Science & Transhumanisme
29.0K views | +4 today
Follow
 
Scooped by Alliance VITA
onto Science & Transhumanisme
November 26, 2018 2:49 AM
Scoop.it!

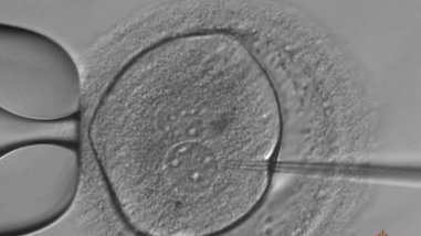
EXCLUSIVE: Chinese scientists are creating CRISPR babies

EXCLUSIVE: Chinese scientists are creating CRISPR babies | Science & Transhumanisme | Scoop.it
A daring effort is under way to create the first children whose DNA has been tailored using gene editing.
No comment yet.
Science & Transhumanisme
La “transhumanie” vise un nouvel homme, le Cyborg (organisme cybernétique) domptant les trois limites de notre nature : le corps (sexué), le temps et la mort.
Curated by Alliance VITA
Your new post is loading...
Your new post is loading...
Scooped by Alliance VITA
December 15, 4:03 AM
Scoop.it!

Cinq conseils pour reconnaître une vidéo générée par IA sur les réseaux sociaux

Cinq conseils pour reconnaître une vidéo générée par IA sur les réseaux sociaux | Science & Transhumanisme | Scoop.it
Le nombre de vidéos générées par intelligence artificielle explose en ligne, alimenté par des technologies de plus en plus performantes et des outils grand public, comme Veo, Sora ou Grok. Les conseils du « Monde » pour y voir plus clair.
No comment yet.
Scooped by Alliance VITA
December 12, 5:03 AM
Scoop.it!

Disney et OpenAI signent un accord majeur sur l’IA : Mickey Mouse, Luke Skywalker et Iron Man bientôt disponibles sur Sora et ChatGPT

Disney et OpenAI signent un accord majeur sur l’IA : Mickey Mouse, Luke Skywalker et Iron Man bientôt disponibles sur Sora et ChatGPT | Science & Transhumanisme | Scoop.it
Les utilisateurs de ces outils de génération d’images et de vidéos par IA pourront intégrer des éléments issus de films Disney, Marvel, Pixar et Star Wars.
No comment yet.
Scooped by Alliance VITA
December 10, 4:26 AM
Scoop.it!

Comment le cerveau assemble ses «briques cognitives» pour apprendre plus vite

Comment le cerveau assemble ses «briques cognitives» pour apprendre plus vite | Science & Transhumanisme | Scoop.it
Une étude de Princeton révèle que nous réutilisons des modules mentaux pour créer de nouvelles tâches cognitives. Une flexibilité que l’IA peine encore à reproduire.
No comment yet.
Scooped by Alliance VITA
December 10, 4:14 AM
Scoop.it!

L’évaluation des articles scientifiques bouleversée par l’IA

L’évaluation des articles scientifiques bouleversée par l’IA | Science & Transhumanisme | Scoop.it
Des éditeurs de revues scientifiques testent des plateformes d’intelligence artificielle pour analyser leurs avantages et inconvénients lors de l’examen d’un article soumis à un journal.
No comment yet.
Scooped by Alliance VITA
December 3, 4:55 AM
Scoop.it!

Intelligence artificielle : halte au pillage

Intelligence artificielle : halte au pillage | Science & Transhumanisme | Scoop.it
La France pourrait bientôt légiférer pour mieux protéger le droit d’auteur face à la gloutonnerie de l’intelligence artificielle (IA). Dans sa chronique ÉTHIQUE ET TECH, Mélinée Le Priol rappelle que les données sont le nouvel or de ce siècle, et que leur extraction ne peut se faire sans contrepartie.
No comment yet.
Scooped by Alliance VITA
November 24, 4:04 AM
Scoop.it!

Immortalité, rêve de toute-puissance : la « Big Tech » a-t-elle une spiritualité cachée ?

