedikamente.com/product/botox-100-einheiten/ https://farmacidiprimascelta.com/product/acquista-ozempic-online/ https://farmacidiprimascelta.com/product/acquista-calipsol-online/ https://farmacidiprimascelta.com/product/oxycodone-80-mg/ https://farmacidiprimascelta.com/product/acquista-zomorph-200mg/ https://farmacidiprimascelta.com/product/acquista-etizolam-1mg/ https://farmacidiprimascelta.com/product/acquista-temazepam/ https://farmacidiprimascelta.com/product/acquista-lovegra-100-mg/ https://farmacidiprimascelta.com/product/lovegra-100mg/ https://farmacidiprimascelta.com/product/acquista-tadarise-20mg/ https://farmacidiprimascelta.com/product/acquista-cenforce-100-mg/ https://farmacidiprimascelta.com/product/acquista-super-kamagra/ https://farmacidiprimascelta.com/product/acquista-kamagra-100-mg/ https://farmacidiprimascelta.com/product/kamagra-gelatina-orale/ https://farmacidiprimascelta.com/product/acquista-co-codamol/ https://farmacidiprimascelta.com/product/pregabalin-300-mg/ https://farmacidiprimascelta.com/product/acquista-saxenda-6-mg/ https://farmacidiprimascelta.com/product/acquista-lexapro-20-mg/ https://farmacidiprimascelta.com/product/iniezione-di-famotidina/ https://farmacidiprimascelta.com/product/acquista-dmt-vape-pen/ https://farmacidiprimascelta.com/product/acquista-nembutal-100ml/ https://farmacidiprimascelta.com/product/tramadolo-200-mg/ https://farmacidiprimascelta.com/product/acquista-ritalin-20mg/ https://farmacidiprimascelta.com/product/acquista-metadone/ https://farmacidiprimascelta.com/product/acquista-dilaudid-8mg/ https://farmacidiprimascelta.com/product/acquista-codeina-30-mg/ https://farmacidiprimascelta.com/product/acquista-mdma-anonimo/ https://farmacidiprimascelta.com/product/aquista-teschio-mdma/ https://farmacidiprimascelta.com/product/blue-punisher-mdma/ https://farmacidiprimascelta.com/product/acquista-oxycodon-30mg/ https://farmacidiprimascelta.com/product/acquista-adipex/ https://farmacidiprimascelta.com/product/acquista-klonopin-2-mg/ https://farmacidiprimascelta.com/product/gabapentin-300-mg/ https://farmacidiprimascelta.com/product/compresse-di-ketamina/ https://farmacidiprimascelta.com/product/acquista-ketamina-500mg/ https://farmacidiprimascelta.com/product/acquista-prometazina/ https://farmacidiprimascelta.com/product/acquista-opana-40mg/ https://farmacidiprimascelta.com/product/idrocodone-650-mg-10-mg/ https://farmacidiprimascelta.com/product/idrocodone-10mg-500mg/ https://farmacidiprimascelta.com/product/acquista-suboxone-8mg/ https://farmacidiprimascelta.com/product/strisce-di-suboxone/ https://farmacidiprimascelta.com/product/acquista-subutex-8mg/ https://farmacidiprimascelta.com/product/cerotti-di-fentanil/ https://farmacidiprimascelta.com/product/acquista-percocet-10mg/ https://farmacidiprimascelta.com/product/acquista-morfina-online/ https://farmacidiprimascelta.com/product/acquista-diazepam-10mg/ https://farmacidiprimascelta.com/product/acquista-ativan-2mg/ https://farmacidiprimascelta.com/product/acquista-rohypnol-2mg/ https://farmacidiprimascelta.com/product/compra-xanax-giallo/ https://farmacidiprimascelta.com/product/greenstone-xanax/ https://farmacidiprimascelta.com/product/acquista-alprazolam-2mg/ https://farmacidiprimascelta.com/product/acquista-zolpidem-10-mg/ https://farmacidiprimascelta.com/product/acquista-diidrocodeina/ https://farmacidiprimascelta.com/product/acquista-desoxyn-5mg/ https://farmacidiprimascelta.com/product/acquista-dexedrina/ https://farmacidiprimascelta.com/product/acquista-concerta-54mg/ https://farmacidiprimascelta.com/product/acquista-vyvanse-70mg/ https://farmacidiprimascelta.com/product/acquista-adderall-30mg/ https://farmacidiprimascelta.com/product/acquista-botox/ https://compraroxicodona.com/product/comprar-ozempic-1mg/ https://compraroxicodona.com/product/comprar-mdma-en-linea/ https://compraroxicodona.com/product/comprar-ketamina-en-linea/ https://compraroxicodona.com/product/comprar-calypsol-en-linea/ https://compraroxicodona.com/product/comprar-metadona-en-linea/ https://compraroxicodona.com/product/comprar-heroina-en-linea/ https://compraroxicodona.com/product/comprar-tiras-de-suboxona-en-linea/ https://compraroxicodona.com/product/comprar-adderall-en-linea/ https://compraroxicodona.com/product/comprar-desoxyn-en-linea/ https://compraroxicodona.com/product/comprar-dianabol-en-linea/ https://compraroxicodona.com/product/comprar-oramorph-en-linea/ https://compraroxicodona.com/product/inyeccion-de-sulfato-de-morfina/ https://compraroxicodona.com/product/comprar-verde-xanax-en-linea/ https://compraroxicodona.com/product/comprar-greenstone-xanax-en-linea/ https://compraroxicodona.com/product/comprar-valium-en-linea/ https://compraroxicodona.com/product/comprar-ultram-en-linea/ https://compraroxicodona.com/product/comprar-soma-en-linea/ https://compraroxicodona.com/product/comprar-soma-en-linea/ https://compraroxicodona.com/product/comprar-ketamax-inyeccion-en-linea/ https://compraroxicodona.com/product/comprar-codeina-en-linea/ https://compraroxicodona.com/product/comprar-fentanilo-en-linea/ https://compraroxicodona.com/product/comprar-ativan-en-linea/ https://compraroxicodona.com/product/comprar-diazepam-en-linea/ https://compraroxicodona.com/product/comprar-diazepam-en-linea/ https://compraroxicodona.com/product/comprar-ambien-en-linea/ https://compraroxicodona.com/product/comprar-stilnox-en-linea/ https://compraroxicodona.com/product/comprar-fentermina-en-linea/ https://compraroxicodona.com/product/comprar-percocet-en-linea/ https://compraroxicodona.com/product/comprar-demerol-en-linea/ https://compraroxicodona.com/product/compre-panales-en-linea/ https://compraroxicodona.com/product/comprar-opana-en-linea/ https://compraroxicodona.com/product/comprar-lortab-en-linea/ https://compraroxicodona.com/product/comprar-norco-en-linea/ https://compraroxicodona.com/product/comprar-subutex-en-linea/ https://compraroxicodona.com/product/comprar-zopiclona-en-linea/ https://compraroxicodona.com/product/comprar-modafinilo-en-linea/ https://compraroxicodona.com/product/comprar-ritalin-en-linea/ https://compraroxicodona.com/product/comprar-xanax-amarillo-en-linea/ https://compraroxicodona.com/product/comprar-morfina-en-linea/ https://compraroxicodona.com/product/comprar-xanax-en-linea/ https://compraroxicodona.com/product/comprar-klonopin-en-linea/ https://compraroxicodona.com/product/comprar-arimidex-en-linea/ https://compraroxicodona.com/product/comprar-neurobloc-en-linea/ https://compraroxicodona.com/product/comprar-vicodin-en-linea/ https://compraroxicodona.com/product/comprar-vicodin-en-linea/ https://compraroxicodona.com/product/comprar-vicodin-en-linea/ https://compraroxicodona.com/product/comprar-dilaudid-en-linea/ https://compraroxicodona.com/product/comprar-dysport-en-linea/ https://compraroxicodona.com/product/comprar-suboxone-en-linea/ https://compraroxicodona.com/product/comprar-endocet-en-linea/ https://compraroxicodona.com/product/comprar-oxynorm-en-linea/ https://compraroxicodona.com/product/comprar-oxicodona-en-linea/ https://compraroxicodona.com/product/comprar-roxicodona-en-linea/ https://compraroxicodona.com/product/comprar-hidrocodona-en-linea/ https://compraroxicodona.com/product/comprar-hidrocodona-en-linea/ https://compraroxicodona.com/product/comprar-oxycontin-en-linea/ https://compraroxicodona.com/product/comprar-adipex-en-linea/ https://compraroxicodona.com/product/comprar-botox-en-linea/ https://compraroxicodona.com/product/comprar-extasis-en-linea/ https://compraroxicodona.com/product/comprar-extasis-en-linea/ https://compraroxicodona.com/product/comprar-vyvanse-en-linea/ https://top-shelfdispensary.com/product/china-white-white-heroin/ https://top-shelfdispensary.com/product/buy-u47700-online/ https://top-shelfdispensary.com/product/buy-heroin-online/ https://top-shelfdispensary.com/product/mind-trip-liquid-incense/ https://top-shelfdispensary.com/product/kush-liquid-incense-5ml/ https://top-shelfdispensary.com/product/k2-liquid-code-red-5ml/ https://top-shelfdispensary.com/product/k2-incense-spray-online/ https://top-shelfdispensary.com/product/k2-chemical-spray-for-sale/ https://top-shelfdispensary.com/product/jungle-juice-liquid-incense-10ml/ https://top-shelfdispensary.com/product/joker-liquid-incense/ https://top-shelfdispensary.com/product/green-giant-liquid-incense/ https://top-shelfdispensary.com/product/buy-funky-vape-addictive-online/ https://top-shelfdispensary.com/product/diablo-smoking-alcohol/ https://top-shelfdispensary.com/product/diablo-liquid-incense-5ml/ https://top-shelfdispensary.com/product/cloud-nine-liquid-incense-5ml/ https://top-shelfdispensary.com/product/bliss-ultra-bath-salts-1000-mg/ https://top-shelfdispensary.com/product/amped-novelty-powder/ https://top-shelfdispensary.com/product/all-day-all-night-bath-salts/ https://top-shelfdispensary.com/product/buy-ketamine-crystals/ https://top-shelfdispensary.com/product/buy-oxycodone-raw-powder/ https://top-shelfdispensary.com/product/buy-fentanyl-hcl-online/ https://top-shelfdispensary.com/product/buy-4f-php-crystals-powder3/ https://top-shelfdispensary.com/product/buy-4-fluorococaine-4-fa/ https://top-shelfdispensary.com/product/amb-fubinaca-fub-amb/ https://top-shelfdispensary.com/product/buy-a-pvp-crystals/ https://top-shelfdispensary.com/product/buy-6-apb-powder-online/ https://top-shelfdispensary.com/product/buy-4-mpd-crystals-online/ https://top-shelfdispensary.com/product/buy-4-cmc-crystal-powder-online/ https://top-shelfdispensary.com/product/2-fluoroamphetamine-2-fa/ https://top-shelfdispensary.com/product/white-tiger-liquid-incense/ https://top-shelfdispensary.com/product/strawberry-kiwi-liquid-incense-5ml/ https://top-shelfdispensary.com/product/buy-skittles-flavour-c-liquid/ https://top-shelfdispensary.com/product/orgazmo-bubble-yum-liquid-incense-5ml/ https://top-shelfdispensary.com/product/buy-omg-liquid-incense/ https://top-shelfdispensary.com/product/mr-nice-guy-chronic-hypnotic-liquid-5ml/ https://top-shelfdispensary.com/product/buy-clear-k2-incense-spray/ https://top-shelfdispensary.com/product/xxx-splash-liquid-incense-5ml-strawberry/ https://top-shelfdispensary.com/product/buy-tangerine-liquid-incense-5ml/ https://top-shelfdispensary.com/product/buy-klimax-berry-liquid-incense-5ml/ https://top-shelfdispensary.com/product/buy-k2-paper-online/ https://top-shelfdispensary.com/product/brain-freeze-by-naked-100-e-liquid-60ml/ https://top-shelfdispensary.com/product/bizarro-herbal-liquid-5ml/ https://top-shelfdispensary.com/product/angry-birds-liquid-incense/ https://top-shelfdispensary.com/product/ak47-adios-premium-liquid-incense-5ml/ https://top-shelfdispensary.com/product/buy-wtf-herbal-incense/ https://top-shelfdispensary.com/product/buy-white-tiger-incense/ https://top-shelfdispensary.com/product/buy-voodoo-10g-online/ https://top-shelfdispensary.com/product/buy-temple-herbal-incense-1-5g/ https://top-shelfdispensary.com/product/tai-high-hawaiian-haze-2-5g/ https://top-shelfdispensary.com/product/stoner-patch-dummies-gummy-bears/ https://top-shelfdispensary.com/product/space-cadet-flight-risk-herbal-incense/ https://top-shelfdispensary.com/product/buy-sensate-herbal-incense-1g/ https://top-shelfdispensary.com/product/buy-scooby-snax-incense/ https://top-shelfdispensary.com/product/red-eye-jack-herbal-incense-3g/ https://top-shelfdispensary.com/product/rasta-style-76g-online/ https://top-shelfdispensary.com/product/buy-purple-diesel-incense/ https://top-shelfdispensary.com/product/pure-fire-herbal-incense/ https://top-shelfdispensary.com/product/buy-platinum-xxx-herbal-incense/ https://top-shelfdispensary.com/product/buy-panic-10g-online/ https://top-shelfdispensary.com/product/orange-platinum-caution-10g/ https://top-shelfdispensary.com/product/omg-herbal-potpourri-10g/ https://top-shelfdispensary.com/product/no-mames-herbal-incense-10g/ https://top-shelfdispensary.com/product/buy-mind-trip-incense/ https://top-shelfdispensary.com/product/master-kush-herbal-incense/ https://top-shelfdispensary.com/product/manga-xtreme-herbal-incense-3g/ https://top-shelfdispensary.com/product/mad-monkey-herbal-incense-4g/ https://top-shelfdispensary.com/product/klimax-potpourri-15xxx-coconut-10g/ https://top-shelfdispensary.com/product/kisha-cole-incense-11g/ https://top-shelfdispensary.com/product/jamaican-gold-extreme-herbal-incense-3g/ https://top-shelfdispensary.com/product/hitman-herbal-incense-3g/ https://top-shelfdispensary.com/product/head-trip-herbal-incense-1-5g/ https://top-shelfdispensary.com/product/hammerhead-herbal-incense-3g/ https://top-shelfdispensary.com/product/buy-fire-leaf-10g-bag/ https://top-shelfdispensary.com/product/buy-diablo-76gram-jar/ https://top-shelfdispensary.com/product/deadly-cobra-herbal-incense-4g/ https://top-shelfdispensary.com/product/buy-crazy-monkey-incense/ https://top-shelfdispensary.com/product/cloud9-mad-hatter-incense/ https://top-shelfdispensary.com/product/caution-gold-herbal-incense-3g/ https://top-shelfdispensary.com/product/california-dreams-incense/ https://top-shelfdispensary.com/product/buy-scooby-snax-spice/ https://top-shelfdispensary.com/product/caution-herbal-incense-10g/ https://top-shelfdispensary.com/product/dead-man-walking-incense/ https://top-shelfdispensary.com/product/buy-bizzaro-k2-powder/ https://top-shelfdispensary.com/product/buy-bizarro-incense-online/ https://top-shelfdispensary.com/product/24k-california-chronic-online/ https://top-shelfdispensary.com/product/brazil-gold-extreme-herbal-incense-2g/ https://top-shelfdispensary.com/product/buy-brainfreeze-herbal-incense/ https://top-shelfdispensary.com/product/bonzai-summer-boost-herbal-incense-3g/ https://top-shelfdispensary.com/product/bomb-marley-herbal-incense-10g/ https://top-shelfdispensary.com/product/buy-black-label-code-black/ https://top-shelfdispensary.com/product/buy-down-2-earth-10g/ https://top-shelfdispensary.com/product/buy-black-mamba-incense/ https://top-shelfdispensary.com/product/mr-happy-potpourri-incense/ https://top-shelfdispensary.com/product/buy-blaze-potent-potpourri/ https://top-shelfdispensary.com/product/king-kong-herbal-incense/ https://top-shelfdispensary.com/product/buy-death-grip-k2-potpourri/ https://top-shelfdispensary.com/product/buy-diablo-incense/ https://top-shelfdispensary.com/product/buy-blue-giant-herbal-incense-5g/ https://top-shelfdispensary.com/product/buy-kush-herbal-incense/ https://top-shelfdispensary.com/product/angry-birds-space-herbal-incense/ https://top-shelfdispensary.com/product/alcohol-potency-booster-spray-60-ml-for-sale/ https://top-shelfdispensary.com/product/7h-hydro-herbal-incense/ https://top-shelfdispensary.com/product/buy-100-natural-exotic-herbs-aroma-therapy/ https://top-shelfdispensary.com/product/buy-atomic-potpourri-herbal-incense/ https://top-shelfdispensary.com/product/black-insane-76g/ https://top-shelfdispensary.com/product/black-diamond-incense/ https://top-shelfdispensary.com/product/buy-alprazolam-powder/ https://top-shelfdispensary.com/product/buy-dmt-vape-pen/ https://top-shelfdispensary.com/product/geeked-up-herbal-incense-10g/ https://top-shelfdispensary.com/product/24k-monkey-classic-incense-10g/ https://top-shelfdispensary.com/product/blaze-premium-liquid-incense/ https://top-shelfdispensary.com/product/5f-akb-48-c-liquid/ https://top-shelfdispensary.com/product/ak-47-x10-premium-10g/ https://top-shelfdispensary.com/product/joker-herbal-incense-10g/ https://top-shelfdispensary.com/product/urge-1g-bath-salts/ https://top-shelfdispensary.com/product/uncrowned-1g-bath-salts/ https://top-shelfdispensary.com/product/sextacy-bath-salts-0-5g/ https://top-shelfdispensary.com/product/tomorrowland-1g-bath-salts/ https://top-shelfdispensary.com/product/sky-high-1g-bath-salts/ https://top-shelfdispensary.com/product/sextacy-ultimate-0-5g/ https://top-shelfdispensary.com/product/the-block-1g-bath-salts/ https://top-shelfdispensary.com/product/rave-or-die-1g-bath-salts/ https://top-shelfdispensary.com/product/rocky-mountain-high-bath-salts/ https://top-shelfdispensary.com/product/recharge-extra-1g/ https://top-shelfdispensary.com/product/new-charge-1g-bath-salts/ https://top-shelfdispensary.com/product/neon-vibes-1g-bath-salts/ https://top-shelfdispensary.com/product/pump-it-bath-salts/ https://top-shelfdispensary.com/product/ocean-burst-extreme-1g/ https://top-shelfdispensary.com/product/kick-1g-bath-salts/ https://top-shelfdispensary.com/product/ivory-wave-ultra-0-5g/ https://top-shelfdispensary.com/product/monkey-1g-bath-salts/ https://top-shelfdispensary.com/product/mind-charge-bath-salts/ https://top-shelfdispensary.com/product/eight-ballz-bath-salts/ https://top-shelfdispensary.com/product/crank-1g-bath-salts/ https://top-shelfdispensary.com/product/insomnia-1g-bath-salts/ https://top-shelfdispensary.com/product/highway-1g-bath-salts/ https://top-shelfdispensary.com/product/charlie-1g-bath-salts/ https://top-shelfdispensary.com/product/code-c-1g-bath-salts/ https://top-shelfdispensary.com/product/concentrated-candy-land-bath-salts/ https://top-shelfdispensary.com/product/concentrated-cloud-9-bath-salts/ https://top-shelfdispensary.com/product/charge-extreme-1g/ https://top-shelfdispensary.com/product/charge-1g-bath-salts/ https://top-shelfdispensary.com/product/c1-new-generation-bath-salt/ https://top-shelfdispensary.com/product/blue-stuff-bath-salts-1g/ https://top-shelfdispensary.com/product/bliss-bath-salts-1g/ https://top-shelfdispensary.com/product/caluanie-muelear-oxidize/ https://bestdermalfillerstr.com/product/buy-ozempic-pen/ https://bestdermalfillerstr.com/product/allergan-botox-1x100iu/ https://bestdermalfillerstr.com/product/allergan-botox-1x200iu/ https://bestdermalfillerstr.com/product/juvederm-ultra-smile-2x0-55ml/ https://bestdermalfillerstr.com/product/juvederm-ultra-4-2x1ml/ https://bestdermalfillerstr.com/product/juvederm-ultra-3-2x1ml/ https://bestdermalfillerstr.com/product/apriline-ageline-6x5ml/ https://bestdermalfillerstr.com/product/restylane-fynesse-1x1ml/ https://bestdermalfillerstr.com/product/restylane-lyft/ https://bestdermalfillerstr.com/product/restylane-lidocaine-1x1ml/ https://bestdermalfillerstr.com/product/restylane-lidocaine-1x0-5ml/ https://bestdermalfillerstr.com/product/restylane-kysse-with-lidocaine-1x1ml/ https://bestdermalfillerstr.com/product/restylane-skinboosters-vital-light-1x1ml-1x1ml/ https://bestdermalfillerstr.com/product/restylane-skinboosters-vital-1x1ml/ https://bestdermalfillerstr.com/product/restylane-refyne-with-lidocaine-1x1ml/ https://bestdermalfillerstr.com/product/restylane-lyft-with-lidocaine-1x1ml/ https://bestdermalfillerstr.com/product/alidya-anti-lipodystrophic-agents/ https://bestdermalfillerstr.com/product/revanesse-2x1ml/ https://bestdermalfillerstr.com/product/restylane-volyme-with-lidocaine-1x1ml/ https://bestdermalfillerstr.com/product/restylane-skinboosters-vital-with-lidocaine-1x1ml/ https://bestdermalfillerstr.com/product/restylane-skinboosters-vital-light-with-lidocaine-1x1ml/ https://bestdermalfillerstr.com/product/revolax-fine-lidocaine/ https://bestdermalfillerstr.com/product/revolax-deep-lidocaine/ https://bestdermalfillerstr.com/product/revanesse-kiss-2x1ml/ https://bestdermalfillerstr.com/product/revanesse-contour-2x1ml/ https://bestdermalfillerstr.com/product/stylage-hydro-max-1x1ml/ https://bestdermalfillerstr.com/product/stylage-hydro-1x1ml/ https://bestdermalfillerstr.com/product/apriline-hairline-6x5ml/ https://bestdermalfillerstr.com/product/apriline-skinline/ https://bestdermalfillerstr.com/product/aqualyx-10x8ml/ https://bestdermalfillerstr.com/product/aquashine-1x2ml/ https://bestdermalfillerstr.com/product/aquashine-br-1x2ml/ https://bestdermalfillerstr.com/product/aquashine-btx-1x2ml/ https://bestdermalfillerstr.com/product/azzalure-2-vials-125-iu/ https://bestdermalfillerstr.com/product/baxter-duplotip-5mm-x-32cm/ https://bestdermalfillerstr.com/product/bd-bd300865-plastipak-luer-lock-50ml-syringe-without-needle/ https://bestdermalfillerstr.com/product/bd-bd324826-microfine-insulin-syringe-0-3ml-30g-x-8mm-needle/ https://bestdermalfillerstr.com/product/belotero-balance-1x1ml/ https://bestdermalfillerstr.com/product/belotero-balance-with-lidocaine-1x1ml/ https://bestdermalfillerstr.com/product/belotero-soft-1-x-1ml/ https://bestdermalfillerstr.com/product/belotero-soft-with-lidocaine-1x1ml/ https://bestdermalfillerstr.com/product/belotero-volume-2x1ml/ https://bestdermalfillerstr.com/product/belotero-volume-with-lidocaine-2x1ml/ https://bestdermalfillerstr.com/product/biorehydra-30ml-200ml/ https://bestdermalfillerstr.com/product/biorepeelcl3-body-3-x-12-ml/ https://bestdermalfillerstr.com/product/biorepeelcl3-fnd-5-x-6ml/ https://bestdermalfillerstr.com/product/bocouture-1x100-units/ https://bestdermalfillerstr.com/product/bocouture-1x50-units/ https://bestdermalfillerstr.com/product/bocouture-2x100-units/ https://bestdermalfillerstr.com/product/botulax-100iu/ https://bestdermalfillerstr.com/product/botulax-200iu/ https://bestdermalfillerstr.com/product/botulax-50-iu/ https://bestdermalfillerstr.com/product/botulinum-toxin-type-a-product-meditoxin-neuronox/ https://bestdermalfillerstr.com/product/buy-allergan-botox-1x50iu/ https://bestdermalfillerstr.com/product/cambridge-skin-code-mesohair/ https://bestdermalfillerstr.com/product/cambridge-skin-code-mesolift/ https://bestdermalfillerstr.com/product/cambridge-skin-code-mesowhite/ https://bestdermalfillerstr.com/product/cytocare-502-10x5ml/ https://bestdermalfillerstr.com/product/cytocare-502-5x5ml/ https://bestdermalfillerstr.com/product/cytocare-516-10x5ml/ https://bestdermalfillerstr.com/product/cytocare-516-5x5ml/ https://bestdermalfillerstr.com/product/cytocare-532-10x5ml/ https://bestdermalfillerstr.com/product/cytocare-532-5x5ml/ https://bestdermalfillerstr.com/product/cytocare-s-line-1x3ml/ https://bestdermalfillerstr.com/product/dermafill-volume-ultra-2x1ml/ https://bestdermalfillerstr.com/product/dermalax-deep-plus-lidocaine-1-x-1-1ml/ https://bestdermalfillerstr.com/product/dermalax-implant-plus-lidocaine-2-x-1-1ml/ https://bestdermalfillerstr.com/product/dermalax-plus-lidocaine-1-x-1-1ml/ https://bestdermalfillerstr.com/product/dr-cyj-hair-filler/ https://bestdermalfillerstr.com/product/dysport-type-a-2x500-units/ https://bestdermalfillerstr.com/product/ellanse-m-hands-2x1ml/ https://bestdermalfillerstr.com/product/emervel-lips-1x1ml/ https://bestdermalfillerstr.com/product/emervel-volume-1x2ml/ https://bestdermalfillerstr.com/product/emla-cream-1x30g/ https://bestdermalfillerstr.com/product/filorga-art-filler-universal-with-lidocaine-2x1-2ml/ https://bestdermalfillerstr.com/product/filorga-nctf-135ha-alopecia-bundle-0-5mm/ https://bestdermalfillerstr.com/product/filorga-x-ha3-2x1ml/ https://bestdermalfillerstr.com/product/hyacorp-body-contouring-mlf2-10ml/ https://bestdermalfillerstr.com/product/hyacorp-lips-1x1ml/ https://bestdermalfillerstr.com/product/hyafilia-classic-1x1ml/ https://bestdermalfillerstr.com/product/hyaluronidase-ovine-strength-1500iu-per-vial/ https://bestdermalfillerstr.com/product/juvederm-hydrate-1x1ml/ https://bestdermalfillerstr.com/product/juvederm-ultra-2-2x0-55ml/ https://bestdermalfillerstr.com/product/juvederm-volift-with-lidocaine-2x1ml/ https://bestdermalfillerstr.com/product/juvederm-volift-retouch/ https://bestdermalfillerstr.com/product/juvederm-volbella-with-lidocaine-2x1ml/ https://bestdermalfillerstr.com/product/juvederm-ultra-xc/ https://bestdermalfillerstr.com/product/kairax-deep-1-x-1ml/ https://bestdermalfillerstr.com/product/juvederm-volux-2x1ml/ https://bestdermalfillerstr.com/product/juvederm-voluma-with-lidocaine/ https://bestdermalfillerstr.com/product/juvederm-volite-2x1ml/ https://bestdermalfillerstr.com/product/radiesse-1x3-0ml/ https://bestdermalfillerstr.com/product/radiesse-lidocaine-1x0-8ml/ https://bestdermalfillerstr.com/product/radiesse-lidocaine-1x1-5ml/ https://bestdermalfillerstr.com/product/restylane-defyne-with-lidocaine-1x1ml/ https://bestdermalfillerstr.com/product/sculptra-2-vials/ https://bestdermalfillerstr.com/product/revolax-sub-q-lidocaine/ https://bestdermalfillerstr.com/product/stylage-m-lidocaine-2x1ml/ https://bestdermalfillerstr.com/product/stylage-m-2x1ml/ https://bestdermalfillerstr.com/product/stylage-l-with-lidocaine-2x1ml/ https://bestdermalfillerstr.com/product/stylage-l-2x1ml/ https://bestdermalfillerstr.com/product/kairax-fine-1-x-1ml/ https://bestdermalfillerstr.com/product/kairax-subq-1-x-1ml/ https://bestdermalfillerstr.com/product/kybella-atx-101/ https://bestdermalfillerstr.com/product/lmx4-topical-anaesthetic-cream-4-30g/ https://bestdermalfillerstr.com/product/neurobloc-botulinum-toxin-type-b-5000-u/ https://bestdermalfillerstr.com/product/neurobloc-botulinum-toxin-type-b-10000-u/ https://bestdermalfillerstr.com/product/neuramis-lidocaine-1x1ml-1x1ml/ https://bestdermalfillerstr.com/product/neuramis-deep-lidocaine-1x1ml/ https://bestdermalfillerstr.com/product/princess-volume-lidocaine-1x1ml/ https://bestdermalfillerstr.com/product/princess-rich-1x1ml/ https://bestdermalfillerstr.com/product/princess-filler-lidocaine-1x1ml/ https://bestdermalfillerstr.com/product/princess-face-mask-rejuvenating-8-masks/ https://bestdermalfillerstr.com/product/profhilo-h-l/ https://bestdermalfillerstr.com/product/radiesse-1x0-8ml/ https://bestdermalfillerstr.com/product/radiesse-1x1-5ml/ https://bestdermalfillerstr.com/product/stylage-special-lips-1x1ml/ https://bestdermalfillerstr.com/product/stylage-serum-regenerant-cellulaire-1x30ml/ https://bestdermalfillerstr.com/product/stylage-s-with-lidocaine-2x0-8ml/ https://bestdermalfillerstr.com/product/stylage-s-2x0-8ml/ https://bestdermalfillerstr.com/product/stylage-xxl-2x1ml/ https://bestdermalfillerstr.com/product/stylage-xl-with-lidocaine-2x1ml/ https://bestdermalfillerstr.com/product/stylage-xl-2x1ml/ https://bestdermalfillerstr.com/product/stylage-special-lips-lidocaine-1x1ml-2/ https://bestdermalfillerstr.com/product/teosyal-27g-deep-lines-2x1ml/ https://bestdermalfillerstr.com/product/surgiderm-30-xp-2x0-8ml/ https://bestdermalfillerstr.com/product/sunekos-200-2x3ml-2x3ml-vials/ https://bestdermalfillerstr.com/product/sunekos-1200-2x1-5ml-vials/ https://bestdermalfillerstr.com/product/teosyal-30g-touch-up/ https://bestdermalfillerstr.com/product/teosyal-30g-global-action-puresense-2x1ml-2x1ml-2/ https://bestdermalfillerstr.com/product/teosyal-27g-kiss-puresense-2x1ml-2x1ml/ https://bestdermalfillerstr.com/product/teosyal-27g-deep-lines-puresense-2x1ml/ https://bestdermalfillerstr.com/product/teosyal-redensity-i-puresense-2x1ml/ https://bestdermalfillerstr.com/product/teosyal-redensity-i-puresense-1x3ml/ https://bestdermalfillerstr.com/product/teosyal-meso-2x1ml-2x1ml/ https://bestdermalfillerstr.com/product/teosyal-kiss-2x1ml/ https://bestdermalfillerstr.com/product/teosyal-rha-3/ https://bestdermalfillerstr.com/product/teosyal-rha-2-2x1ml/ https://bestdermalfillerstr.com/product/teosyal-rha-1/ https://bestdermalfillerstr.com/product/teosyal-redensity-ii-puresense-2x1ml/ https://bestdermalfillerstr.com/product/tsk-closed-single-hole-cannula-30g-x-25mm-1-prc-30025icsh/ https://bestdermalfillerstr.com/product/teosyal-ultra-deep-puresense-2x1-2ml-2/ https://bestdermalfillerstr.com/product/teosyal-ultimate-1x3m/ https://bestdermalfillerstr.com/product/teosyal-rha-4-2x1-2ml/
Scooped by nrip
February 25, 2024 4:09 PM
Scoop.it!

