 Your new post is loading...
 Your new post is loading...
|
Scooped by
Gilbert C FAURE
March 8, 2024 7:09 AM
|
New research has identified apolipoprotein E expressed by fibroblasts and macrophages in the infrapatellar fat pad and synovium as a pathogenetic mediator and potential therapeutic target in knee osteoarthritis.
|
Scooped by
Gilbert C FAURE
February 25, 2024 1:07 PM
|
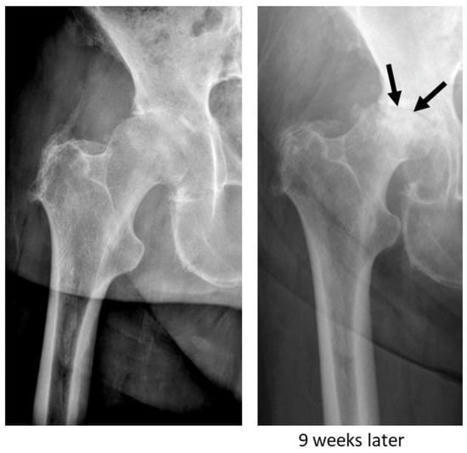
Background: Rapidly destructive osteoarthritis (RDO) of the hip joint is characterised by the rapid destruction of the femoral head with or without acetabular involvement. There has been increasing interest in this disease over the past years; however, the entity is still poorly understood, and...
|
Scooped by
Gilbert C FAURE
February 19, 2024 6:54 AM
|
AbstractObjectives. To characterize joint involvement (JI) in sarcoidosis, a systematic search of MEDLINE, EMBASE and Cochrane Library was conducted from incept
|
Scooped by
Gilbert C FAURE
February 16, 2024 4:47 AM
|
Proud to share the results from our Nature Medicine paper that was recently published: Ground breaking results for patients with erosive hand osteoarthritis:…
|
Scooped by
Gilbert C FAURE
February 13, 2024 11:12 AM
|
IntroductionCrystal-induced arthropathies (CiAs) are common conditions caused by the deposition of crystals within articular and periarticular tissues.1 2 The three types of crystals that are mainly involved in the pathogenesis of these diseases are monosodium urate (MSU) in gout, calcium...
|
Scooped by
Gilbert C FAURE
January 24, 2024 6:04 AM
|
Rheumatoid arthritis (RA) is a chronic, systemic autoimmune condition marked by inflammation of the joints, degradation of the articular cartilage, and bone resorption. Recent studies found the absolute and relative decreases in circulating regulatory T cells (Tregs) in RA patients. Tregs are a unique type of cells exhibiting immunosuppressive functions, known for expressing the Foxp3 gene. They are instrumental in maintaining immunological tolerance and preventing autoimmunity. Increasing the absolute number and/or enhancing the function of Tregs are effective strategies for treating RA. This article reviews the studies on the mechanisms and targeted therapies related to Tregs in RA, with a view to provide better ideas for the treatment of RA.
|
Scooped by
Gilbert C FAURE
January 15, 2024 10:03 AM
|
In the burgeoning domain of orthopedic therapeutic research, Platelet-Rich Plasma (PRP) has firmly established its position, transforming paradigms ranging from tissue regeneration to the management of chondral lesions.
|
Scooped by
Gilbert C FAURE
December 20, 2023 8:37 AM
|
WHAT IS ALREADY KNOWN ON THIS TOPICMonoclonal therapy for one inflammatory disease may paradoxically trigger another inflammatory disease.Recent case reports have implicated an association between anti-IL-5 (IL, interleukin) antibody therapy used to treat severe asthma and the development of rheumatoid arthritis (RA).WHAT THIS STUDY ADDSOut of 142 patients within our asthma service taking anti-IL-5 antibody therapy for at least 1 month, and with a mean duration of 3.5 years on therapy, only one developed RA suggesting that RA is a relatively uncommon complication in the short-medium term.HOW THIS STUDY MIGHT AFFECT RESEARCH, PRACTICE OR POLICYTreating clinicians should be mindful of the possibility of developing inflammatory arthritis following the initiation of anti-IL-5 therapy and ensure appropriate review and assessment should their patient develop arthralgia as, while uncommon, these could represent a significant source of morbidity.IntroductionThere has been a wide adoption of monoclonal antibody therapy in rheumatology, respiratory medicine, and an increasing number of specialties for the treatment of many inflammatory diseases. Of particular interest is that monoclonal therapy for one inflammatory disease may paradoxically trigger another inflammatory disease. Pertinent examples include tumour necrosis factor inhibitor therapy triggering multiple sclerosis,1 interleukin 17 (IL-17) therapy for psoriasis linked to inflammatory bowel disease2 and more recently IL-4/13 blockade used for atopic dermatitis being associated with de novo psoriasis and arthritis.3 4Arthralgias are a known adverse effect of anti-IL-5 biologics,5 6 however, a few recent case reports have found this association may extend to inflammatory arthritis such as RA.7 8 The prevalence of these findings across a wider cohort of patients remains relatively unknown. Here we present an audit from a large, single-centre’s severe asthma service which looks for the prevalence of RA across all patients being treated with mepolizumab and benralizumab, two commonly used anti-IL-5 therapies.MethodsAll patients with severe eosinophilic asthma across the Leeds Teaching Hospitals NHS Trust’s (LTHT) Respiratory Service, who had received at least 1 month of mepolizumab or benralizumab therapy, were included in this clinical audit.Each patient’s electronic records, including hospital records, clinic letters, general practitioner (GP) records and electronic pathology results were searched. We recorded whether patients had presented with any signs or symptoms of synovitis (eg, joint pain, swelling and tenderness) either prior- or post-commencing biologics, whether their serology (rheumatoid factor (RF) and/or