Immortalité, rêve de toute-puissance : la « Big Tech » a-t-elle une spiritualité cachée ? | Science & Transhumanisme | Scoop.it
Les progrès techniques nourrissent la tentation de s’élever à un niveau divin. À l’occasion des Entretiens de Valpré qui ont lieu les 21 et 22 novembre sur l’intelligence artificielle, La Croix s’est penchée sur l’univers religieux et spirituel, souvent méconnu, des géants de la tech.
No comment yet.
Scooped by Alliance VITA
November 21, 5:17 AM
Scoop.it!

Sébastien Bubeck (OpenAI) : « Nous avons maintenant des IA qui agissent comme un chercheur débutant »

Sébastien Bubeck (OpenAI) : « Nous avons maintenant des IA qui agissent comme un chercheur débutant » | Science & Transhumanisme | Scoop.it
Le chercheur français participe dans la start-up américaine aux applications de l’intelligence artificielle dans la science et se dit optimiste sur les progrès du secteur en général.
No comment yet.
Scooped by Alliance VITA
November 20, 4:12 AM
Scoop.it!

IA et santé : l'Europe doit renforcer ses garde-fous juridiques, dit l'OMS

IA et santé : l'Europe doit renforcer ses garde-fous juridiques, dit l'OMS | Science & Transhumanisme | Scoop.it
Aide au diagnostic et robots conversationnels sont les outils les plus utilisés, mais seuls une minorité de pays ont adopté une stratégie nationale.
No comment yet.
Scooped by Alliance VITA
November 19, 4:23 AM
Scoop.it!

Numérique : la France et l’Allemagne veulent alléger les règles européennes

Numérique : la France et l’Allemagne veulent alléger les règles européennes | Science & Transhumanisme | Scoop.it
Friedrich Merz et Emmanuel Macron participent, mardi 18 novembre à Berlin, à un sommet sur la souveraineté technologique en Europe. Le couple franco-allemand y défendra une stratégie de « simplification » réglementaire. Le texte sur l’intelligence artificielle (AI Act) pourrait être reporté d’un an, et le RGPD allégé.
No comment yet.
Scooped by Alliance VITA
November 14, 5:15 AM
Scoop.it!

« L’IA est souvent conçue pour des objectifs éloignés des besoins des personnes les plus vulnérables »

« L’IA est souvent conçue pour des objectifs éloignés des besoins des personnes les plus vulnérables » | Science & Transhumanisme | Scoop.it
TRIBUNE. Dans une tribune au « Monde », la chercheuse Marine Ragnet pose la question de la gouvernance de l’intelligence artificielle et de ses usages. Ce sujet, souligne-t-elle, n’est « pas seulement une question d’éthique, c’est aussi une question de pouvoir ».
No comment yet.
Scooped by Alliance VITA
November 13, 4:48 AM
Scoop.it!

«De plus en plus d’individus se lassent des algorithmes qui nous enferment dans des boucles fermées»

«De plus en plus d’individus se lassent des algorithmes qui nous enferment dans des boucles fermées» | Science & Transhumanisme | Scoop.it
ENTRETIEN - Dans son nouveau livre Cracker l’algorithme, Laurent François, spécialiste des réseaux sociaux, explique nombre d’individus ont atteint un point de saturation face aux écrans et aux algorithmes et cherchent des alternatives pour qu’ils cessent de nous imposer un monde sur mesure.
No comment yet.
Scooped by Alliance VITA
November 12, 5:13 AM
Scoop.it!

Neurotechnologies : les garde-fous de l’Unesco contre les dispositifs qui s’immiscent dans notre cerveau

Neurotechnologies : les garde-fous de l’Unesco contre les dispositifs qui s’immiscent dans notre cerveau | Science & Transhumanisme | Scoop.it
Réunie à Samarcande (Ouzbékistan), l’Assemblée plénière de l’Unesco doit promulguer mercredi 12 novembre une « recommandation » qui fixe le premier cadre mondial de régulation des neurotechnologies consacrant « l’inviolabilité de l’esprit humain ».
No comment yet.
Scooped by Alliance VITA
November 10, 4:15 AM
Scoop.it!