Holistic Human-Serving Digitization of Health Care Needs Integrated Automated System-Level Assessment Tools

Holistic Human-Serving Digitization of Health Care Needs Integrated Automated System-Level Assessment Tools | healthcare technology | Scoop.it

Digital health tools, platforms, and artificial intelligence– or machine learning–based clinical decision support systems are increasingly part of health delivery approaches, with an ever-greater degree of system interaction.

 

Critical to the successful deployment of these tools is their functional integration into existing clinical routines and workflows. This depends on system interoperability and on intuitive and safe user interface design.

 

Its extremely important that research and efforts are directed towards minimizing emergent workflow stress and ensuring purposeful design for integration.

 

Usability of tools in practice is as important as algorithm quality.

 

Regulatory and health technology assessment frameworks recognize the importance of these factors to a certain extent, but their focus remains mainly on the individual product rather than on emergent system and workflow effects.

 

The measurement of performance and user experience has so far been performed in ad hoc, nonstandardized ways by individual actors using their own evaluation approaches.

 

This paper proposes that a standard framework for system-level and holistic evaluation which be built into interacting digital systems to enable systematic and standardized system-wide, multiproduct, postmarket surveillance and technology assessment.

 

Such a system could be made available to developers through regulatory or assessment bodies as an application programming interface and could be a requirement for digital tool certification, just as interoperability is. This would enable health systems and tool developers to collect system-level data directly from real device use cases, enabling the controlled and safe delivery of systematic quality assessment or improvement studies suitable for the complexity and interconnectedness of clinical workflows using developing digital health technologies.

 

read the entire paper at https://www.jmir.org/2023/1/e50158

 

 

nrip's insight:

In recent conversations with FIND and WHO we have mutually discussed the framework which needs to be defined and put in place for identifying effectiveness in AI tools for use in medicine at the provider level. The basic reasoning behind our conversations has been to ensure that the trust factor behind a particular AI technology being used in healthcare is created and then via regular monitoring maintained rather than simply buying into far fetched stories. This paper and several others on this topic will be highlighted here , and further on Plus91's medium blog we will put several frameworks together

No comment yet.
Scooped by nrip
February 25, 2024 1:00 PM
Scoop.it!

Transforming Chronic Care Management: A Comprehensive, Technology-Driven Approach

Transforming Chronic Care Management: A Comprehensive, Technology-Driven Approach | healthcare technology | Scoop.it
A strategic approach to chronic care management (CCM) is essential.
 
This approach should integrate advanced technology with a deep comprehension of healthcare’s fundamental principles, effectively tackling the current challenges and proactively shaping the future of healthcare.
 
Emphasizing patient-centered solutions, this methodology is set to revolutionize the management of chronic diseases, thereby impacting patient care and healthcare economics significantly.
 

This strategy’s critical element is distinguishing between care management (CM) and case management. Care management represents a holistic approach to reducing health risks and costs across populations. It involves identifying at-risk populations, tailoring services to their needs, and deploying appropriate personnel for service delivery.

 

Conversely, case management focuses more on individual patients, offering various services to aid in navigating the healthcare system, ensuring efficient care transitions, and addressing specific patient needs.

 

Integrating Population Health Management (PHM) and CCM systems offers a solution to managing chronic diseases. PHM systems, which adopt a community-centered approach, work in tandem with CCM systems that concentrate on individual patient care. This synergy allows for effective management of both community health and individual patient needs

 

read the rest of this piece at https://www.healthcareittoday.com/2024/02/22/transforming-chronic-care-management-a-comprehensive-technology-driven-approach/

 

 

No comment yet.
Scooped by nrip
February 21, 2024 10:34 PM
Scoop.it!

Emerging Technologies Shaping the Health IT Landscape and How They Contribute to Improving Patient Outcomes and Healthcare Delivery

Emerging Technologies Shaping the Health IT Landscape and How They Contribute to Improving Patient Outcomes and Healthcare Delivery | healthcare technology | Scoop.it

The world of healthcare is ever-evolving. We are learning and growing every day, which means we are also coming up with new ideas, technologies, and practices every day.

 

 

what emerging technologies in Health IT are currently shaping the landscape,

and how do they contribute to improved patient outcomes and healthcare delivery?

 

This Healthcare IT today's article has a collection of opinions from people from the ever growing digital health community.