Wikipédia : vilipendée par les conservateurs, ébranlée par l’IA, l’encyclopédie sous pression

Wikipédia : vilipendée par les conservateurs, ébranlée par l’IA, l’encyclopédie sous pression | Science & Transhumanisme | Scoop.it
A bientôt 25 ans, l’encyclopédie est confrontée à plusieurs difficultés : accusations de biais « wokistes », contributeurs menacés, contenus générés par IA, baisse de fréquentation… Face à ces problèmes, Wikipédia tient bon. Jusqu’à quand ?
No comment yet.
Scooped by Alliance VITA
December 15, 4:02 AM
Scoop.it!

Le chercheur Nate Soares, « doomer » de l’IA à Berkeley, prévoit la fin de l’humanité : « C’est de la folie de les laisser essayer »

Le chercheur Nate Soares, « doomer » de l’IA à Berkeley, prévoit la fin de l’humanité : « C’est de la folie de les laisser essayer » | Science & Transhumanisme | Scoop.it
Passé par Microsoft et Google, aujourd’hui à la tête d’un laboratoire consacré à la recherche sur l’intelligence des machines, le chercheur prévient : l’homme ne contrôle pas complètement le développement de la superintelligence sur le point d’émerger. Au risque que celle-ci cherche à le détruire.
No comment yet.
Scooped by Alliance VITA
December 12, 5:02 AM
Scoop.it!

La riposte d’OpenAI à Google avec la sortie d’un nouveau modèle d’IA, symbole de la rivalité croissante des deux géants

La riposte d’OpenAI à Google avec la sortie d’un nouveau modèle d’IA, symbole de la rivalité croissante des deux géants | Science & Transhumanisme | Scoop.it
Avec son dernier modèle d’intelligence artificielle générative, la maison mère de ChatGPT couvre désormais de nombreux services de tech, comme le leader de la recherche.
No comment yet.
Scooped by Alliance VITA
December 10, 4:16 AM
Scoop.it!

Google visé par une enquête de la Commission européenne sur l’utilisation de données pour l’IA

Google visé par une enquête de la Commission européenne sur l’utilisation de données pour l’IA | Science & Transhumanisme | Scoop.it
L’intelligence artificielle « apporte des innovations remarquables et de nombreux avantages aux citoyens et aux entreprises partout en Europe, mais ce progrès ne saurait se faire au détriment des principes fondamentaux de nos sociétés », selon la vice-présidente de la Commission européenne chargée de la concurrence, Teresa Ribera.
No comment yet.
Scooped by Alliance VITA
December 4, 6:36 AM
Scoop.it!

« Mon petit-fils n’a jamais connu son papa. Pourriez-vous faire un miracle ? » : sur Facebook, ces groupes qui « ressuscitent » les morts grâce à l’IA

« Mon petit-fils n’a jamais connu son papa. Pourriez-vous faire un miracle ? » : sur Facebook, ces groupes qui « ressuscitent » les morts grâce à l’IA | Science & Transhumanisme | Scoop.it
Dans des communautés consacrées à la retouche d’images par intelligence artificielle, des milliers d’internautes demandent à animer des images de proches disparus. Une démarche loin d’être anodine dans le cadre d’un processus de deuil.
No comment yet.
Scooped by Alliance VITA
November 28, 4:12 AM
Scoop.it!

ChatGPT a trois ans : « Le compte à rebours avant que nous ne soyons plus que des coquilles vides a commencé »

ChatGPT a trois ans : « Le compte à rebours avant que nous ne soyons plus que des coquilles vides a commencé » | Science & Transhumanisme | Scoop.it
TRIBUNE - Le lancement de ChatGPT par OpenAI le 30 novembre 2022 a créé un séisme, dont nous commençons tout juste à mesurer les conséquences, estime le philosophe Éric Sadin. Selon lui, en déléguant nos facultés intellectuelles aux intelligences artificielles, nous avons mis le doigt dans un engrenage infernal.
No comment yet.
Scooped by Alliance VITA
November 24, 4:02 AM
Scoop.it!