 

includes thoughts like

- proactive patient communication and automated text updates for patient approved people

 

- using adaptive AI for patient communication

 

- using AI in billing to bring about a fairness to costs

 

- using ambient documentation to improve patient provider connections in the presence of an EHR

 

- use of digital therapeutics

 

amongst others

 

read the article at

 

https://www.healthcareittoday.com/2024/02/12/emerging-technologies-shaping-the-health-it-landscape-and-how-they-contribute-to-improving-patient-outcomes-and-healthcare-delivery/

 

 

 

Daniel Fonkeng's curator insight, March 30, 2024 4:32 AM
https://hochwertigeschmerzmittel.com/product/blue-punisher-mdma-kaufen/ https://hochwertigeschmerzmittel.com/product/ecstasy-mdma-online-kaufen/ https://hochwertigeschmerzmittel.com/product/ozempic-online-kaufen/ https://hochwertigeschmerzmittel.com/product/desoxyn-online-kaufen/ https://hochwertigeschmerzmittel.com/product/actavis-hustensaft-kaufen/ https://hochwertigeschmerzmittel.com/product/adderall-kaufen/ https://hochwertigeschmerzmittel.com/product/adipex-kaufen/ https://hochwertigeschmerzmittel.com/product/alprazolam-kaufen/ https://hochwertigeschmerzmittel.com/product/anonymous-mdma-kaufen/ https://hochwertigeschmerzmittel.com/product/calypsol-ketamine-kaufen/ https://hochwertigeschmerzmittel.com/product/botox-kaufen/ https://hochwertigeschmerzmittel.com/product/cenforce-200-kaufen/ https://hochwertigeschmerzmittel.com/product/clonazepam-2-mg-kaufen/ https://hochwertigeschmerzmittel.com/product/codeine-kaufen/ https://hochwertigeschmerzmittel.com/product/co-codamol-kaufen/ https://hochwertigeschmerzmittel.com/product/concerta-online-kaufen/ https://hochwertigeschmerzmittel.com/product/dexedrine-online-kaufen/ https://hochwertigeschmerzmittel.com/product/diazepam-kaufen/ https://hochwertigeschmerzmittel.com/product/dihydrocodeine-kaufen/ https://hochwertigeschmerzmittel.com/product/dilaudid-8mg-kaufen/ https://hochwertigeschmerzmittel.com/product/dmt-vape-pen-kaufen/ https://hochwertigeschmerzmittel.com/product/esketamin-nasenspray-kaufen/ https://hochwertigeschmerzmittel.com/product/etizolam-1-mg-kaufen/ https://hochwertigeschmerzmittel.com/product/famotidin-injektion-kaufen/ https://hochwertigeschmerzmittel.com/product/fentanyl-pflaster-kaufen/ https://hochwertigeschmerzmittel.com/product/gabapentin-300-mg-kaufen/ https://hochwertigeschmerzmittel.com/product/gelbes-xanax-kaufen/ https://hochwertigeschmerzmittel.com/product/greenstone-xanax-kaufen/ https://hochwertigeschmerzmittel.com/product/hydrocodone-10-mg-500-mg/ https://hochwertigeschmerzmittel.com/product/hydrocodone-10-mg-650-mg/ https://hochwertigeschmerzmittel.com/product/hydrocodone-325-mg/ https://hochwertigeschmerzmittel.com/product/kamagra-kaufen/ https://hochwertigeschmerzmittel.com/product/kamagra-oral-jelly-kaufen/ https://hochwertigeschmerzmittel.com/product/kaufen-sie-lexapro-online/ https://hochwertigeschmerzmittel.com/product/kaufen-sie-lovegra-oral-jelly/ https://hochwertigeschmerzmittel.com/product/kaufen-sie-morphinsulfat/ https://hochwertigeschmerzmittel.com/product/kaufen-sie-nembutal/ https://hochwertigeschmerzmittel.com/product/kaufen-sie-opana-online/ https://hochwertigeschmerzmittel.com/product/ketamine-500-mg-flaschchen/ https://hochwertigeschmerzmittel.com/product/ketamine-nasenspray-kaufen/ https://hochwertigeschmerzmittel.com/product/lorazepam-online-kaufen/ https://hochwertigeschmerzmittel.com/product/lovegra-kaufen/ https://hochwertigeschmerzmittel.com/product/lsd-blotter-kaufen/ https://hochwertigeschmerzmittel.com/product/lyrica-pregabalin-kaufen/ https://hochwertigeschmerzmittel.com/product/methadone-kaufen/ https://hochwertigeschmerzmittel.com/product/oxycodone-80-mg-kaufen/ https://hochwertigeschmerzmittel.com/product/percocet-online-kaufen/ https://hochwertigeschmerzmittel.com/product/ritalin-kaufen/ https://hochwertigeschmerzmittel.com/product/rohypnol-kaufen/ https://hochwertigeschmerzmittel.com/product/saxenda-kaufen/ https://hochwertigeschmerzmittel.com/product/suboxone-kaufen/ https://hochwertigeschmerzmittel.com/product/suboxone-streifen-kaufen/ https://hochwertigeschmerzmittel.com/product/subutex-kaufen/ https://hochwertigeschmerzmittel.com/product/super-kamagra-kaufen/ https://hochwertigeschmerzmittel.com/product/tadarise-online-kaufen/ https://hochwertigeschmerzmittel.com/product/temazepam-kaufen/ https://hochwertigeschmerzmittel.com/product/tramadol-online-kaufen/ https://hochwertigeschmerzmittel.com/product/vyvanse-online-kaufen/ https://hochwertigeschmerzmittel.com/product/zolpidem-kaufen/ https://hochwertigeschmerzmittel.com/product/zomorph-200-mg-kaufen/ https://hochwertigeschmerzmittel.com/product/wegovy-kaufen-online/ https://bestemedikamente.com/product/adderall-kaufen/ https://bestemedikamente.com/product/wegovy-kaufen-online/ https://bestemedikamente.com/product/alprazolam-kaufen/ https://bestemedikamente.com/product/anonymes-mdma-kaufen/ https://bestemedikamente.com/product/ativan-kaufen/ https://bestemedikamente.com/product/botox-kaufen/ https://bestemedikamente.com/product/calypsol-online-kaufen/ https://bestemedikamente.com/product/codein-kaufen/ https://bestemedikamente.com/product/concerta-online-kaufen/ https://bestemedikamente.com/product/dexedrin-kaufen/ https://bestemedikamente.com/product/diazepam-kaufen/ https://bestemedikamente.com/product/dihydrocodein-kaufen/ https://bestemedikamente.com/product/gabapentin-300-mg-kaufen/ https://bestemedikamente.com/product/gelbes-xanax-kaufen/ https://bestemedikamente.com/product/hydrocodon-10-mg-500-mg/ https://bestemedikamente.com/product/hydrocodon-650-mg-10-mg/ https://bestemedikamente.com/product/hydrocodon-7-5-mg-325-mg/ https://bestemedikamente.com/product/kamagra-kaufen/ https://bestemedikamente.com/product/kaufen-oxycodon-80-mg/ https://bestemedikamente.com/product/kaufen-sie-actavis-hustensaft/ https://bestemedikamente.com/product/kaufen-sie-adipex-online/ https://bestemedikamente.com/product/kaufen-sie-blue-punisher-mdma/ https://bestemedikamente.com/product/kaufen-sie-cenforce-online/ https://bestemedikamente.com/product/kaufen-sie-co-codamol/ https://bestemedikamente.com/product/kaufen-sie-desoxyn/ https://bestemedikamente.com/product/kaufen-sie-dilaudid-8mg/ https://bestemedikamente.com/product/kaufen-sie-dmt-vape-pen/ https://bestemedikamente.com/product/kaufen-sie-etizolam-online/ https://bestemedikamente.com/product/kaufen-sie-famotidin-injektion/ https://bestemedikamente.com/product/kaufen-sie-fentanyl-pflaster/ https://bestemedikamente.com/product/kaufen-sie-greenstone-xanax/ https://bestemedikamente.com/product/kaufen-sie-kamagra-oral-jelly/ https://bestemedikamente.com/product/kaufen-sie-ketamin-tabletten/ https://bestemedikamente.com/product/kaufen-sie-klonopin-2mg/ https://bestemedikamente.com/product/kaufen-sie-lexapro-online/ https://bestemedikamente.com/product/kaufen-sie-lovegra-online/ https://bestemedikamente.com/product/kaufen-sie-lovegra-oral-jelly/ https://bestemedikamente.com/product/kaufen-sie-lsd-blotter/ https://bestemedikamente.com/product/kaufen-sie-mdma-schadel-online/ https://bestemedikamente.com/product/kaufen-sie-morphinsulfat/ https://bestemedikamente.com/product/kaufen-sie-nembutal/ https://bestemedikamente.com/product/kaufen-sie-opana-online/ https://bestemedikamente.com/product/kaufen-sie-oxycodon-30mg/ https://bestemedikamente.com/product/kaufen-sie-percocet/ https://bestemedikamente.com/product/kaufen-sie-pregabalin-online/ https://bestemedikamente.com/product/kaufen-sie-suboxone-streifen/ https://bestemedikamente.com/product/kaufen-sie-psilocybin-pillen/ https://bestemedikamente.com/product/kaufen-sie-super-kamagra/ https://bestemedikamente.com/product/kaufen-sie-tadarise-online/ https://bestemedikamente.com/product/kaufen-sie-temazepam/ https://bestemedikamente.com/product/kaufen-sie-tramadol-online/ https://bestemedikamente.com/product/ketamin-500-mg-10-flaschchen/ https://bestemedikamente.com/product/ketamin-nasenspray/ https://bestemedikamente.com/product/methadon-kaufen/ https://bestemedikamente.com/product/ozempic-stift-kaufen/ https://bestemedikamente.com/product/ritalin-kaufen/ https://bestemedikamente.com/product/rohypnol-kaufen/ https://bestemedikamente.com/product/saxenda-kaufen/ https://bestemedikamente.com/product/suboxone-kaufen/ https://bestemedikamente.com/product/subutex-kaufen/ https://bestemedikamente.com/product/vyvanse-online-kaufen/ https://bestemedikamente.com/product/zolpidem-kaufen/ https://bestemedikamente.com/product/zomorph-kaufen/ https://hochwertigeglobalemedikamente.com/product/kaufen-sie-ozempic-stift/ https://hochwertigeglobalemedikamente.com/product/calypsol-500-mg/ https://hochwertigeglobalemedikamente.com/product/kaufen-sie-oxycodon-80mg/ https://hochwertigeglobalemedikamente.com/product/zomorph-kaufen/ https://hochwertigeglobalemedikamente.com/product/kaufen-sie-etizolam/ https://hochwertigeglobalemedikamente.com/product/kaufen-sie-temazepam/ https://hochwertigeglobalemedikamente.com/product/kaufen-sie-lovegra-oral-jelly/ https://hochwertigeglobalemedikamente.com/product/kaufen-sie-lovegra/ https://hochwertigeglobalemedikamente.com/product/kaufen-sie-tadarise/ https://hochwertigeglobalemedikamente.com/product/kaufen-sie-cenforce/ https://hochwertigeglobalemedikamente.com/product/kaufen-sie-super-kamagra/ https://hochwertigeglobalemedikamente.com/product/kamagra-kaufen/ https://hochwertigeglobalemedikamente.com/product/kaufen-sie-kamagra-jelly/ https://hochwertigeglobalemedikamente.com/product/kaufen-sie-co-codamol/ https://hochwertigeglobalemedikamente.com/product/kaufen-sie-pregabalin/ https://hochwertigeglobalemedikamente.com/product/kaufen-sie-saxenda/ https://hochwertigeglobalemedikamente.com/product/kaufen-sie-nembutal/ https://hochwertigeglobalemedikamente.com/product/kaufen-sie-lsd-blotter/ https://hochwertigeglobalemedikamente.com/product/kaufen-sie-dmt-vape-pen/ https://hochwertigeglobalemedikamente.com/product/kaufen-sie-famotidin/ https://hochwertigeglobalemedikamente.com/product/kkaufen-sie-lexapro/ https://hochwertigeglobalemedikamente.com/product/kaufen-sie-tramadol/ https://hochwertigeglobalemedikamente.com/product/kaufen-sie-psilocybin/ https://hochwertigeglobalemedikamente.com/product/kaufen-sie-ritalin/ https://hochwertigeglobalemedikamente.com/product/kaufen-sie-methadon/ https://hochwertigeglobalemedikamente.com/product/kaufen-sie-dilaudid-8mg/ https://hochwertigeglobalemedikamente.com/product/kaufen-sie-codein/ https://hochwertigeglobalemedikamente.com/product/kaufen-sie-anonymes-mdma/ https://hochwertigeglobalemedikamente.com/product/kaufen-sie-mdma/ https://hochwertigeglobalemedikamente.com/product/blue-punisher-mdma/ https://hochwertigeglobalemedikamente.com/product/kaufen-sie-oxycodon-30mg/ https://hochwertigeglobalemedikamente.com/product/kaufen-sie-adipex-online/ https://hochwertigeglobalemedikamente.com/product/kaufen-sie-klonopin-2mg/ https://hochwertigeglobalemedikamente.com/product/gabapentin-300-mg-kaufen/ https://hochwertigeglobalemedikamente.com/product/kaufen-sie-ketamin/ https://hochwertigeglobalemedikamente.com/product/ketamin-500-mg/ https://hochwertigeglobalemedikamente.com/product/actavis-hustensaft/ https://hochwertigeglobalemedikamente.com/product/kaufen-sie-opana/ https://hochwertigeglobalemedikamente.com/product/hydrocodon-650-mg-10-mg/ https://hochwertigeglobalemedikamente.com/product/hydrocodon-325-mg/ https://hochwertigeglobalemedikamente.com/product/hydrocodon-10-mg-500-mg/ https://hochwertigeglobalemedikamente.com/product/kaufen-sie-suboxone/ https://hochwertigeglobalemedikamente.com/product/suboxone-streifen/ https://hochwertigeglobalemedikamente.com/product/kaufen-sie-subutex/ https://hochwertigeglobalemedikamente.com/product/kaufen-sie-fentanyl/ https://hochwertigeglobalemedikamente.com/product/kaufen-sie-percocet/ https://hochwertigeglobalemedikamente.com/product/kaufen-sie-morphinsulfat/ https://hochwertigeglobalemedikamente.com/product/diazepam-kaufen/ https://hochwertigeglobalemedikamente.com/product/kaufen-sie-ativan/ https://hochwertigeglobalemedikamente.com/product/rohypnol-kaufen/ https://hochwertigeglobalemedikamente.com/product/kaufen-sie-gelbes-xanax/ https://hochwertigeglobalemedikamente.com/product/greenstone-xanax/ https://hochwertigeglobalemedikamente.com/product/alprazolam-kaufen/ https://hochwertigeglobalemedikamente.com/product/kaufen-sie-zolpidem/ https://hochwertigeglobalemedikamente.com/product/kaufen-sie-dihydrocodein/ https://hochwertigeglobalemedikamente.com/product/kaufen-sie-desoxyn/ https://hochwertigeglobalemedikamente.com/product/kaufen-sie-dexedrin/ https://hochwertigeglobalemedikamente.com/product/kaufen-sie-concerta/ https://hochwertigeglobalemedikamente.com/product/vyvanse-70-mg/ https://hochwertigeglobalemedikamente.com/product/kaufen-sie-adderall-30mg/ https://hochwertigeglobalemedikamente.com/product/botox-100-einheiten/ https://farmacidiprimascelta.com/product/acquista-ozempic-online/ https://farmacidiprimascelta.com/product/acquista-calipsol-online/ https://farmacidiprimascelta.com/product/oxycodone-80-mg/ https://farmacidiprimascelta.com/product/acquista-zomorph-200mg/ https://farmacidiprimascelta.com/product/acquista-etizolam-1mg/ https://farmacidiprimascelta.com/product/acquista-temazepam/ https://farmacidiprimascelta.com/product/acquista-lovegra-100-mg/ https://farmacidiprimascelta.com/product/lovegra-100mg/ https://farmacidiprimascelta.com/product/acquista-tadarise-20mg/ https://farmacidiprimascelta.com/product/acquista-cenforce-100-mg/ https://farmacidiprimascelta.com/product/acquista-super-kamagra/ https://farmacidiprimascelta.com/product/acquista-kamagra-100-mg/ https://farmacidiprimascelta.com/product/kamagra-gelatina-orale/ https://farmacidiprimascelta.com/product/acquista-co-codamol/ https://farmacidiprimascelta.com/product/pregabalin-300-mg/ https://farmacidiprimascelta.com/product/acquista-saxenda-6-mg/ https://farmacidiprimascelta.com/product/acquista-lexapro-20-mg/ https://farmacidiprimascelta.com/product/iniezione-di-famotidina/ https://farmacidiprimascelta.com/product/acquista-dmt-vape-pen/ https://farmacidiprimascelta.com/product/acquista-nembutal-100ml/ https://farmacidiprimascelta.com/product/tramadolo-200-mg/ https://farmacidiprimascelta.com/product/acquista-ritalin-20mg/ https://farmacidiprimascelta.com/product/acquista-metadone/ https://farmacidiprimascelta.com/product/acquista-dilaudid-8mg/ https://farmacidiprimascelta.com/product/acquista-codeina-30-mg/ https://farmacidiprimascelta.com/product/acquista-mdma-anonimo/ https://farmacidiprimascelta.com/product/aquista-teschio-mdma/ https://farmacidiprimascelta.com/product/blue-punisher-mdma/ https://farmacidiprimascelta.com/product/acquista-oxycodon-30mg/ https://farmacidiprimascelta.com/product/acquista-adipex/ https://farmacidiprimascelta.com/product/acquista-klonopin-2-mg/ https://farmacidiprimascelta.com/product/gabapentin-300-mg/ https://farmacidiprimascelta.com/product/compresse-di-ketamina/ https://farmacidiprimascelta.com/product/acquista-ketamina-500mg/ https://farmacidiprimascelta.com/product/acquista-prometazina/ https://farmacidiprimascelta.com/product/acquista-opana-40mg/ https://farmacidiprimascelta.com/product/idrocodone-650-mg-10-mg/ https://farmacidiprimascelta.com/product/idrocodone-10mg-500mg/ https://farmacidiprimascelta.com/product/acquista-suboxone-8mg/ https://farmacidiprimascelta.com/product/strisce-di-suboxone/ https://farmacidiprimascelta.com/product/acquista-subutex-8mg/ https://farmacidiprimascelta.com/product/cerotti-di-fentanil/ https://farmacidiprimascelta.com/product/acquista-percocet-10mg/ https://farmacidiprimascelta.com/product/acquista-morfina-online/ https://farmacidiprimascelta.com/product/acquista-diazepam-10mg/ https://farmacidiprimascelta.com/product/acquista-ativan-2mg/ https://farmacidiprimascelta.com/product/acquista-rohypnol-2mg/ https://farmacidiprimascelta.com/product/compra-xanax-giallo/ https://farmacidiprimascelta.com/product/greenstone-xanax/ https://farmacidiprimascelta.com/product/acquista-alprazolam-2mg/ https://farmacidiprimascelta.com/product/acquista-zolpidem-10-mg/ https://farmacidiprimascelta.com/product/acquista-diidrocodeina/ https://farmacidiprimascelta.com/product/acquista-desoxyn-5mg/ https://farmacidiprimascelta.com/product/acquista-dexedrina/ https://farmacidiprimascelta.com/product/acquista-concerta-54mg/ https://farmacidiprimascelta.com/product/acquista-vyvanse-70mg/ https://farmacidiprimascelta.com/product/acquista-adderall-30mg/ https://farmacidiprimascelta.com/product/acquista-botox/ https://compraroxicodona.com/product/comprar-ozempic-1mg/ https://compraroxicodona.com/product/comprar-mdma-en-linea/ https://compraroxicodona.com/product/comprar-ketamina-en-linea/ https://compraroxicodona.com/product/comprar-calypsol-en-linea/ https://compraroxicodona.com/product/comprar-metadona-en-linea/ https://compraroxicodona.com/product/comprar-heroina-en-linea/ https://compraroxicodona.com/product/comprar-tiras-de-suboxona-en-linea/ https://compraroxicodona.com/product/comprar-adderall-en-linea/ https://compraroxicodona.com/product/comprar-desoxyn-en-linea/ https://compraroxicodona.com/product/comprar-dianabol-en-linea/ https://compraroxicodona.com/product/comprar-oramorph-en-linea/ https://compraroxicodona.com/product/inyeccion-de-sulfato-de-morfina/ https://compraroxicodona.com/product/comprar-verde-xanax-en-linea/ https://compraroxicodona.com/product/comprar-greenstone-xanax-en-linea/ https://compraroxicodona.com/product/comprar-valium-en-linea/ https://compraroxicodona.com/product/comprar-ultram-en-linea/ https://compraroxicodona.com/product/comprar-soma-en-linea/ https://compraroxicodona.com/product/comprar-soma-en-linea/ https://compraroxicodona.com/product/comprar-ketamax-inyeccion-en-linea/ https://compraroxicodona.com/product/comprar-codeina-en-linea/ https://compraroxicodona.com/product/comprar-fentanilo-en-linea/ https://compraroxicodona.com/product/comprar-ativan-en-linea/ https://compraroxicodona.com/product/comprar-diazepam-en-linea/ https://compraroxicodona.com/product/comprar-diazepam-en-linea/ https://compraroxicodona.com/product/comprar-ambien-en-linea/ https://compraroxicodona.com/product/comprar-stilnox-en-linea/ https://compraroxicodona.com/product/comprar-fentermina-en-linea/ https://compraroxicodona.com/product/comprar-percocet-en-linea/ https://compraroxicodona.com/product/comprar-demerol-en-linea/ https://compraroxicodona.com/product/compre-panales-en-linea/ https://compraroxicodona.com/product/comprar-opana-en-linea/ https://compraroxicodona.com/product/comprar-lortab-en-linea/ https://compraroxicodona.com/product/comprar-norco-en-linea/ https://compraroxicodona.com/product/comprar-subutex-en-linea/ https://compraroxicodona.com/product/comprar-zopiclona-en-linea/ https://compraroxicodona.com/product/comprar-modafinilo-en-linea/ https://compraroxicodona.com/product/comprar-ritalin-en-linea/ https://compraroxicodona.com/product/comprar-xanax-amarillo-en-linea/ https://compraroxicodona.com/product/comprar-morfina-en-linea/ https://compraroxicodona.com/product/comprar-xanax-en-linea/ https://compraroxicodona.com/product/comprar-klonopin-en-linea/ https://compraroxicodona.com/product/comprar-arimidex-en-linea/ https://compraroxicodona.com/product/comprar-neurobloc-en-linea/ https://compraroxicodona.com/product/comprar-vicodin-en-linea/ https://compraroxicodona.com/product/comprar-vicodin-en-linea/ https://compraroxicodona.com/product/comprar-vicodin-en-linea/ https://compraroxicodona.com/product/comprar-dilaudid-en-linea/ https://compraroxicodona.com/product/comprar-dysport-en-linea/ https://compraroxicodona.com/product/comprar-suboxone-en-linea/ https://compraroxicodona.com/product/comprar-endocet-en-linea/ https://compraroxicodona.com/product/comprar-oxynorm-en-linea/ https://compraroxicodona.com/product/comprar-oxicodona-en-linea/ https://compraroxicodona.com/product/comprar-roxicodona-en-linea/ https://compraroxicodona.com/product/comprar-hidrocodona-en-linea/ https://compraroxicodona.com/product/comprar-hidrocodona-en-linea/ https://compraroxicodona.com/product/comprar-oxycontin-en-linea/ https://compraroxicodona.com/product/comprar-adipex-en-linea/ https://compraroxicodona.com/product/comprar-botox-en-linea/ https://compraroxicodona.com/product/comprar-extasis-en-linea/ https://compraroxicodona.com/product/comprar-extasis-en-linea/ https://compraroxicodona.com/product/comprar-vyvanse-en-linea/ https://top-shelfdispensary.com/product/china-white-white-heroin/ https://top-shelfdispensary.com/product/buy-u47700-online/ https://top-shelfdispensary.com/product/buy-heroin-online/ https://top-shelfdispensary.com/product/mind-trip-liquid-incense/ https://top-shelfdispensary.com/product/kush-liquid-incense-5ml/ https://top-shelfdispensary.com/product/k2-liquid-code-red-5ml/ https://top-shelfdispensary.com/product/k2-incense-spray-online/ https://top-shelfdispensary.com/product/k2-chemical-spray-for-sale/ https://top-shelfdispensary.com/product/jungle-juice-liquid-incense-10ml/ https://top-shelfdispensary.com/product/joker-liquid-incense/ https://top-shelfdispensary.com/product/green-giant-liquid-incense/ https://top-shelfdispensary.com/product/buy-funky-vape-addictive-online/ https://top-shelfdispensary.com/product/diablo-smoking-alcohol/ https://top-shelfdispensary.com/product/diablo-liquid-incense-5ml/ https://top-shelfdispensary.com/product/cloud-nine-liquid-incense-5ml/ https://top-shelfdispensary.com/product/bliss-ultra-bath-salts-1000-mg/ https://top-shelfdispensary.com/product/amped-novelty-powder/ https://top-shelfdispensary.com/product/all-day-all-night-bath-salts/ https://top-shelfdispensary.com/product/buy-ketamine-crystals/ https://top-shelfdispensary.com/product/buy-oxycodone-raw-powder/ https://top-shelfdispensary.com/product/buy-fentanyl-hcl-online/ https://top-shelfdispensary.com/product/buy-4f-php-crystals-powder3/ https://top-shelfdispensary.com/product/buy-4-fluorococaine-4-fa/ https://top-shelfdispensary.com/product/amb-fubinaca-fub-amb/ https://top-shelfdispensary.com/product/buy-a-pvp-crystals/ https://top-shelfdispensary.com/product/buy-6-apb-powder-online/ https://top-shelfdispensary.com/product/buy-4-mpd-crystals-online/ https://top-shelfdispensary.com/product/buy-4-cmc-crystal-powder-online/ https://top-shelfdispensary.com/product/2-fluoroamphetamine-2-fa/ https://top-shelfdispensary.com/product/white-tiger-liquid-incense/ https://top-shelfdispensary.com/product/strawberry-kiwi-liquid-incense-5ml/ https://top-shelfdispensary.com/product/buy-skittles-flavour-c-liquid/ https://top-shelfdispensary.com/product/orgazmo-bubble-yum-liquid-incense-5ml/ https://top-shelfdispensary.com/product/buy-omg-liquid-incense/ https://top-shelfdispensary.com/product/mr-nice-guy-chronic-hypnotic-liquid-5ml/ https://top-shelfdispensary.com/product/buy-clear-k2-incense-spray/ https://top-shelfdispensary.com/product/xxx-splash-liquid-incense-5ml-strawberry/ https://top-shelfdispensary.com/product/buy-tangerine-liquid-incense-5ml/ https://top-shelfdispensary.com/product/buy-klimax-berry-liquid-incense-5ml/ https://top-shelfdispensary.com/product/buy-k2-paper-online/ https://top-shelfdispensary.com/product/brain-freeze-by-naked-100-e-liquid-60ml/ https://top-shelfdispensary.com/product/bizarro-herbal-liquid-5ml/ https://top-shelfdispensary.com/product/angry-birds-liquid-incense/ https://top-shelfdispensary.com/product/ak47-adios-premium-liquid-incense-5ml/ https://top-shelfdispensary.com/product/buy-wtf-herbal-incense/ https://top-shelfdispensary.com/product/buy-white-tiger-incense/ https://top-shelfdispensary.com/product/buy-voodoo-10g-online/ https://top-shelfdispensary.com/product/buy-temple-herbal-incense-1-5g/ https://top-shelfdispensary.com/product/tai-high-hawaiian-haze-2-5g/ https://top-shelfdispensary.com/product/stoner-patch-dummies-gummy-bears/ https://top-shelfdispensary.com/product/space-cadet-flight-risk-herbal-incense/ https://top-shelfdispensary.com/product/buy-sensate-herbal-incense-1g/ https://top-shelfdispensary.com/product/buy-scooby-snax-incense/ https://top-shelfdispensary.com/product/red-eye-jack-herbal-incense-3g/ https://top-shelfdispensary.com/product/rasta-style-76g-online/ https://top-shelfdispensary.com/product/buy-purple-diesel-incense/ https://top-shelfdispensary.com/product/pure-fire-herbal-incense/ https://top-shelfdispensary.com/product/buy-platinum-xxx-herbal-incense/ https://top-shelfdispensary.com/product/buy-panic-10g-online/ https://top-shelfdispensary.com/product/orange-platinum-caution-10g/ https://top-shelfdispensary.com/product/omg-herbal-potpourri-10g/ https://top-shelfdispensary.com/product/no-mames-herbal-incense-10g/ https://top-shelfdispensary.com/product/buy-mind-trip-incense/ https://top-shelfdispensary.com/product/master-kush-herbal-incense/ https://top-shelfdispensary.com/product/manga-xtreme-herbal-incense-3g/ https://top-shelfdispensary.com/product/mad-monkey-herbal-incense-4g/ https://top-shelfdispensary.com/product/klimax-potpourri-15xxx-coconut-10g/ https://top-shelfdispensary.com/product/kisha-cole-incense-11g/ https://top-shelfdispensary.com/product/jamaican-gold-extreme-herbal-incense-3g/ https://top-shelfdispensary.com/product/hitman-herbal-incense-3g/ https://top-shelfdispensary.com/product/head-trip-herbal-incense-1-5g/ https://top-shelfdispensary.com/product/hammerhead-herbal-incense-3g/ https://top-shelfdispensary.com/product/buy-fire-leaf-10g-bag/ https://top-shelfdispensary.com/product/buy-diablo-76gram-jar/ https://top-shelfdispensary.com/product/deadly-cobra-herbal-incense-4g/ https://top-shelfdispensary.com/product/buy-crazy-monkey-incense/ https://top-shelfdispensary.com/product/cloud9-mad-hatter-incense/ https://top-shelfdispensary.com/product/caution-gold-herbal-incense-3g/ https://top-shelfdispensary.com/product/california-dreams-incense/ https://top-shelfdispensary.com/product/buy-scooby-snax-spice/ https://top-shelfdispensary.com/product/caution-herbal-incense-10g/ https://top-shelfdispensary.com/product/dead-man-walking-incense/ https://top-shelfdispensary.com/product/buy-bizzaro-k2-powder/ https://top-shelfdispensary.com/product/buy-bizarro-incense-online/ https://top-shelfdispensary.com/product/24k-california-chronic-online/ https://top-shelfdispensary.com/product/brazil-gold-extreme-herbal-incense-2g/ https://top-shelfdispensary.com/product/buy-brainfreeze-herbal-incense/ https://top-shelfdispensary.com/product/bonzai-summer-boost-herbal-incense-3g/ https://top-shelfdispensary.com/product/bomb-marley-herbal-incense-10g/ https://top-shelfdispensary.com/product/buy-black-label-code-black/ https://top-shelfdispensary.com/product/buy-down-2-earth-10g/ https://top-shelfdispensary.com/product/buy-black-mamba-incense/ https://top-shelfdispensary.com/product/mr-happy-potpourri-incense/ https://top-shelfdispensary.com/product/buy-blaze-potent-potpourri/ https://top-shelfdispensary.com/product/king-kong-herbal-incense/ https://top-shelfdispensary.com/product/buy-death-grip-k2-potpourri/ https://top-shelfdispensary.com/product/buy-diablo-incense/ https://top-shelfdispensary.com/product/buy-blue-giant-herbal-incense-5g/ https://top-shelfdispensary.com/product/buy-kush-herbal-incense/ https://top-shelfdispensary.com/product/angry-birds-space-herbal-incense/ https://top-shelfdispensary.com/product/alcohol-potency-booster-spray-60-ml-for-sale/ https://top-shelfdispensary.com/product/7h-hydro-herbal-incense/ https://top-shelfdispensary.com/product/buy-100-natural-exotic-herbs-aroma-therapy/ https://top-shelfdispensary.com/product/buy-atomic-potpourri-herbal-incense/ https://top-shelfdispensary.com/product/black-insane-76g/ https://top-shelfdispensary.com/product/black-diamond-incense/ https://top-shelfdispensary.com/product/buy-alprazolam-powder/ https://top-shelfdispensary.com/product/buy-dmt-vape-pen/ https://top-shelfdispensary.com/product/geeked-up-herbal-incense-10g/ https://top-shelfdispensary.com/product/24k-monkey-classic-incense-10g/ https://top-shelfdispensary.com/product/blaze-premium-liquid-incense/ https://top-shelfdispensary.com/product/5f-akb-48-c-liquid/ https://top-shelfdispensary.com/product/ak-47-x10-premium-10g/ https://top-shelfdispensary.com/product/joker-herbal-incense-10g/ https://top-shelfdispensary.com/product/urge-1g-bath-salts/ https://top-shelfdispensary.com/product/uncrowned-1g-bath-salts/ https://top-shelfdispensary.com/product/sextacy-bath-salts-0-5g/ https://top-shelfdispensary.com/product/tomorrowland-1g-bath-salts/ https://top-shelfdispensary.com/product/sky-high-1g-bath-salts/ https://top-shelfdispensary.com/product/sextacy-ultimate-0-5g/ https://top-shelfdispensary.com/product/the-block-1g-bath-salts/ https://top-shelfdispensary.com/product/rave-or-die-1g-bath-salts/ https://top-shelfdispensary.com/product/rocky-mountain-high-bath-salts/ https://top-shelfdispensary.com/product/recharge-extra-1g/ https://top-shelfdispensary.com/product/new-charge-1g-bath-salts/ https://top-shelfdispensary.com/product/neon-vibes-1g-bath-salts/ https://top-shelfdispensary.com/product/pump-it-bath-salts/ https://top-shelfdispensary.com/product/ocean-burst-extreme-1g/ https://top-shelfdispensary.com/product/kick-1g-bath-salts/ https://top-shelfdispensary.com/product/ivory-wave-ultra-0-5g/ https://top-shelfdispensary.com/product/monkey-1g-bath-salts/ https://top-shelfdispensary.com/product/mind-charge-bath-salts/ https://top-shelfdispensary.com/product/eight-ballz-bath-salts/ https://top-shelfdispensary.com/product/crank-1g-bath-salts/ https://top-shelfdispensary.com/product/insomnia-1g-bath-salts/ https://top-shelfdispensary.com/product/highway-1g-bath-salts/ https://top-shelfdispensary.com/product/charlie-1g-bath-salts/ https://top-shelfdispensary.com/product/code-c-1g-bath-salts/ https://top-shelfdispensary.com/product/concentrated-candy-land-bath-salts/ https://top-shelfdispensary.com/product/concentrated-cloud-9-bath-salts/ https://top-shelfdispensary.com/product/charge-extreme-1g/ https://top-shelfdispensary.com/product/charge-1g-bath-salts/ https://top-shelfdispensary.com/product/c1-new-generation-bath-salt/ https://top-shelfdispensary.com/product/blue-stuff-bath-salts-1g/ https://top-shelfdispensary.com/product/bliss-bath-salts-1g/ https://top-shelfdispensary.com/product/caluanie-muelear-oxidize/ https://bestdermalfillerstr.com/product/buy-ozempic-pen/ https://bestdermalfillerstr.com/product/allergan-botox-1x100iu/ https://bestdermalfillerstr.com/product/allergan-botox-1x200iu/ https://bestdermalfillerstr.com/product/juvederm-ultra-smile-2x0-55ml/ https://bestdermalfillerstr.com/product/juvederm-ultra-4-2x1ml/ https://bestdermalfillerstr.com/product/juvederm-ultra-3-2x1ml/ https://bestdermalfillerstr.com/product/apriline-ageline-6x5ml/ https://bestdermalfillerstr.com/product/restylane-fynesse-1x1ml/ https://bestdermalfillerstr.com/product/restylane-lyft/ https://bestdermalfillerstr.com/product/restylane-lidocaine-1x1ml/ https://bestdermalfillerstr.com/product/restylane-lidocaine-1x0-5ml/ https://bestdermalfillerstr.com/product/restylane-kysse-with-lidocaine-1x1ml/ https://bestdermalfillerstr.com/product/restylane-skinboosters-vital-light-1x1ml-1x1ml/ https://bestdermalfillerstr.com/product/restylane-skinboosters-vital-1x1ml/ https://bestdermalfillerstr.com/product/restylane-refyne-with-lidocaine-1x1ml/ https://bestdermalfillerstr.com/product/restylane-lyft-with-lidocaine-1x1ml/ https://bestdermalfillerstr.com/product/alidya-anti-lipodystrophic-agents/ https://bestdermalfillerstr.com/product/revanesse-2x1ml/ https://bestdermalfillerstr.com/product/restylane-volyme-with-lidocaine-1x1ml/ https://bestdermalfillerstr.com/product/restylane-skinboosters-vital-with-lidocaine-1x1ml/ https://bestdermalfillerstr.com/product/restylane-skinboosters-vital-light-with-lidocaine-1x1ml/ https://bestdermalfillerstr.com/product/revolax-fine-lidocaine/ https://bestdermalfillerstr.com/product/revolax-deep-lidocaine/ https://bestdermalfillerstr.com/product/revanesse-kiss-2x1ml/ https://bestdermalfillerstr.com/product/revanesse-contour-2x1ml/ https://bestdermalfillerstr.com/product/stylage-hydro-max-1x1ml/ https://bestdermalfillerstr.com/product/stylage-hydro-1x1ml/ https://bestdermalfillerstr.com/product/apriline-hairline-6x5ml/ https://bestdermalfillerstr.com/product/apriline-skinline/ https://bestdermalfillerstr.com/product/aqualyx-10x8ml/ https://bestdermalfillerstr.com/product/aquashine-1x2ml/ https://bestdermalfillerstr.com/product/aquashine-br-1x2ml/ https://bestdermalfillerstr.com/product/aquashine-btx-1x2ml/ https://bestdermalfillerstr.com/product/azzalure-2-vials-125-iu/ https://bestdermalfillerstr.com/product/baxter-duplotip-5mm-x-32cm/ https://bestdermalfillerstr.com/product/bd-bd300865-plastipak-luer-lock-50ml-syringe-without-needle/ https://bestdermalfillerstr.com/product/bd-bd324826-microfine-insulin-syringe-0-3ml-30g-x-8mm-needle/ https://bestdermalfillerstr.com/product/belotero-balance-1x1ml/ https://bestdermalfillerstr.com/product/belotero-balance-with-lidocaine-1x1ml/ https://bestdermalfillerstr.com/product/belotero-soft-1-x-1ml/ https://bestdermalfillerstr.com/product/belotero-soft-with-lidocaine-1x1ml/ https://bestdermalfillerstr.com/product/belotero-volume-2x1ml/ https://bestdermalfillerstr.com/product/belotero-volume-with-lidocaine-2x1ml/ https://bestdermalfillerstr.com/product/biorehydra-30ml-200ml/ https://bestdermalfillerstr.com/product/biorepeelcl3-body-3-x-12-ml/ https://bestdermalfillerstr.com/product/biorepeelcl3-fnd-5-x-6ml/ https://bestdermalfillerstr.com/product/bocouture-1x100-units/ https://bestdermalfillerstr.com/product/bocouture-1x50-units/ https://bestdermalfillerstr.com/product/bocouture-2x100-units/ https://bestdermalfillerstr.com/product/botulax-100iu/ https://bestdermalfillerstr.com/product/botulax-200iu/ https://bestdermalfillerstr.com/product/botulax-50-iu/ https://bestdermalfillerstr.com/product/botulinum-toxin-type-a-product-meditoxin-neuronox/ https://bestdermalfillerstr.com/product/buy-allergan-botox-1x50iu/ https://bestdermalfillerstr.com/product/cambridge-skin-code-mesohair/ https://bestdermalfillerstr.com/product/cambridge-skin-code-mesolift/ https://bestdermalfillerstr.com/product/cambridge-skin-code-mesowhite/ https://bestdermalfillerstr.com/product/cytocare-502-10x5ml/ https://bestdermalfillerstr.com/product/cytocare-502-5x5ml/ https://bestdermalfillerstr.com/product/cytocare-516-10x5ml/ https://bestdermalfillerstr.com/product/cytocare-516-5x5ml/ https://bestdermalfillerstr.com/product/cytocare-532-10x5ml/ https://bestdermalfillerstr.com/product/cytocare-532-5x5ml/ https://bestdermalfillerstr.com/product/cytocare-s-line-1x3ml/ https://bestdermalfillerstr.com/product/dermafill-volume-ultra-2x1ml/ https://bestdermalfillerstr.com/product/dermalax-deep-plus-lidocaine-1-x-1-1ml/ https://bestdermalfillerstr.com/product/dermalax-implant-plus-lidocaine-2-x-1-1ml/ https://bestdermalfillerstr.com/product/dermalax-plus-lidocaine-1-x-1-1ml/ https://bestdermalfillerstr.com/product/dr-cyj-hair-filler/ https://bestdermalfillerstr.com/product/dysport-type-a-2x500-units/ https://bestdermalfillerstr.com/product/ellanse-m-hands-2x1ml/ https://bestdermalfillerstr.com/product/emervel-lips-1x1ml/ https://bestdermalfillerstr.com/product/emervel-volume-1x2ml/ https://bestdermalfillerstr.com/product/emla-cream-1x30g/ https://bestdermalfillerstr.com/product/filorga-art-filler-universal-with-lidocaine-2x1-2ml/ https://bestdermalfillerstr.com/product/filorga-nctf-135ha-alopecia-bundle-0-5mm/ https://bestdermalfillerstr.com/product/filorga-x-ha3-2x1ml/ https://bestdermalfillerstr.com/product/hyacorp-body-contouring-mlf2-10ml/ https://bestdermalfillerstr.com/product/hyacorp-lips-1x1ml/ https://bestdermalfillerstr.com/product/hyafilia-classic-1x1ml/ https://bestdermalfillerstr.com/product/hyaluronidase-ovine-strength-1500iu-per-vial/ https://bestdermalfillerstr.com/product/juvederm-hydrate-1x1ml/ https://bestdermalfillerstr.com/product/juvederm-ultra-2-2x0-55ml/ https://bestdermalfillerstr.com/product/juvederm-volift-with-lidocaine-2x1ml/ https://bestdermalfillerstr.com/product/juvederm-volift-retouch/ https://bestdermalfillerstr.com/product/juvederm-volbella-with-lidocaine-2x1ml/ https://bestdermalfillerstr.com/product/juvederm-ultra-xc/ https://bestdermalfillerstr.com/product/kairax-deep-1-x-1ml/ https://bestdermalfillerstr.com/product/juvederm-volux-2x1ml/ https://bestdermalfillerstr.com/product/juvederm-voluma-with-lidocaine/ https://bestdermalfillerstr.com/product/juvederm-volite-2x1ml/ https://bestdermalfillerstr.com/product/radiesse-1x3-0ml/ https://bestdermalfillerstr.com/product/radiesse-lidocaine-1x0-8ml/ https://bestdermalfillerstr.com/product/radiesse-lidocaine-1x1-5ml/ https://bestdermalfillerstr.com/product/restylane-defyne-with-lidocaine-1x1ml/ https://bestdermalfillerstr.com/product/sculptra-2-vials/ https://bestdermalfillerstr.com/product/revolax-sub-q-lidocaine/ https://bestdermalfillerstr.com/product/stylage-m-lidocaine-2x1ml/ https://bestdermalfillerstr.com/product/stylage-m-2x1ml/ https://bestdermalfillerstr.com/product/stylage-l-with-lidocaine-2x1ml/ https://bestdermalfillerstr.com/product/stylage-l-2x1ml/ https://bestdermalfillerstr.com/product/kairax-fine-1-x-1ml/ https://bestdermalfillerstr.com/product/kairax-subq-1-x-1ml/ https://bestdermalfillerstr.com/product/kybella-atx-101/ https://bestdermalfillerstr.com/product/lmx4-topical-anaesthetic-cream-4-30g/ https://bestdermalfillerstr.com/product/neurobloc-botulinum-toxin-type-b-5000-u/ https://bestdermalfillerstr.com/product/neurobloc-botulinum-toxin-type-b-10000-u/ https://bestdermalfillerstr.com/product/neuramis-lidocaine-1x1ml-1x1ml/ https://bestdermalfillerstr.com/product/neuramis-deep-lidocaine-1x1ml/ https://bestdermalfillerstr.com/product/princess-volume-lidocaine-1x1ml/ https://bestdermalfillerstr.com/product/princess-rich-1x1ml/ https://bestdermalfillerstr.com/product/princess-filler-lidocaine-1x1ml/ https://bestdermalfillerstr.com/product/princess-face-mask-rejuvenating-8-masks/ https://bestdermalfillerstr.com/product/profhilo-h-l/ https://bestdermalfillerstr.com/product/radiesse-1x0-8ml/ https://bestdermalfillerstr.com/product/radiesse-1x1-5ml/ https://bestdermalfillerstr.com/product/stylage-special-lips-1x1ml/ https://bestdermalfillerstr.com/product/stylage-serum-regenerant-cellulaire-1x30ml/ https://bestdermalfillerstr.com/product/stylage-s-with-lidocaine-2x0-8ml/ https://bestdermalfillerstr.com/product/stylage-s-2x0-8ml/ https://bestdermalfillerstr.com/product/stylage-xxl-2x1ml/ https://bestdermalfillerstr.com/product/stylage-xl-with-lidocaine-2x1ml/ https://bestdermalfillerstr.com/product/stylage-xl-2x1ml/ https://bestdermalfillerstr.com/product/stylage-special-lips-lidocaine-1x1ml-2/ https://bestdermalfillerstr.com/product/teosyal-27g-deep-lines-2x1ml/ https://bestdermalfillerstr.com/product/surgiderm-30-xp-2x0-8ml/ https://bestdermalfillerstr.com/product/sunekos-200-2x3ml-2x3ml-vials/ https://bestdermalfillerstr.com/product/sunekos-1200-2x1-5ml-vials/ https://bestdermalfillerstr.com/product/teosyal-30g-touch-up/ https://bestdermalfillerstr.com/product/teosyal-30g-global-action-puresense-2x1ml-2x1ml-2/ https://bestdermalfillerstr.com/product/teosyal-27g-kiss-puresense-2x1ml-2x1ml/ https://bestdermalfillerstr.com/product/teosyal-27g-deep-lines-puresense-2x1ml/ https://bestdermalfillerstr.com/product/teosyal-redensity-i-puresense-2x1ml/ https://bestdermalfillerstr.com/product/teosyal-redensity-i-puresense-1x3ml/ https://bestdermalfillerstr.com/product/teosyal-meso-2x1ml-2x1ml/ https://bestdermalfillerstr.com/product/teosyal-kiss-2x1ml/ https://bestdermalfillerstr.com/product/teosyal-rha-3/ https://bestdermalfillerstr.com/product/teosyal-rha-2-2x1ml/ https://bestdermalfillerstr.com/product/teosyal-rha-1/ https://bestdermalfillerstr.com/product/teosyal-redensity-ii-puresense-2x1ml/ https://bestdermalfillerstr.com/product/tsk-closed-single-hole-cannula-30g-x-25mm-1-prc-30025icsh/ https://bestdermalfillerstr.com/product/teosyal-ultra-deep-puresense-2x1-2ml-2/ https://bestdermalfillerstr.com/product/teosyal-ultimate-1x3m/ https://bestdermalfillerstr.com/product/teosyal-rha-4-2x1-2ml/
Scooped by nrip
August 2, 2021 3:17 PM
Scoop.it!

Tool could predict drug combos that spark antibiotic resistance

Tool could predict drug combos that spark antibiotic resistance | healthcare technology | Scoop.it

Scientists propose a modeling framework that could predict how antibiotic resistance will evolve in response to different drug combinations.

 

A new framework may suggest which drug combinations would speed up, slow down, or even reverse antibiotic resistance.

 

The research could help doctors optimize the choice, timing, dose, and sequence of antibiotics used to treat common infections in order to help halt the growing threat of antibiotic resistance to modern medicine.

 

“Drug combinations are a particularly promising approach for slowing resistance, but the evolutionary impacts of combination therapy remain difficult to predict, especially in a clinical setting,” says Erida Gjini, a researcher at the University of Lisbon, Portugal, and first author of the paper in eLife.

 

read more at https://www.futurity.org/antibiotic-resistance-drug-combinations-2605182-2/

 

No comment yet.
Scooped by nrip
July 27, 2021 3:13 PM
Scoop.it!

Silicone wristbands detect chemicals harmful to pregnancy

Silicone wristbands detect chemicals harmful to pregnancy | healthcare technology | Scoop.it
Silicone wristbands are just as good as traditional testing methods at detecting chemicals in the air that can be harmful during pregnancy.

 

Inexpensive, convenient silicone wristbands can measure exposure to a class of chemicals that can be harmful during pregnancy, researchers report.

 

The researchers found that the wristbands, when used as passive samplers, have the ability to bind smaller molecular weight semi-volatile polycyclic aromatic hydrocarbons (PAHs) in a similar pattern as active sampling. PAHs are a class of chemicals that occur naturally in coal, crude oil, and gasoline and are produced when coal, oil, gas, wood, garbage, and tobacco are burned.

 

The use of wristbands is appealing because it is inexpensive and easy to wear,”

 

access the study at https://doi.org/10.1038/s41370-021-00348-y

 

read the original unedited article at https://www.futurity.org/silicone-wristbands-polycyclic-aromatic-hydrocarbons-chemicals-pregnancy-2602202/

 

 

MinnesotaHypnosis's comment, August 6, 2021 12:35 PM
nice
Scooped by nrip
July 23, 2021 11:48 PM
Scoop.it!

Audio-Only Telehealth Has its Fans (Patients) and its Critics (Providers)

Audio-Only Telehealth Has its Fans (Patients) and its Critics (Providers) | healthcare technology | Scoop.it

While the US debates the value of the modality, a South Korean survey finds that patients like to use audio-only telehealth platforms to connect with their care provider - but their providers aren’t so sure.

 

While telehealth is not legally allowed in South Korea, the Ministry of Health and Welfare temporarily permitted its use due to hospital closures at the start of the pandemic.

 

Between February 24 and March 7, 2020, 6,840 patients used audio-based telehealth.

 

Researchers sent surveys to patients and providers alike to gauge their satisfaction with the telehealth platform, which includes landline telephones and online services without video. They asked questions about ease-of-use, interaction quality, reliability, satisfaction, and future use.

 

Around 87 % of patients reported that they were satisfied with their provider interaction and felt they could effectively express their feelings during an audio-only telehealth visit.

 

Most patients (87.1 %) also responded that their telehealth visit was just as reliable as an in-person visit would have been.

 

Meanwhile, the providers’ opinions differed drastically.

 

Less than 10 % of doctors and nurses were satisfied with their ability to interact with patients through an audio-only telehealth visit compared to in-person visits (7.3 % and 9 %, respectively).

 

Only 14 % of providers felt that the visits were as reliable as an in-person visit.

 

Patients and providers also had differing opinions on the convenience of telehealth.

 

Nearly 80 % of patients were satisfied with the convenience of telehealth and found it easy to use.

 

Providers were not as satisfied, with only 38.2 % of doctors and 30 percent of nurses reporting that they found telehealth convenient.

 

Overall, providers felt the negatives outweighed the positives for audio-only telehealth. While 85.8 % of the doctors and nurses agreed that telehealth is appropriate for emergency situations such as a pandemic, only 27.7 said it would be appropriate at all times.

 

In contrast, 40 % of the doctors and nurses surveyed said telehealth would be appropriate if it involved an audio-visual platform, saying it would be easier to fully examine and diagnose a patient’s condition.

 

read more at https://mhealthintelligence.com/news/audio-only-telehealth-has-its-fans-patients-and-its-critics-providers

 

 

nrip's insight:

Its the age old conundrum plaguing digital health. Who is the benefactor of the solutions, the tools, the technologies? The doctor or the patient ?

 

The significant gap in the perceived value of tools and technologies has always existed within healthcare, which is why it has become critical for digital health firms to realize how to look at value provision to all those involved/actors/stakeholders/users/users or users

 

that will also determine how big a role telehealth plays post the pandemic.

 

Blue's curator insight, July 24, 2021 7:44 PM

The idea of being able to literally have a check-up has jumped to the forefront in terms of convenience. While some believe Audio-only is a level of impersonal (providers), most whom needed to use the service (patients) believed it was very effect in terms of being diagnosed. Practitioners of the medical arts feel that this innovative idea can be expanded for a more accurate interaction with patients by also integrating visual/video with this program. With the rapid expansion of tech, it may not be long before you only need to actually go to the hospital when in need of critical care. This would lead to hospitals being able to take in more patients that actually need to be there vs ones taking up space because of the "convenience" of being closer physically. The one drawback I foresee may be the fact of availability of your actual doctor, though it could be be supplemented by other professionals in the field.

MinnesotaHypnosis's comment, August 6, 2021 12:35 PM
good
Scooped by nrip
June 26, 1:51 PM
Scoop.it!

Aligning AI Tools with Systemic Change in Healthcare

Aligning AI Tools with Systemic Change in Healthcare | healthcare technology | Scoop.it

The widespread investment in AI furthers economists’ optimism about a “roaring 20’s” of worker productivity on the horizon. However, this will not take place in health care without accompanying systemic and organizational actions that rethink what we financially incentivize, how we integrate new technologies, how we shift tasks, and how we prepare the workforce.

 

Two years ago, every health conference I attended had multiple panels on clinician burnout. The problem is well known, and the actual system-level contributors have been called out.

In the last year, the solution to burnout is splashed on every conference app log-in screen: generative artificial intelligence (AI).

 

The AI scribe revolution

In health care, ambient documentation tools have become the star of the show. These “AI scribes” listen to the patient-physician conversation, transcribe the discussion, and then use generative AI to create a first draft clinical note. These solutions remove the laborious work of fully capturing the patient’s story or the physician’s thoughts about the plan. This technology is seen by some as a miracle. Before large language model chat applications were popularized, many physicians did not think such solutions were possible during our careers. 

 

Conflicting visions for AI’s impact

Organizational leaders are stoked about the future AI can potentially create. There are endless administrative inefficiencies that affect patient care or inflate costs.

 

Frontline clinicians are still quite wary. Their concerns stem from the technology itself and also from what organizational or system leaders will do with the new efficiencies gained from the deployment of such technology. Those next steps – the policy changes and operational actions that follow broad AI scribe implementations — are the critical pieces that will determine its success.

 

Will organizations simply continue to add more patients and more tasks to physicians’ plates? Will we slot generative AI solutions into existing clinic processes that may not serve clinicians’ ideal workflow? Will we integrate these generative AI tools into EHR systems that do not support physicians’ thought patterns or desired storytelling purposes?

 

read the original unedited piece at https://medcitynews.com/2025/06/beyond-technology-aligning-ai-tools-with-systemic-change-in-healthcare/

 

No comment yet.
Scooped by nrip
January 15, 9:56 PM
Scoop.it!

Cyber Vulnerabilities on the Downswing

Cyber Vulnerabilities on the Downswing | healthcare technology | Scoop.it
A new report reveals a 50% reduction in remediation times for critical vulnerabilities within healthcare organizations.

 

This marks a significant milestone in improving cybersecurity across critical infrastructure sectors. The “Cybersecurity Performance Goals Adoption” report highlights healthcare as one of the most engaged sectors in implementing voluntary cybersecurity guidelines

 

Among the report’s findings, healthcare organizations demonstrated a notable decrease in known exploited vulnerabilities (KEVs). The average number of KEVs per organization dropped from 1.5 in 2022 to below 0.5 in 2024. Additionally, healthcare entities reduced their SSL vulnerability resolution times from nearly 200 days to just 12 days over the two-year analysis period.

 

“This rapid improvement demonstrates the commitment of healthcare organizations to securing their networks and protecting patient data,” the report stated.

Persistent Challenges: Email Security and OT Risks

Despite significant progress, the report highlighted areas where healthcare organizations lagged. Only 2% of entities implemented a comprehensive email security configuration that includes Domain-based Message Authentication, Reporting, and Conformance (DMARC), Sender Policy Framework (SPF), and STARTTLS. “This gap exposes organizations to phishing attacks and email spoofing,” the report stated.

Operational technology (OT) risks also presented a challenge, with 5% of healthcare organizations having exposed OT connections to the public internet. These connections often manage critical medical devices and infrastructure. “Unsecured OT systems pose a severe risk to patient safety and operational continuity,” the report warned.

Actionable Recommendations for Healthcare IT Executives

To further enhance cybersecurity, CISA recommends healthcare IT leaders adopt the following practices:

  • Implement Comprehensive Email Security
    Configure DMARC, SPF, and STARTTLS to protect against phishing and email spoofing.
  • Regularly Audit Vulnerabilities
    Use vulnerability scanning tools to identify and prioritize remediation of KEVs.
  • Upgrade Encryption Protocols
    Replace outdated SSL and TLS configurations with agile, modern encryption standards.
  • Limit Exposed Services
    Minimize internet-facing exploitable services, including RDP and FTP, to reduce attack vectors.
  • Strengthen OT Protections
    Secure OT systems by limiting public internet access and enhancing internal safeguards.
  • Adopt Security.txt Files
    Publish standardized vulnerability disclosure files to streamline communication and response to cyber incidents.

 

 

read the original unedited article at https://healthsystemcio.com/2025/01/15/cisa-cyber-vulnerabilities-on-the-downswing-as-adoption-of-guidelines-gains-momentum-but-work-remains/

 

 

No comment yet.
Scooped by nrip
October 9, 2024 11:01 AM
Scoop.it!

Data Preprocessing Techniques for AI and ML using a Scoping Review of Wearable Sensor Data in Cancer Care

Data Preprocessing Techniques for AI and ML using a Scoping Review of Wearable Sensor Data in Cancer Care | healthcare technology | Scoop.it

Wearable sensors are increasingly being explored in health care, including in cancer care, for their potential in continuously monitoring patients. Despite their growing adoption, significant challenges remain in the quality and consistency of data collected from wearable sensors. Moreover, preprocessing pipelines to clean, transform, normalize, and standardize raw data have not yet been fully optimized.


What is this study all about?

This study aims to conduct a scoping review of preprocessing techniques used on raw wearable sensor data in cancer care, specifically focusing on methods implemented to ensure their readiness for artificial intelligence and machine learning (AI/ML) applications.

 

The authors sought to understand the current landscape of approaches for handling issues, such as noise, missing values, normalization or standardization, and transformation, as well as techniques for extracting meaningful features from raw sensor outputs and converting them into usable formats for subsequent AI/ML analysis.

 

The method adopted here was primarily literature review and analysis: The authors systematically searched IEEE Xplore, PubMed, Embase, and Scopus to identify potentially relevant studies for this review.

 

The eligibility criteria included (1) mobile health and wearable sensor studies in cancer, (2) written and published in English, (3) published between January 2018 and December 2023, (4) full text available rather than abstracts, and (5) original studies published in peer-reviewed journals or conferences.


Conclusions: While wearable sensors are gaining traction in cancer care, realizing their full potential hinges on the ability to reliably translate raw outputs into high-quality data suitable for AI/ML applications.

 

This review found that researchers are using various preprocessing techniques to address this challenge, but there remains a lack of standardized best practices. The findings suggest a pressing need to develop and adopt uniform data quality and preprocessing workflows of wearable sensor data that can support the breadth of cancer research and varied patient populations.

 

Given the diverse preprocessing techniques identified in the literature, there is an urgency for a framework that can guide researchers and clinicians in preparing wearable sensor data for AI/ML applications.

 

read the unedited paper at https://mhealth.jmir.org/2024/1/e59587/

No comment yet.
Scooped by nrip
October 8, 2024 1:36 PM
Scoop.it!

Opening the digital front door for healthcare

Opening the digital front door for healthcare | healthcare technology | Scoop.it

Electronics giant Samsung discussed innovations in robotics and wearable devices as key technologies for delivering personalised care. 

 

In the HIMSS24 APAC keynote, "Smart Hospital Revolution: Redefining Patient Care with Technology," Samsung Medical Centre CIO, Dr Won-Chul Cha, and Dr Hon Pak, SVP and head of Digital Health at Samsung Electronics, discussed the importance of technological integration in healthcare. 

 

Dr Cha likened a smart hospital digital system to a human organism, hosting circuities and neurological networks that integrate.     

 

Integrated technologies, for example, can facilitate risk identification, pattern detection, and personalised care, he said. 

 

Integrated devices can also digitally bridge at-home users with timely medical interventions.      

 

read the original unedited article at https://www.healthcareitnews.com/news/asia/opening-digital-front-door-healthcare

 

 

No comment yet.
Scooped by nrip
October 7, 2024 1:02 PM
Scoop.it!

AI Governance: A Challenge for Public Health

AI Governance: A Challenge for Public Health | healthcare technology | Scoop.it

Rapidly evolving artificial intelligence (AI) is capable of structuralizing social, political, and economic determinants of health into the invisible algorithms that shape every facet of modern life.

 

AI could be a powerful public health tool, enabling beneficial objectives like precision public health and medicine.

 

Developing an AI governance framework that can maximize the benefits and minimize the risks of AI is a significant challenge. The benefits of public health engagement in AI governance could be extensive

 

In this paper, the authors describe how several public health concepts could enhance AI governance.  Public health theories, perspectives, and innovations could substantially enrich and improve AI governance, creating a more equitable and socially beneficial path for AI development.