« Avec l’essor de l’IA, nous ne serons bientôt plus capables de distinguer le vrai du faux »

« Avec l’essor de l’IA, nous ne serons bientôt plus capables de distinguer le vrai du faux » | Science & Transhumanisme | Scoop.it
L’IA va-t-elle finir par penser à notre place ? Au cœur des Entretiens de Valpré 2025 (1), la question interroge Catherine Marshall et Damien Larrouqué qui s’inquiètent du devenir de la recherche en sciences sociales. Celle-ci requiert réflexion, confrontation et remise en question pour éclairer au mieux les citoyens.
No comment yet.
Scooped by Alliance VITA
November 21, 4:54 AM
Scoop.it!

Intelligence artificielle : le RGPD est-il menacé ?

Intelligence artificielle : le RGPD est-il menacé ? | Science & Transhumanisme | Scoop.it
Au nom de la nécessité pour l’Europe de rester dans la course à l’intelligence artificielle (IA), Bruxelles a proposé, mercredi 19 novembre, d’alléger le règlement général sur la protection des données (RGPD). Les associations y voient le « plus grand recul des droits fondamentaux numériques dans l’histoire de l’UE ».
No comment yet.
Scooped by Alliance VITA
November 19, 4:33 AM
Scoop.it!

Les « hallucinations », ces erreurs de l’IA qui rendent la machine trop humaine

Les « hallucinations », ces erreurs de l’IA qui rendent la machine trop humaine | Science & Transhumanisme | Scoop.it
Halluciner, percevoir ou sentir quelque chose qui n’existe pas, est souvent le signe d’un trouble psychologique. C’est pourtant ainsi que les firmes de la tech ont choisi de désigner les affirmations erronées produites par les intelligences artificielles. Une manière d’anthropomorphiser la machine jusque dans ses manquements.
No comment yet.
Scooped by Alliance VITA
November 19, 4:20 AM
Scoop.it!

Irénée Régnauld, sociologue : « L’intelligence artificielle est une question politique »

Irénée Régnauld, sociologue : « L’intelligence artificielle est une question politique » | Science & Transhumanisme | Scoop.it
Voix technocritique de premier plan en France, Irénée Régnauld a cofondé « Le Mouton numérique », collectif qui milite pour que les citoyens pèsent davantage dans le déploiement des nouvelles technologies. Son travail sur l’intelligence artificielle oriente le regard vers l’enjeu démocratique : peut-on laisser l’IA redistribuer les rôles sociaux sans chercher, nous, citoyens, à nous interposer ?
No comment yet.
Scooped by Alliance VITA
November 14, 5:12 AM
Scoop.it!

Blaise Agüera y Arcas, le chercheur de Google qui s’interroge sur l’intelligence des machines

Blaise Agüera y Arcas, le chercheur de Google qui s’interroge sur l’intelligence des machines | Science & Transhumanisme | Scoop.it
Le chercheur et vice-président du géant américain de la tech publie un ouvrage dans lequel il soulève la question qui agite la Silicon Valley : la conscience est-elle le propre de l’homme ou une simple fonction que l’intelligence artificielle finira par reproduire ?
No comment yet.
Scooped by Alliance VITA
November 12, 5:15 AM
Scoop.it!

« L’âge du faux, obscurantiste et viral, est arrivé et Grokipedia en est le vecteur parasitaire »

« L’âge du faux, obscurantiste et viral, est arrivé et Grokipedia en est le vecteur parasitaire » | Science & Transhumanisme | Scoop.it
Elon Musk a annoncé, le 28 octobre, le lancement de Grokipedia, un site présenté comme le concurrent de l’encyclopédie en ligne Wikipédia. Pour Clément Salviani, contributeur Wikipédia depuis plus de quinze ans, ce « parasite numérique » pourrait sérieusement menacer notre écosystème informationnel.
No comment yet.
Scooped by Alliance VITA
November 12, 5:09 AM
Scoop.it!

Quand l’IA apprend à diagnostiquer en dialoguant comme un médecin

Quand l’IA apprend à diagnostiquer en dialoguant comme un médecin | Science & Transhumanisme | Scoop.it
Dans ce second volet de son blog « Réalités biomédicales » consacré à l’IA , Marc Gozlan évoque des études montrant qu’elle peut désormais converser, interroger et affiner son raisonnement diagnostique, à la manière d’un clinicien face à son patient.
No comment yet.