 

read more at https://publichealth.jmir.org/2024/1/e58358/

 

No comment yet.
Scooped by nrip
May 6, 2024 10:26 PM
Scoop.it!

Ranking the Next Pandemic - Eyes on Disease X

Ranking the Next Pandemic - Eyes on Disease X | healthcare technology | Scoop.it

The past several decades have seen an alarming spike in communicable disease outbreaks worldwide. Given a confluence of host, virologic, environmental, and human factors, experts agree that the next pandemic could already be on the horizon.

 

 

In a globalized world, changes in how people use land and interact with their ecosystems—such as rapid deforestation and agricultural expansion—have resulted in humans and animals coming into more frequent and intense contact with one another, increasing opportunities for what is known as "zoonotic disease spillover."

 

 

In the past few years alone, numerous disease outbreaks have had suspected or confirmed zoonotic origin, including mpox (formerly known as monkeypox), Ebola virus disease, dengue fever, and COVID-19.

 

Experts also recognize the need to prepare for another possible Disease X, a term used to describe a currently unknown pathogen with pandemic potential.

 

To direct resources toward the most high-consequence pathogens, it is paramount that leaders have an accurate concept of pandemic risk—for individual viruses as well as viral families. Several institutions are developing disease rankings at national and global levels, including the Priority Zoonotic Diseases Lists facilitated by the U.S. Centers for Disease Control and Prevention and the Research and Development (R&D) Blueprint created by the World Health Organization. 

 

The original SpillOver risk ranking framework (SpillOver 1.0), an open-source webtool launched by researchers at the University of California, Davis One Health Institute, estimated the relative spillover potential of wildlife-origin viruses to humans based on a series of host, viral, and environmental risk factors determined via expert opinion and scientific evidence. 

 

Its next iteration, SpillOvers 2.0, has rebranded to better describe the diversity and frequency of virus spillovers to people. The new platform uses a One Health approach, which recognizes the interdependence of human, animal, and environmental health. It will expand to include domestic animal and vector-borne viruses and assess pandemic risk rather than just spillover risk for wildlife viruses.

 

 

 

No comment yet.
Scooped by nrip
February 27, 2024 1:31 PM
Scoop.it!

Applications of large language models in cancer care: current evidence and future perspectives

Applications of large language models in cancer care: current evidence and future perspectives | healthcare technology | Scoop.it

Large language models (LLM's) are computer models able to perform a wide range of natural language processing tasks, including content generation, question answering, or language translation.

 

The development of LLMs is a recent success in the field of generative artificial intelligence (AI).

 

In recent months, a growing number of studies aimed to assess their potential applications in the field of medicine, including cancer care. In this review, the authors described the present published evidence for using LLMs in oncology. All the available studies assessed ChatGPT, an advanced language model developed by OpenAI, alone or compared to other LLMs, such as Google Bard, Chatsonic, and Perplexity.

 

Although ChatGPT could provide adequate information on the screening or the management of specific solid tumors, it also demonstrated a significant error rate and a tendency toward providing obsolete data.

 

Therefore, an accurate, expert-driven verification process remains mandatory to avoid the potential for misinformation and incorrect evidence. Overall, although this new generative AI-based technology has the potential to revolutionize the field of medicine, including that of cancer care, it will be necessary to develop rules to guide the application of these tools to maximize benefits and minimize risks.

No comment yet.
Scooped by nrip
February 25, 2024 1:22 PM
Scoop.it!

Impact of the Narcotics Information Management System on Opioid Use Among Outpatients With Musculoskeletal and Connective Tissue Disorders

Impact of the Narcotics Information Management System on Opioid Use Among Outpatients With Musculoskeletal and Connective Tissue Disorders | healthcare technology | Scoop.it

South Korea introduced a new health care IT system named the Narcotics Information Management System (NIMS) with the objective of managing all aspects of opioid use, including manufacturing, distribution, sales, disposal, etc.

 

The authors conducted an analysis using national claims data from 45,582 patients diagnosed with musculoskeletal and connective tissue disorders between 2016 and 2020.  The approach included using an interrupted time-series analysis and constructing segmented regression models. Within these models, the authors considered the primary intervention to be the implementation of NIMS, while we treated the COVID-19 outbreak as the secondary event.

 

To comprehensively assess inappropriate opioid use, we examined 4 key indicators, as established in previous studies:

(1) the proportion of patients on high-dose opioid treatment,

(2) the proportion of patients receiving opioid prescriptions from multiple providers,

(3) the overlap rate of opioid prescriptions per patient, and

(4) the naloxone use rate among opioid users.

 

 

This study suggests that, in its current form, the NIMS may not have brought significant improvements to the identified indicators of opioid overuse and misuse. Additionally, the COVID-19 outbreak exhibited no significant influence on opioid use patterns.

 

 

The absence of real-time monitoring feature within the NIMS could be a key contributing factor. Further exploration and enhancements are needed to maximize the NIMS’ impact on curbing inappropriate opioid use.

 

 

read the original at https://publichealth.jmir.org/2024/1/e47130/

 

 

 

Daniel Fonkeng's curator insight, March 30, 2024 4:33 AM
https://hochwertigeschmerzmittel.com/product/blue-punisher-mdma-kaufen/ https://hochwertigeschmerzmittel.com/product/ecstasy-mdma-online-kaufen/ https://hochwertigeschmerzmittel.com/product/ozempic-online-kaufen/ https://hochwertigeschmerzmittel.com/product/desoxyn-online-kaufen/ https://hochwertigeschmerzmittel.com/product/actavis-hustensaft-kaufen/ https://hochwertigeschmerzmittel.com/product/adderall-kaufen/ https://hochwertigeschmerzmittel.com/product/adipex-kaufen/ https://hochwertigeschmerzmittel.com/product/alprazolam-kaufen/ https://hochwertigeschmerzmittel.com/product/anonymous-mdma-kaufen/ https://hochwertigeschmerzmittel.com/product/calypsol-ketamine-kaufen/ https://hochwertigeschmerzmittel.com/product/botox-kaufen/ https://hochwertigeschmerzmittel.com/product/cenforce-200-kaufen/ https://hochwertigeschmerzmittel.com/product/clonazepam-2-mg-kaufen/ https://hochwertigeschmerzmittel.com/product/codeine-kaufen/ https://hochwertigeschmerzmittel.com/product/co-codamol-kaufen/ https://hochwertigeschmerzmittel.com/product/concerta-online-kaufen/ https://hochwertigeschmerzmittel.com/product/dexedrine-online-kaufen/ https://hochwertigeschmerzmittel.com/product/diazepam-kaufen/ https://hochwertigeschmerzmittel.com/product/dihydrocodeine-kaufen/ https://hochwertigeschmerzmittel.com/product/dilaudid-8mg-kaufen/ https://hochwertigeschmerzmittel.com/product/dmt-vape-pen-kaufen/ https://hochwertigeschmerzmittel.com/product/esketamin-nasenspray-kaufen/ https://hochwertigeschmerzmittel.com/product/etizolam-1-mg-kaufen/ https://hochwertigeschmerzmittel.com/product/famotidin-injektion-kaufen/ https://hochwertigeschmerzmittel.com/product/fentanyl-pflaster-kaufen/ https://hochwertigeschmerzmittel.com/product/gabapentin-300-mg-kaufen/ https://hochwertigeschmerzmittel.com/product/gelbes-xanax-kaufen/ https://hochwertigeschmerzmittel.com/product/greenstone-xanax-kaufen/ https://hochwertigeschmerzmittel.com/product/hydrocodone-10-mg-500-mg/ https://hochwertigeschmerzmittel.com/product/hydrocodone-10-mg-650-mg/ https://hochwertigeschmerzmittel.com/product/hydrocodone-325-mg/ https://hochwertigeschmerzmittel.com/product/kamagra-kaufen/ https://hochwertigeschmerzmittel.com/product/kamagra-oral-jelly-kaufen/ https://hochwertigeschmerzmittel.com/product/kaufen-sie-lexapro-online/ https://hochwertigeschmerzmittel.com/product/kaufen-sie-lovegra-oral-jelly/ https://hochwertigeschmerzmittel.com/product/kaufen-sie-morphinsulfat/ https://hochwertigeschmerzmittel.com/product/kaufen-sie-nembutal/ https://hochwertigeschmerzmittel.com/product/kaufen-sie-opana-online/ https://hochwertigeschmerzmittel.com/product/ketamine-500-mg-flaschchen/ https://hochwertigeschmerzmittel.com/product/ketamine-nasenspray-kaufen/ https://hochwertigeschmerzmittel.com/product/lorazepam-online-kaufen/ https://hochwertigeschmerzmittel.com/product/lovegra-kaufen/ https://hochwertigeschmerzmittel.com/product/lsd-blotter-kaufen/ https://hochwertigeschmerzmittel.com/product/lyrica-pregabalin-kaufen/ https://hochwertigeschmerzmittel.com/product/methadone-kaufen/ https://hochwertigeschmerzmittel.com/product/oxycodone-80-mg-kaufen/ https://hochwertigeschmerzmittel.com/product/percocet-online-kaufen/ https://hochwertigeschmerzmittel.com/product/ritalin-kaufen/ https://hochwertigeschmerzmittel.com/product/rohypnol-kaufen/ https://hochwertigeschmerzmittel.com/product/saxenda-kaufen/ https://hochwertigeschmerzmittel.com/product/suboxone-kaufen/ https://hochwertigeschmerzmittel.com/product/suboxone-streifen-kaufen/ https://hochwertigeschmerzmittel.com/product/subutex-kaufen/ https://hochwertigeschmerzmittel.com/product/super-kamagra-kaufen/ https://hochwertigeschmerzmittel.com/product/tadarise-online-kaufen/ https://hochwertigeschmerzmittel.com/product/temazepam-kaufen/ https://hochwertigeschmerzmittel.com/product/tramadol-online-kaufen/ https://hochwertigeschmerzmittel.com/product/vyvanse-online-kaufen/ https://hochwertigeschmerzmittel.com/product/zolpidem-kaufen/ https://hochwertigeschmerzmittel.com/product/zomorph-200-mg-kaufen/ https://hochwertigeschmerzmittel.com/product/wegovy-kaufen-online/ https://bestemedikamente.com/product/adderall-kaufen/ https://bestemedikamente.com/product/wegovy-kaufen-online/ https://bestemedikamente.com/product/alprazolam-kaufen/ https://bestemedikamente.com/product/anonymes-mdma-kaufen/ https://bestemedikamente.com/product/ativan-kaufen/ https://bestemedikamente.com/product/botox-kaufen/ https://bestemedikamente.com/product/calypsol-online-kaufen/ https://bestemedikamente.com/product/codein-kaufen/ https://bestemedikamente.com/product/concerta-online-kaufen/ https://bestemedikamente.com/product/dexedrin-kaufen/ https://bestemedikamente.com/product/diazepam-kaufen/ https://bestemedikamente.com/product/dihydrocodein-kaufen/ https://bestemedikamente.com/product/gabapentin-300-mg-kaufen/ https://bestemedikamente.com/product/gelbes-xanax-kaufen/ https://bestemedikamente.com/product/hydrocodon-10-mg-500-mg/ https://bestemedikamente.com/product/hydrocodon-650-mg-10-mg/ https://bestemedikamente.com/product/hydrocodon-7-5-mg-325-mg/ https://bestemedikamente.com/product/kamagra-kaufen/ https://bestemedikamente.com/product/kaufen-oxycodon-80-mg/ https://bestemedikamente.com/product/kaufen-sie-actavis-hustensaft/ https://bestemedikamente.com/product/kaufen-sie-adipex-online/ https://bestemedikamente.com/product/kaufen-sie-blue-punisher-mdma/ https://bestemedikamente.com/product/kaufen-sie-cenforce-online/ https://bestemedikamente.com/product/kaufen-sie-co-codamol/ https://bestemedikamente.com/product/kaufen-sie-desoxyn/ https://bestemedikamente.com/product/kaufen-sie-dilaudid-8mg/ https://bestemedikamente.com/product/kaufen-sie-dmt-vape-pen/ https://bestemedikamente.com/product/kaufen-sie-etizolam-online/ https://bestemedikamente.com/product/kaufen-sie-famotidin-injektion/ https://bestemedikamente.com/product/kaufen-sie-fentanyl-pflaster/ https://bestemedikamente.com/product/kaufen-sie-greenstone-xanax/ https://bestemedikamente.com/product/kaufen-sie-kamagra-oral-jelly/ https://bestemedikamente.com/product/kaufen-sie-ketamin-tabletten/ https://bestemedikamente.com/product/kaufen-sie-klonopin-2mg/ https://bestemedikamente.com/product/kaufen-sie-lexapro-online/ https://bestemedikamente.com/product/kaufen-sie-lovegra-online/ https://bestemedikamente.com/product/kaufen-sie-lovegra-oral-jelly/ https://bestemedikamente.com/product/kaufen-sie-lsd-blotter/ https://bestemedikamente.com/product/kaufen-sie-mdma-schadel-online/ https://bestemedikamente.com/product/kaufen-sie-morphinsulfat/ https://bestemedikamente.com/product/kaufen-sie-nembutal/ https://bestemedikamente.com/product/kaufen-sie-opana-online/ https://bestemedikamente.com/product/kaufen-sie-oxycodon-30mg/ https://bestemedikamente.com/product/kaufen-sie-percocet/ https://bestemedikamente.com/product/kaufen-sie-pregabalin-online/ https://bestemedikamente.com/product/kaufen-sie-suboxone-streifen/ https://bestemedikamente.com/product/kaufen-sie-psilocybin-pillen/ https://bestemedikamente.com/product/kaufen-sie-super-kamagra/ https://bestemedikamente.com/product/kaufen-sie-tadarise-online/ https://bestemedikamente.com/product/kaufen-sie-temazepam/ https://bestemedikamente.com/product/kaufen-sie-tramadol-online/ https://bestemedikamente.com/product/ketamin-500-mg-10-flaschchen/ https://bestemedikamente.com/product/ketamin-nasenspray/ https://bestemedikamente.com/product/methadon-kaufen/ https://bestemedikamente.com/product/ozempic-stift-kaufen/ https://bestemedikamente.com/product/ritalin-kaufen/ https://bestemedikamente.com/product/rohypnol-kaufen/ https://bestemedikamente.com/product/saxenda-kaufen/ https://bestemedikamente.com/product/suboxone-kaufen/ https://bestemedikamente.com/product/subutex-kaufen/ https://bestemedikamente.com/product/vyvanse-online-kaufen/ https://bestemedikamente.com/product/zolpidem-kaufen/ https://bestemedikamente.com/product/zomorph-kaufen/ https://hochwertigeglobalemedikamente.com/product/kaufen-sie-ozempic-stift/ https://hochwertigeglobalemedikamente.com/product/calypsol-500-mg/ https://hochwertigeglobalemedikamente.com/product/kaufen-sie-oxycodon-80mg/ https://hochwertigeglobalemedikamente.com/product/zomorph-kaufen/ https://hochwertigeglobalemedikamente.com/product/kaufen-sie-etizolam/ https://hochwertigeglobalemedikamente.com/product/kaufen-sie-temazepam/ https://hochwertigeglobalemedikamente.com/product/kaufen-sie-lovegra-oral-jelly/ https://hochwertigeglobalemedikamente.com/product/kaufen-sie-lovegra/ https://hochwertigeglobalemedikamente.com/product/kaufen-sie-tadarise/ https://hochwertigeglobalemedikamente.com/product/kaufen-sie-cenforce/ https://hochwertigeglobalemedikamente.com/product/kaufen-sie-super-kamagra/ https://hochwertigeglobalemedikamente.com/product/kamagra-kaufen/ https://hochwertigeglobalemedikamente.com/product/kaufen-sie-kamagra-jelly/ https://hochwertigeglobalemedikamente.com/product/kaufen-sie-co-codamol/ https://hochwertigeglobalemedikamente.com/product/kaufen-sie-pregabalin/ https://hochwertigeglobalemedikamente.com/product/kaufen-sie-saxenda/ https://hochwertigeglobalemedikamente.com/product/kaufen-sie-nembutal/ https://hochwertigeglobalemedikamente.com/product/kaufen-sie-lsd-blotter/ https://hochwertigeglobalemedikamente.com/product/kaufen-sie-dmt-vape-pen/ https://hochwertigeglobalemedikamente.com/product/kaufen-sie-famotidin/ https://hochwertigeglobalemedikamente.com/product/kkaufen-sie-lexapro/ https://hochwertigeglobalemedikamente.com/product/kaufen-sie-tramadol/ https://hochwertigeglobalemedikamente.com/product/kaufen-sie-psilocybin/ https://hochwertigeglobalemedikamente.com/product/kaufen-sie-ritalin/ https://hochwertigeglobalemedikamente.com/product/kaufen-sie-methadon/ https://hochwertigeglobalemedikamente.com/product/kaufen-sie-dilaudid-8mg/ https://hochwertigeglobalemedikamente.com/product/kaufen-sie-codein/ https://hochwertigeglobalemedikamente.com/product/kaufen-sie-anonymes-mdma/ https://hochwertigeglobalemedikamente.com/product/kaufen-sie-mdma/ https://hochwertigeglobalemedikamente.com/product/blue-punisher-mdma/ https://hochwertigeglobalemedikamente.com/product/kaufen-sie-oxycodon-30mg/ https://hochwertigeglobalemedikamente.com/product/kaufen-sie-adipex-online/ https://hochwertigeglobalemedikamente.com/product/kaufen-sie-klonopin-2mg/ https://hochwertigeglobalemedikamente.com/product/gabapentin-300-mg-kaufen/ https://hochwertigeglobalemedikamente.com/product/kaufen-sie-ketamin/ https://hochwertigeglobalemedikamente.com/product/ketamin-500-mg/ https://hochwertigeglobalemedikamente.com/product/actavis-hustensaft/ https://hochwertigeglobalemedikamente.com/product/kaufen-sie-opana/ https://hochwertigeglobalemedikamente.com/product/hydrocodon-650-mg-10-mg/ https://hochwertigeglobalemedikamente.com/product/hydrocodon-325-mg/ https://hochwertigeglobalemedikamente.com/product/hydrocodon-10-mg-500-mg/ https://hochwertigeglobalemedikamente.com/product/kaufen-sie-suboxone/ https://hochwertigeglobalemedikamente.com/product/suboxone-streifen/ https://hochwertigeglobalemedikamente.com/product/kaufen-sie-subutex/ https://hochwertigeglobalemedikamente.com/product/kaufen-sie-fentanyl/ https://hochwertigeglobalemedikamente.com/product/kaufen-sie-percocet/ https://hochwertigeglobalemedikamente.com/product/kaufen-sie-morphinsulfat/ https://hochwertigeglobalemedikamente.com/product/diazepam-kaufen/ https://hochwertigeglobalemedikamente.com/product/kaufen-sie-ativan/ https://hochwertigeglobalemedikamente.com/product/rohypnol-kaufen/ https://hochwertigeglobalemedikamente.com/product/kaufen-sie-gelbes-xanax/ https://hochwertigeglobalemedikamente.com/product/greenstone-xanax/ https://hochwertigeglobalemedikamente.com/product/alprazolam-kaufen/ https://hochwertigeglobalemedikamente.com/product/kaufen-sie-zolpidem/ https://hochwertigeglobalemedikamente.com/product/kaufen-sie-dihydrocodein/ https://hochwertigeglobalemedikamente.com/product/kaufen-sie-desoxyn/ https://hochwertigeglobalemedikamente.com/product/kaufen-sie-dexedrin/ https://hochwertigeglobalemedikamente.com/product/kaufen-sie-concerta/ https://hochwertigeglobalemedikamente.com/product/vyvanse-70-mg/ https://hochwertigeglobalemedikamente.com/product/kaufen-sie-adderall-30mg/ https://hochwertigeglobalemedikamente.com/product/botox-100-einheiten/ https://farmacidiprimascelta.com/product/acquista-ozempic-online/ https://farmacidiprimascelta.com/product/acquista-calipsol-online/ https://farmacidiprimascelta.com/product/oxycodone-80-mg/ https://farmacidiprimascelta.com/product/acquista-zomorph-200mg/ https://farmacidiprimascelta.com/product/acquista-etizolam-1mg/ https://farmacidiprimascelta.com/product/acquista-temazepam/ https://farmacidiprimascelta.com/product/acquista-lovegra-100-mg/ https://farmacidiprimascelta.com/product/lovegra-100mg/ https://farmacidiprimascelta.com/product/acquista-tadarise-20mg/ https://farmacidiprimascelta.com/product/acquista-cenforce-100-mg/ https://farmacidiprimascelta.com/product/acquista-super-kamagra/ https://farmacidiprimascelta.com/product/acquista-kamagra-100-mg/ https://farmacidiprimascelta.com/product/kamagra-gelatina-orale/ https://farmacidiprimascelta.com/product/acquista-co-codamol/ https://farmacidiprimascelta.com/product/pregabalin-300-mg/ https://farmacidiprimascelta.com/product/acquista-saxenda-6-mg/ https://farmacidiprimascelta.com/product/acquista-lexapro-20-mg/ https://farmacidiprimascelta.com/product/iniezione-di-famotidina/ https://farmacidiprimascelta.com/product/acquista-dmt-vape-pen/ https://farmacidiprimascelta.com/product/acquista-nembutal-100ml/ https://farmacidiprimascelta.com/product/tramadolo-200-mg/ https://farmacidiprimascelta.com/product/acquista-ritalin-20mg/ https://farmacidiprimascelta.com/product/acquista-metadone/ https://farmacidiprimascelta.com/product/acquista-dilaudid-8mg/ https://farmacidiprimascelta.com/product/acquista-codeina-30-mg/ https://farmacidiprimascelta.com/product/acquista-mdma-anonimo/ https://farmacidiprimascelta.com/product/aquista-teschio-mdma/ https://farmacidiprimascelta.com/product/blue-punisher-mdma/ https://farmacidiprimascelta.com/product/acquista-oxycodon-30mg/ https://farmacidiprimascelta.com/product/acquista-adipex/ https://farmacidiprimascelta.com/product/acquista-klonopin-2-mg/ https://farmacidiprimascelta.com/product/gabapentin-300-mg/ https://farmacidiprimascelta.com/product/compresse-di-ketamina/ https://farmacidiprimascelta.com/product/acquista-ketamina-500mg/ https://farmacidiprimascelta.com/product/acquista-prometazina/ https://farmacidiprimascelta.com/product/acquista-opana-40mg/ https://farmacidiprimascelta.com/product/idrocodone-650-mg-10-mg/ https://farmacidiprimascelta.com/product/idrocodone-10mg-500mg/ https://farmacidiprimascelta.com/product/acquista-suboxone-8mg/ https://farmacidiprimascelta.com/product/strisce-di-suboxone/ https://farmacidiprimascelta.com/product/acquista-subutex-8mg/ https://farmacidiprimascelta.com/product/cerotti-di-fentanil/ https://farmacidiprimascelta.com/product/acquista-percocet-10mg/ https://farmacidiprimascelta.com/product/acquista-morfina-online/ https://farmacidiprimascelta.com/product/acquista-diazepam-10mg/ https://farmacidiprimascelta.com/product/acquista-ativan-2mg/ https://farmacidiprimascelta.com/product/acquista-rohypnol-2mg/ https://farmacidiprimascelta.com/product/compra-xanax-giallo/ https://farmacidiprimascelta.com/product/greenstone-xanax/ https://farmacidiprimascelta.com/product/acquista-alprazolam-2mg/ https://farmacidiprimascelta.com/product/acquista-zolpidem-10-mg/ https://farmacidiprimascelta.com/product/acquista-diidrocodeina/ https://farmacidiprimascelta.com/product/acquista-desoxyn-5mg/ https://farmacidiprimascelta.com/product/acquista-dexedrina/ https://farmacidiprimascelta.com/product/acquista-concerta-54mg/ https://farmacidiprimascelta.com/product/acquista-vyvanse-70mg/ https://farmacidiprimascelta.com/product/acquista-adderall-30mg/ https://farmacidiprimascelta.com/product/acquista-botox/ https://compraroxicodona.com/product/comprar-ozempic-1mg/ https://compraroxicodona.com/product/comprar-mdma-en-linea/ https://compraroxicodona.com/product/comprar-ketamina-en-linea/ https://compraroxicodona.com/product/comprar-calypsol-en-linea/ https://compraroxicodona.com/product/comprar-metadona-en-linea/ https://compraroxicodona.com/product/comprar-heroina-en-linea/ https://compraroxicodona.com/product/comprar-tiras-de-suboxona-en-linea/ https://compraroxicodona.com/product/comprar-adderall-en-linea/ https://compraroxicodona.com/product/comprar-desoxyn-en-linea/ https://compraroxicodona.com/product/comprar-dianabol-en-linea/ https://compraroxicodona.com/product/comprar-oramorph-en-linea/ https://compraroxicodona.com/product/inyeccion-de-sulfato-de-morfina/ https://compraroxicodona.com/product/comprar-verde-xanax-en-linea/ https://compraroxicodona.com/product/comprar-greenstone-xanax-en-linea/ https://compraroxicodona.com/product/comprar-valium-en-linea/ https://compraroxicodona.com/product/comprar-ultram-en-linea/ https://compraroxicodona.com/product/comprar-soma-en-linea/ https://compraroxicodona.com/product/comprar-soma-en-linea/ https://compraroxicodona.com/product/comprar-ketamax-inyeccion-en-linea/ https://compraroxicodona.com/product/comprar-codeina-en-linea/ https://compraroxicodona.com/product/comprar-fentanilo-en-linea/ https://compraroxicodona.com/product/comprar-ativan-en-linea/ https://compraroxicodona.com/product/comprar-diazepam-en-linea/ https://compraroxicodona.com/product/comprar-diazepam-en-linea/ https://compraroxicodona.com/product/comprar-ambien-en-linea/ https://compraroxicodona.com/product/comprar-stilnox-en-linea/ https://compraroxicodona.com/product/comprar-fentermina-en-linea/ https://compraroxicodona.com/product/comprar-percocet-en-linea/ https://compraroxicodona.com/product/comprar-demerol-en-linea/ https://compraroxicodona.com/product/compre-panales-en-linea/ https://compraroxicodona.com/product/comprar-opana-en-linea/ https://compraroxicodona.com/product/comprar-lortab-en-linea/ https://compraroxicodona.com/product/comprar-norco-en-linea/ https://compraroxicodona.com/product/comprar-subutex-en-linea/ https://compraroxicodona.com/product/comprar-zopiclona-en-linea/ https://compraroxicodona.com/product/comprar-modafinilo-en-linea/ https://compraroxicodona.com/product/comprar-ritalin-en-linea/ https://compraroxicodona.com/product/comprar-xanax-amarillo-en-linea/ https://compraroxicodona.com/product/comprar-morfina-en-linea/ https://compraroxicodona.com/product/comprar-xanax-en-linea/ https://compraroxicodona.com/product/comprar-klonopin-en-linea/ https://compraroxicodona.com/product/comprar-arimidex-en-linea/ https://compraroxicodona.com/product/comprar-neurobloc-en-linea/ https://compraroxicodona.com/product/comprar-vicodin-en-linea/ https://compraroxicodona.com/product/comprar-vicodin-en-linea/ https://compraroxicodona.com/product/comprar-vicodin-en-linea/ https://compraroxicodona.com/product/comprar-dilaudid-en-linea/ https://compraroxicodona.com/product/comprar-dysport-en-linea/ https://compraroxicodona.com/product/comprar-suboxone-en-linea/ https://compraroxicodona.com/product/comprar-endocet-en-linea/ https://compraroxicodona.com/product/comprar-oxynorm-en-linea/ https://compraroxicodona.com/product/comprar-oxicodona-en-linea/ https://compraroxicodona.com/product/comprar-roxicodona-en-linea/ https://compraroxicodona.com/product/comprar-hidrocodona-en-linea/ https://compraroxicodona.com/product/comprar-hidrocodona-en-linea/ https://compraroxicodona.com/product/comprar-oxycontin-en-linea/ https://compraroxicodona.com/product/comprar-adipex-en-linea/ https://compraroxicodona.com/product/comprar-botox-en-linea/ https://compraroxicodona.com/product/comprar-extasis-en-linea/ https://compraroxicodona.com/product/comprar-extasis-en-linea/ https://compraroxicodona.com/product/comprar-vyvanse-en-linea/ https://top-shelfdispensary.com/product/china-white-white-heroin/ https://top-shelfdispensary.com/product/buy-u47700-online/ https://top-shelfdispensary.com/product/buy-heroin-online/ https://top-shelfdispensary.com/product/mind-trip-liquid-incense/ https://top-shelfdispensary.com/product/kush-liquid-incense-5ml/ https://top-shelfdispensary.com/product/k2-liquid-code-red-5ml/ https://top-shelfdispensary.com/product/k2-incense-spray-online/ https://top-shelfdispensary.com/product/k2-chemical-spray-for-sale/ https://top-shelfdispensary.com/product/jungle-juice-liquid-incense-10ml/ https://top-shelfdispensary.com/product/joker-liquid-incense/ https://top-shelfdispensary.com/product/green-giant-liquid-incense/ https://top-shelfdispensary.com/product/buy-funky-vape-addictive-online/ https://top-shelfdispensary.com/product/diablo-smoking-alcohol/ https://top-shelfdispensary.com/product/diablo-liquid-incense-5ml/ https://top-shelfdispensary.com/product/cloud-nine-liquid-incense-5ml/ https://top-shelfdispensary.com/product/bliss-ultra-bath-salts-1000-mg/ https://top-shelfdispensary.com/product/amped-novelty-powder/ https://top-shelfdispensary.com/product/all-day-all-night-bath-salts/ https://top-shelfdispensary.com/product/buy-ketamine-crystals/ https://top-shelfdispensary.com/product/buy-oxycodone-raw-powder/ https://top-shelfdispensary.com/product/buy-fentanyl-hcl-online/ https://top-shelfdispensary.com/product/buy-4f-php-crystals-powder3/ https://top-shelfdispensary.com/product/buy-4-fluorococaine-4-fa/ https://top-shelfdispensary.com/product/amb-fubinaca-fub-amb/ https://top-shelfdispensary.com/product/buy-a-pvp-crystals/ https://top-shelfdispensary.com/product/buy-6-apb-powder-online/ https://top-shelfdispensary.com/product/buy-4-mpd-crystals-online/ https://top-shelfdispensary.com/product/buy-4-cmc-crystal-powder-online/ https://top-shelfdispensary.com/product/2-fluoroamphetamine-2-fa/ https://top-shelfdispensary.com/product/white-tiger-liquid-incense/ https://top-shelfdispensary.com/product/strawberry-kiwi-liquid-incense-5ml/ https://top-shelfdispensary.com/product/buy-skittles-flavour-c-liquid/ https://top-shelfdispensary.com/product/orgazmo-bubble-yum-liquid-incense-5ml/ https://top-shelfdispensary.com/product/buy-omg-liquid-incense/ https://top-shelfdispensary.com/product/mr-nice-guy-chronic-hypnotic-liquid-5ml/ https://top-shelfdispensary.com/product/buy-clear-k2-incense-spray/ https://top-shelfdispensary.com/product/xxx-splash-liquid-incense-5ml-strawberry/ https://top-shelfdispensary.com/product/buy-tangerine-liquid-incense-5ml/ https://top-shelfdispensary.com/product/buy-klimax-berry-liquid-incense-5ml/ https://top-shelfdispensary.com/product/buy-k2-paper-online/ https://top-shelfdispensary.com/product/brain-freeze-by-naked-100-e-liquid-60ml/ https://top-shelfdispensary.com/product/bizarro-herbal-liquid-5ml/ https://top-shelfdispensary.com/product/angry-birds-liquid-incense/ https://top-shelfdispensary.com/product/ak47-adios-premium-liquid-incense-5ml/ https://top-shelfdispensary.com/product/buy-wtf-herbal-incense/ https://top-shelfdispensary.com/product/buy-white-tiger-incense/ https://top-shelfdispensary.com/product/buy-voodoo-10g-online/ https://top-shelfdispensary.com/product/buy-temple-herbal-incense-1-5g/ https://top-shelfdispensary.com/product/tai-high-hawaiian-haze-2-5g/ https://top-shelfdispensary.com/product/stoner-patch-dummies-gummy-bears/ https://top-shelfdispensary.com/product/space-cadet-flight-risk-herbal-incense/ https://top-shelfdispensary.com/product/buy-sensate-herbal-incense-1g/ https://top-shelfdispensary.com/product/buy-scooby-snax-incense/ https://top-shelfdispensary.com/product/red-eye-jack-herbal-incense-3g/ https://top-shelfdispensary.com/product/rasta-style-76g-online/ https://top-shelfdispensary.com/product/buy-purple-diesel-incense/ https://top-shelfdispensary.com/product/pure-fire-herbal-incense/ https://top-shelfdispensary.com/product/buy-platinum-xxx-herbal-incense/ https://top-shelfdispensary.com/product/buy-panic-10g-online/ https://top-shelfdispensary.com/product/orange-platinum-caution-10g/ https://top-shelfdispensary.com/product/omg-herbal-potpourri-10g/ https://top-shelfdispensary.com/product/no-mames-herbal-incense-10g/ https://top-shelfdispensary.com/product/buy-mind-trip-incense/ https://top-shelfdispensary.com/product/master-kush-herbal-incense/ https://top-shelfdispensary.com/product/manga-xtreme-herbal-incense-3g/ https://top-shelfdispensary.com/product/mad-monkey-herbal-incense-4g/ https://top-shelfdispensary.com/product/klimax-potpourri-15xxx-coconut-10g/ https://top-shelfdispensary.com/product/kisha-cole-incense-11g/ https://top-shelfdispensary.com/product/jamaican-gold-extreme-herbal-incense-3g/ https://top-shelfdispensary.com/product/hitman-herbal-incense-3g/ https://top-shelfdispensary.com/product/head-trip-herbal-incense-1-5g/ https://top-shelfdispensary.com/product/hammerhead-herbal-incense-3g/ https://top-shelfdispensary.com/product/buy-fire-leaf-10g-bag/ https://top-shelfdispensary.com/product/buy-diablo-76gram-jar/ https://top-shelfdispensary.com/product/deadly-cobra-herbal-incense-4g/ https://top-shelfdispensary.com/product/buy-crazy-monkey-incense/ https://top-shelfdispensary.com/product/cloud9-mad-hatter-incense/ https://top-shelfdispensary.com/product/caution-gold-herbal-incense-3g/ https://top-shelfdispensary.com/product/california-dreams-incense/ https://top-shelfdispensary.com/product/buy-scooby-snax-spice/ https://top-shelfdispensary.com/product/caution-herbal-incense-10g/ https://top-shelfdispensary.com/product/dead-man-walking-incense/ https://top-shelfdispensary.com/product/buy-bizzaro-k2-powder/ https://top-shelfdispensary.com/product/buy-bizarro-incense-online/ https://top-shelfdispensary.com/product/24k-california-chronic-online/ https://top-shelfdispensary.com/product/brazil-gold-extreme-herbal-incense-2g/ https://top-shelfdispensary.com/product/buy-brainfreeze-herbal-incense/ https://top-shelfdispensary.com/product/bonzai-summer-boost-herbal-incense-3g/ https://top-shelfdispensary.com/product/bomb-marley-herbal-incense-10g/ https://top-shelfdispensary.com/product/buy-black-label-code-black/ https://top-shelfdispensary.com/product/buy-down-2-earth-10g/ https://top-shelfdispensary.com/product/buy-black-mamba-incense/ https://top-shelfdispensary.com/product/mr-happy-potpourri-incense/ https://top-shelfdispensary.com/product/buy-blaze-potent-potpourri/ https://top-shelfdispensary.com/product/king-kong-herbal-incense/ https://top-shelfdispensary.com/product/buy-death-grip-k2-potpourri/ https://top-shelfdispensary.com/product/buy-diablo-incense/ https://top-shelfdispensary.com/product/buy-blue-giant-herbal-incense-5g/ https://top-shelfdispensary.com/product/buy-kush-herbal-incense/ https://top-shelfdispensary.com/product/angry-birds-space-herbal-incense/ https://top-shelfdispensary.com/product/alcohol-potency-booster-spray-60-ml-for-sale/ https://top-shelfdispensary.com/product/7h-hydro-herbal-incense/ https://top-shelfdispensary.com/product/buy-100-natural-exotic-herbs-aroma-therapy/ https://top-shelfdispensary.com/product/buy-atomic-potpourri-herbal-incense/ https://top-shelfdispensary.com/product/black-insane-76g/ https://top-shelfdispensary.com/product/black-diamond-incense/ https://top-shelfdispensary.com/product/buy-alprazolam-powder/ https://top-shelfdispensary.com/product/buy-dmt-vape-pen/ https://top-shelfdispensary.com/product/geeked-up-herbal-incense-10g/ https://top-shelfdispensary.com/product/24k-monkey-classic-incense-10g/ https://top-shelfdispensary.com/product/blaze-premium-liquid-incense/ https://top-shelfdispensary.com/product/5f-akb-48-c-liquid/ https://top-shelfdispensary.com/product/ak-47-x10-premium-10g/ https://top-shelfdispensary.com/product/joker-herbal-incense-10g/ https://top-shelfdispensary.com/product/urge-1g-bath-salts/ https://top-shelfdispensary.com/product/uncrowned-1g-bath-salts/ https://top-shelfdispensary.com/product/sextacy-bath-salts-0-5g/ https://top-shelfdispensary.com/product/tomorrowland-1g-bath-salts/ https://top-shelfdispensary.com/product/sky-high-1g-bath-salts/ https://top-shelfdispensary.com/product/sextacy-ultimate-0-5g/ https://top-shelfdispensary.com/product/the-block-1g-bath-salts/ https://top-shelfdispensary.com/product/rave-or-die-1g-bath-salts/ https://top-shelfdispensary.com/product/rocky-mountain-high-bath-salts/ https://top-shelfdispensary.com/product/recharge-extra-1g/ https://top-shelfdispensary.com/product/new-charge-1g-bath-salts/ https://top-shelfdispensary.com/product/neon-vibes-1g-bath-salts/ https://top-shelfdispensary.com/product/pump-it-bath-salts/ https://top-shelfdispensary.com/product/ocean-burst-extreme-1g/ https://top-shelfdispensary.com/product/kick-1g-bath-salts/ https://top-shelfdispensary.com/product/ivory-wave-ultra-0-5g/ https://top-shelfdispensary.com/product/monkey-1g-bath-salts/ https://top-shelfdispensary.com/product/mind-charge-bath-salts/ https://top-shelfdispensary.com/product/eight-ballz-bath-salts/ https://top-shelfdispensary.com/product/crank-1g-bath-salts/ https://top-shelfdispensary.com/product/insomnia-1g-bath-salts/ https://top-shelfdispensary.com/product/highway-1g-bath-salts/ https://top-shelfdispensary.com/product/charlie-1g-bath-salts/ https://top-shelfdispensary.com/product/code-c-1g-bath-salts/ https://top-shelfdispensary.com/product/concentrated-candy-land-bath-salts/ https://top-shelfdispensary.com/product/concentrated-cloud-9-bath-salts/ https://top-shelfdispensary.com/product/charge-extreme-1g/ https://top-shelfdispensary.com/product/charge-1g-bath-salts/ https://top-shelfdispensary.com/product/c1-new-generation-bath-salt/ https://top-shelfdispensary.com/product/blue-stuff-bath-salts-1g/ https://top-shelfdispensary.com/product/bliss-bath-salts-1g/ https://top-shelfdispensary.com/product/caluanie-muelear-oxidize/ https://bestdermalfillerstr.com/product/buy-ozempic-pen/ https://bestdermalfillerstr.com/product/allergan-botox-1x100iu/ https://bestdermalfillerstr.com/product/allergan-botox-1x200iu/ https://bestdermalfillerstr.com/product/juvederm-ultra-smile-2x0-55ml/ https://bestdermalfillerstr.com/product/juvederm-ultra-4-2x1ml/ https://bestdermalfillerstr.com/product/juvederm-ultra-3-2x1ml/ https://bestdermalfillerstr.com/product/apriline-ageline-6x5ml/ https://bestdermalfillerstr.com/product/restylane-fynesse-1x1ml/ https://bestdermalfillerstr.com/product/restylane-lyft/ https://bestdermalfillerstr.com/product/restylane-lidocaine-1x1ml/ https://bestdermalfillerstr.com/product/restylane-lidocaine-1x0-5ml/ https://bestdermalfillerstr.com/product/restylane-kysse-with-lidocaine-1x1ml/ https://bestdermalfillerstr.com/product/restylane-skinboosters-vital-light-1x1ml-1x1ml/ https://bestdermalfillerstr.com/product/restylane-skinboosters-vital-1x1ml/ https://bestdermalfillerstr.com/product/restylane-refyne-with-lidocaine-1x1ml/ https://bestdermalfillerstr.com/product/restylane-lyft-with-lidocaine-1x1ml/ https://bestdermalfillerstr.com/product/alidya-anti-lipodystrophic-agents/ https://bestdermalfillerstr.com/product/revanesse-2x1ml/ https://bestdermalfillerstr.com/product/restylane-volyme-with-lidocaine-1x1ml/ https://bestdermalfillerstr.com/product/restylane-skinboosters-vital-with-lidocaine-1x1ml/ https://bestdermalfillerstr.com/product/restylane-skinboosters-vital-light-with-lidocaine-1x1ml/ https://bestdermalfillerstr.com/product/revolax-fine-lidocaine/ https://bestdermalfillerstr.com/product/revolax-deep-lidocaine/ https://bestdermalfillerstr.com/product/revanesse-kiss-2x1ml/ https://bestdermalfillerstr.com/product/revanesse-contour-2x1ml/ https://bestdermalfillerstr.com/product/stylage-hydro-max-1x1ml/ https://bestdermalfillerstr.com/product/stylage-hydro-1x1ml/ https://bestdermalfillerstr.com/product/apriline-hairline-6x5ml/ https://bestdermalfillerstr.com/product/apriline-skinline/ https://bestdermalfillerstr.com/product/aqualyx-10x8ml/ https://bestdermalfillerstr.com/product/aquashine-1x2ml/ https://bestdermalfillerstr.com/product/aquashine-br-1x2ml/ https://bestdermalfillerstr.com/product/aquashine-btx-1x2ml/ https://bestdermalfillerstr.com/product/azzalure-2-vials-125-iu/ https://bestdermalfillerstr.com/product/baxter-duplotip-5mm-x-32cm/ https://bestdermalfillerstr.com/product/bd-bd300865-plastipak-luer-lock-50ml-syringe-without-needle/ https://bestdermalfillerstr.com/product/bd-bd324826-microfine-insulin-syringe-0-3ml-30g-x-8mm-needle/ https://bestdermalfillerstr.com/product/belotero-balance-1x1ml/ https://bestdermalfillerstr.com/product/belotero-balance-with-lidocaine-1x1ml/ https://bestdermalfillerstr.com/product/belotero-soft-1-x-1ml/ https://bestdermalfillerstr.com/product/belotero-soft-with-lidocaine-1x1ml/ https://bestdermalfillerstr.com/product/belotero-volume-2x1ml/ https://bestdermalfillerstr.com/product/belotero-volume-with-lidocaine-2x1ml/ https://bestdermalfillerstr.com/product/biorehydra-30ml-200ml/ https://bestdermalfillerstr.com/product/biorepeelcl3-body-3-x-12-ml/ https://bestdermalfillerstr.com/product/biorepeelcl3-fnd-5-x-6ml/ https://bestdermalfillerstr.com/product/bocouture-1x100-units/ https://bestdermalfillerstr.com/product/bocouture-1x50-units/ https://bestdermalfillerstr.com/product/bocouture-2x100-units/ https://bestdermalfillerstr.com/product/botulax-100iu/ https://bestdermalfillerstr.com/product/botulax-200iu/ https://bestdermalfillerstr.com/product/botulax-50-iu/ https://bestdermalfillerstr.com/product/botulinum-toxin-type-a-product-meditoxin-neuronox/ https://bestdermalfillerstr.com/product/buy-allergan-botox-1x50iu/ https://bestdermalfillerstr.com/product/cambridge-skin-code-mesohair/ https://bestdermalfillerstr.com/product/cambridge-skin-code-mesolift/ https://bestdermalfillerstr.com/product/cambridge-skin-code-mesowhite/ https://bestdermalfillerstr.com/product/cytocare-502-10x5ml/ https://bestdermalfillerstr.com/product/cytocare-502-5x5ml/ https://bestdermalfillerstr.com/product/cytocare-516-10x5ml/ https://bestdermalfillerstr.com/product/cytocare-516-5x5ml/ https://bestdermalfillerstr.com/product/cytocare-532-10x5ml/ https://bestdermalfillerstr.com/product/cytocare-532-5x5ml/ https://bestdermalfillerstr.com/product/cytocare-s-line-1x3ml/ https://bestdermalfillerstr.com/product/dermafill-volume-ultra-2x1ml/ https://bestdermalfillerstr.com/product/dermalax-deep-plus-lidocaine-1-x-1-1ml/ https://bestdermalfillerstr.com/product/dermalax-implant-plus-lidocaine-2-x-1-1ml/ https://bestdermalfillerstr.com/product/dermalax-plus-lidocaine-1-x-1-1ml/ https://bestdermalfillerstr.com/product/dr-cyj-hair-filler/ https://bestdermalfillerstr.com/product/dysport-type-a-2x500-units/ https://bestdermalfillerstr.com/product/ellanse-m-hands-2x1ml/ https://bestdermalfillerstr.com/product/emervel-lips-1x1ml/ https://bestdermalfillerstr.com/product/emervel-volume-1x2ml/ https://bestdermalfillerstr.com/product/emla-cream-1x30g/ https://bestdermalfillerstr.com/product/filorga-art-filler-universal-with-lidocaine-2x1-2ml/ https://bestdermalfillerstr.com/product/filorga-nctf-135ha-alopecia-bundle-0-5mm/ https://bestdermalfillerstr.com/product/filorga-x-ha3-2x1ml/ https://bestdermalfillerstr.com/product/hyacorp-body-contouring-mlf2-10ml/ https://bestdermalfillerstr.com/product/hyacorp-lips-1x1ml/ https://bestdermalfillerstr.com/product/hyafilia-classic-1x1ml/ https://bestdermalfillerstr.com/product/hyaluronidase-ovine-strength-1500iu-per-vial/ https://bestdermalfillerstr.com/product/juvederm-hydrate-1x1ml/ https://bestdermalfillerstr.com/product/juvederm-ultra-2-2x0-55ml/ https://bestdermalfillerstr.com/product/juvederm-volift-with-lidocaine-2x1ml/ https://bestdermalfillerstr.com/product/juvederm-volift-retouch/ https://bestdermalfillerstr.com/product/juvederm-volbella-with-lidocaine-2x1ml/ https://bestdermalfillerstr.com/product/juvederm-ultra-xc/ https://bestdermalfillerstr.com/product/kairax-deep-1-x-1ml/ https://bestdermalfillerstr.com/product/juvederm-volux-2x1ml/ https://bestdermalfillerstr.com/product/juvederm-voluma-with-lidocaine/ https://bestdermalfillerstr.com/product/juvederm-volite-2x1ml/ https://bestdermalfillerstr.com/product/radiesse-1x3-0ml/ https://bestdermalfillerstr.com/product/radiesse-lidocaine-1x0-8ml/ https://bestdermalfillerstr.com/product/radiesse-lidocaine-1x1-5ml/ https://bestdermalfillerstr.com/product/restylane-defyne-with-lidocaine-1x1ml/ https://bestdermalfillerstr.com/product/sculptra-2-vials/ https://bestdermalfillerstr.com/product/revolax-sub-q-lidocaine/ https://bestdermalfillerstr.com/product/stylage-m-lidocaine-2x1ml/ https://bestdermalfillerstr.com/product/stylage-m-2x1ml/ https://bestdermalfillerstr.com/product/stylage-l-with-lidocaine-2x1ml/ https://bestdermalfillerstr.com/product/stylage-l-2x1ml/ https://bestdermalfillerstr.com/product/kairax-fine-1-x-1ml/ https://bestdermalfillerstr.com/product/kairax-subq-1-x-1ml/ https://bestdermalfillerstr.com/product/kybella-atx-101/ https://bestdermalfillerstr.com/product/lmx4-topical-anaesthetic-cream-4-30g/ https://bestdermalfillerstr.com/product/neurobloc-botulinum-toxin-type-b-5000-u/ https://bestdermalfillerstr.com/product/neurobloc-botulinum-toxin-type-b-10000-u/ https://bestdermalfillerstr.com/product/neuramis-lidocaine-1x1ml-1x1ml/ https://bestdermalfillerstr.com/product/neuramis-deep-lidocaine-1x1ml/ https://bestdermalfillerstr.com/product/princess-volume-lidocaine-1x1ml/ https://bestdermalfillerstr.com/product/princess-rich-1x1ml/ https://bestdermalfillerstr.com/product/princess-filler-lidocaine-1x1ml/ https://bestdermalfillerstr.com/product/princess-face-mask-rejuvenating-8-masks/ https://bestdermalfillerstr.com/product/profhilo-h-l/ https://bestdermalfillerstr.com/product/radiesse-1x0-8ml/ https://bestdermalfillerstr.com/product/radiesse-1x1-5ml/ https://bestdermalfillerstr.com/product/stylage-special-lips-1x1ml/ https://bestdermalfillerstr.com/product/stylage-serum-regenerant-cellulaire-1x30ml/ https://bestdermalfillerstr.com/product/stylage-s-with-lidocaine-2x0-8ml/ https://bestdermalfillerstr.com/product/stylage-s-2x0-8ml/ https://bestdermalfillerstr.com/product/stylage-xxl-2x1ml/ https://bestdermalfillerstr.com/product/stylage-xl-with-lidocaine-2x1ml/ https://bestdermalfillerstr.com/product/stylage-xl-2x1ml/ https://bestdermalfillerstr.com/product/stylage-special-lips-lidocaine-1x1ml-2/ https://bestdermalfillerstr.com/product/teosyal-27g-deep-lines-2x1ml/ https://bestdermalfillerstr.com/product/surgiderm-30-xp-2x0-8ml/ https://bestdermalfillerstr.com/product/sunekos-200-2x3ml-2x3ml-vials/ https://bestdermalfillerstr.com/product/sunekos-1200-2x1-5ml-vials/ https://bestdermalfillerstr.com/product/teosyal-30g-touch-up/ https://bestdermalfillerstr.com/product/teosyal-30g-global-action-puresense-2x1ml-2x1ml-2/ https://bestdermalfillerstr.com/product/teosyal-27g-kiss-puresense-2x1ml-2x1ml/ https://bestdermalfillerstr.com/product/teosyal-27g-deep-lines-puresense-2x1ml/ https://bestdermalfillerstr.com/product/teosyal-redensity-i-puresense-2x1ml/ https://bestdermalfillerstr.com/product/teosyal-redensity-i-puresense-1x3ml/ https://bestdermalfillerstr.com/product/teosyal-meso-2x1ml-2x1ml/ https://bestdermalfillerstr.com/product/teosyal-kiss-2x1ml/ https://bestdermalfillerstr.com/product/teosyal-rha-3/ https://bestdermalfillerstr.com/product/teosyal-rha-2-2x1ml/ https://bestdermalfillerstr.com/product/teosyal-rha-1/ https://bestdermalfillerstr.com/product/teosyal-redensity-ii-puresense-2x1ml/ https://bestdermalfillerstr.com/product/tsk-closed-single-hole-cannula-30g-x-25mm-1-prc-30025icsh/ https://bestdermalfillerstr.com/product/teosyal-ultra-deep-puresense-2x1-2ml-2/ https://bestdermalfillerstr.com/product/teosyal-ultimate-1x3m/ https://bestdermalfillerstr.com/product/teosyal-rha-4-2x1-2ml/
Scooped by nrip
February 23, 2024 12:09 AM
Scoop.it!

Digital Transformation of Public Health for Noncommunicable Diseases (NCDs)

Digital Transformation of Public Health for Noncommunicable Diseases (NCDs) | healthcare technology | Scoop.it

The recent SARS-CoV-2 pandemic underscored the effectiveness and rapid deployment of digital public health interventions, notably the digital proximity tracing apps, leveraging Bluetooth capabilities to trace and notify users about potential infection exposures.

 

Digital proximity tracings showcased the promise of digital public health.

 

As the world pivots from pandemic responses, it becomes imperative to address noncommunicable diseases (NCDs) that account for a vast majority of health care expenses and premature disability-adjusted life years lost.

 

The narrative of digital transformation in the realm of NCD public health is distinct from infectious diseases.

 

The power of artificial intelligence (AI) in this digital transformation is noteworthy.

 

  • AI can automate repetitive tasks, facilitating health care providers to prioritize personal interactions, especially those that cannot be digitalized like emotional support.
  • Moreover, AI presents tools for individuals to be proactive in their health management. However, the human touch remains irreplaceable;
  • AI serves as a companion guiding through the health care landscape.

 

Digital evolution, while revolutionary, poses its own set of challenges.

 

Issues of equity and access are at the forefront. Vulnerable populations, whether due to economic constraints, geographical barriers, or digital illiteracy, face the threat of being marginalized further.

 

This transformation mandates an inclusive strategy, focusing on not amplifying existing health disparities but eliminating them.

 

Population-level digital interventions in NCD prevention demand societal agreement.

 

Policies, like smoking bans or sugar taxes, though effective, might affect those not directly benefiting. Hence, all involved parties, from policy makers to the public, should have a balanced perspective on the advantages, risks, and expenses of these digital shifts.

 

For a successful digital shift in public health, especially concerning NCDs, AI’s potential to enhance efficiency, effectiveness, user experience, and equity—the “quadruple aim”—is undeniable.

 

However, it is vital that AI-driven initiatives in public health domains remain purposeful, offering improvements without compromising other objectives.

 

The broader success of digital public health hinges on transparent benchmarks and criteria, ensuring maximum benefits without sidelining minorities or vulnerable groups.

 

Especially in population-centric decisions, like resource allocation, AI’s ability to avoid bias is paramount.

 

Therefore, the continuous involvement of stakeholders, including patients and minority groups, remains pivotal in the progression of AI-integrated digital public health.

 

read the original paper at https://publichealth.jmir.org/2024/1/e49575/

 

No comment yet.
Scooped by nrip
January 8, 2024 11:42 PM
Scoop.it!

Evolution is not as random as previously thought, finds new study

Evolution is not as random as previously thought, finds new study | healthcare technology | Scoop.it

A new study has found that the evolutionary trajectory of a genome may be influenced by its evolutionary history, rather than determined by numerous factors and historical accidents

 

This could allow scientists to explore which genes could be useful to tackle real-world issues such as antibiotic resistance, disease, and climate change.

 

We can use this approach to synthesize new kinds of genetic constructs that could be used to develop new drugs or vaccines.

 

The implications of the research are far-reaching and could lead to:

  • Novel Genome Design—allowing scientists to design synthetic genomes and providing a roadmap for the predictable manipulation of genetic material.
  • Combating Antibiotic Resistance—Understanding the dependencies between genes can help identify the 'supporting cast' of genes that make antibiotic resistance possible, paving the way for targeted treatments.
  • Climate Change Mitigation—Insights from the study could inform the design of microorganisms engineered to capture carbon or degrade pollutants, thereby contributing to efforts to combat climate change.
  • Medical Applications—The predictability of gene interactions could revolutionize personalized medicine by providing new metrics for disease risk and treatment efficacy

 

more at the original source  https://phys.org/news/2024-01-evolution-random-previously-thought.html

 

No comment yet.
Scooped by nrip
July 27, 2021 3:40 PM
Scoop.it!

Using participatory action research principles to guide a mHealth app-based intervention to improve oncology care

Using participatory action research principles to guide a mHealth app-based intervention to improve oncology care | healthcare technology | Scoop.it

Women with hormone receptor-positive, early-stage breast cancer who adhere to adjuvant endocrine therapy (AET) reduce the risk of cancer recurrence and mortality.

 

AET, however, is associated with adverse symptoms that often result in poor adherence. We applied participatory action research (PAR) principles to conduct focus groups and interviews to refine and enhance a web-enabled app intervention that facilitates patient-provider communication about AET-related symptoms and other barriers to adherence.

 

 

THRIVE app content reflects researchers’ partnership with a racially diverse sample of breast cancer survivors and healthcare providers and adherence to participatory design by incorporating patient-requested app features, app aesthetics, and message content.

 

The app has the potential to improve AET adherence and quality of life among breast cancer survivors and reduce disparities in mortality rates for Black women by facilitating communication with healthcare providers.

 

read more at https://www.docwirenews.com/abstracts/journal-abstracts/thrive-intervention-development-using-participatory-action-research-principles-to-guide-a-mhealth-app-based-intervention-to-improve-oncology-care-2/

 

Candra Satriya's curator insight, October 7, 2021 9:30 PM
prinsip-prinsip pada participatory action research
Rescooped by nrip from Infectious Diseases
July 25, 2021 10:31 AM
Scoop.it!

Applications of virtual and augmented reality in infectious disease epidemics with a focus on the COVID-19 outbreak

Applications of virtual and augmented reality in infectious disease epidemics with a focus on the COVID-19 outbreak | healthcare technology | Scoop.it

The pandemics of major infectious diseases often cause public health, economic, and social problems. Virtual reality (VR) and augmented reality (AR), as two novel technologies, have been used in many fields for emergency management of disasters. The objective of this paper was to review VR and AR applications in the emergency management of infectious outbreaks with an emphasis on the COVID-19 outbreak.

 

It appears that VR and AR technologies can play a positive role during infectious disease outbreaks.

 

VR and AR have been widely used in the prevention and response phases of emergency management during infectious disease pandemics, such as SARS and Ebola pandemics, especially for educating and training purposes for the public.

 

During the COVID-19 outbreak, these technologies have the potential to be used in various fields, including

 

1) clinical context (e.g., telehealth, drug discovery, patient assessment, mental health management),

2) entertainment (e.g., video call, meditation, gaming),

3) business and industry (e.g., holding meetings and conferences, marketing), and

4) education (e.g., in schools and universities, for healthcare providers, and VR-based content for improving public health).

 

These technologies can be used in the above-mentioned fields by providing their different features for facilitating the challenges of COVID-19.

 

However, to respond to COVID-19, all applications of VR and AR should be considered as a supportive approach alongside other information technologies.

 

We believe that VR and AR have a substantial potential to impact the emergency management of COVID-19 or any infectious disease pandemics; however, these potentials need to be studied in a more robust manner.

 

read the paper ta https://www.sciencedirect.com/science/article/pii/S2352914821000691

 

 

 

No comment yet.