anti-CCP antibody (ACPA)) and acute phase reactants (C- Reactive Protein (CRP) and/or Erythrocyte Sedimentation Rate (ESR)) had been measured and the timing and duration of their symptoms. Using this information, we then calculated the number of points each patient with symptoms would score on the ACR/EULAR 2010 Rheumatoid Arthritis classification criteria.9 We also recorded the dose of routine steroids the patients were receiving prior to starting biologics, and whether they were weaned off steroids within 1 year of commencing biologics. Finally, we recorded whether the patients had been seen in our early arthritis clinic and received a formal diagnosis on an inflammatory arthritis.ResultsA total of 142 patients (57 males, 85 females and mean age 58.2 years old) were being treated with anti-IL-5 biologics under the LTHT’s severe asthma clinic, with a mean duration of 3.5 years on therapy. Eighty-nine were on mepolizumab and 53 on benralizumab. The mean daily dose of steroids prior to starting anti-IL-5 therapy was 6.0 mg prednisolone, reducing to 3.1 mg at 1 year post-therapy. Seventy-five patients were steroid-free after 1 year of therapy.Only one patient among 500 patient years of exposure to anti-IL-5 therapy received a formal diagnosis of RA suggesting an overall annual incidence of 20 cases per 10 000 patients (95% CI 2.8 to 142). This man in his 70s presented to our early arthritis clinic 18 months after having been started on mepolizumab for his severe eosinophilic asthma. Prior to starting biologics, his asthma had been poorly controlled with salbutamol, budesonide/formoterol combination inhaler, tiotropium inhalers and daily low-dose oral corticosteroids. Within weeks, he developed symmetrical arthralgia involving small joints, particularly his wrists and knuckles, as well as significant early morning stiffness lasting more than 1 hour. On examination, he had clinical synovitis in the wrists and metacarpophalangeal joints bilaterally, as well as right shoulder capsulitis with limiting range of motion.Blood tests revealed a raised CRP of 24 mg/L, White Cell Count (WCC) 8.77 10 × 9 /L, RF of 263.2 iu/mL (normal<14.0) and an ACPA of >300 U/mL (normal<2.99). Ultrasound imaging of the hands and wrists showed bilateral grade II grey scale with grade II power Doppler (figure 1) with bilateral wrist erosions. There was hypoechogenicity of the left extensor carpi ulnaris tendon with some associated grey scale and power Doppler. MRI of the left hand revealed extensive subchondral bone marrow oedema (figure 1) and multiple erosions across all carpal bones and carpometacarpal joints (figure 1).<img width="342" alt="Figure 1" height="440" class="highwire-fragment fragment-image" src="https://rmdopen.bmj.com/content/rmdopen/9/4/e003583/F1.medium.gif">Download figure Open in new tab Download powerpoint Figure 1 (A) Fat suppression MRI of the left wrist and MCPs showing extensive bone oedema (white arrows) and joint effusion (black asterisk). (B) T1-weighted MRI of the left wrist showing diffuse erosions of the left wrist (white arrows). (C) Longitudinal ultrasound image showing synovitis of the right wrist with grey scale (white asterisk) and power Doppler (white arrow).He was diagnosed with RA as per the American College of Rheumatology (ACR)/EULAR classification criteria and started on prednisolone 10 mg daily to control the inflammation, followed by sulfasalazine 1 month later as the disease modifying agent. He was followed-up in rheumatology clinic 2 months later and showed significant improvements: the joint pain and swelling had settled, and while he still experienced early morning stiffness, this was less debilitating. His inflammatory markers had also resolved with CRP<5.0 mg/L and WCC 9.31 10 × 9 /L.Of the remaining 141 patients, 16 developed bilateral polyarthralgia of greater than 1 month duration (eight mepolizumab and eight benralizumab), with a median onset of 12 months after commencing a biological therapy. Of these patients 9/16 were tested for RF and ACPA and in all cases, their serology was negative; 15/16 patients had acute phase inflammatory markers measured and these were only elevated in three patients. All 16 of these patients were on a maintenance dose of prednisolone prior to starting the biologic (mean dose 10.1 mg/day), with 10 of them completely weaned off steroids within 12 months.Using the information available from the patient’s electronic records, the mean number of points scored on the ACR/EULAR RA criteria was 3.2 (range 1–6). The patient who scored six points was reviewed in the early arthritis clinic and the symptoms were felt to be more in keeping with osteoarthritis than an inflammatory arthritis. Similarly, none of the other patients had received a confirmed diagnosis of inflammatory arthritis by either their GP or by a rheumatologist.Only one other patient became newly RF positive (17.1 iu/mL), 1 month after commencing mepolizumab; however, this seemed to be an incidental finding as the patient had a broad set of bloods taken while admitted to the intensive care unit for a severe exacerbation of asthma, and at no point since has complained of rheumatological symptoms.We were unable to access the GP records for 37 patients and as such could not review whether they had presented to their GPs with new rheumatological symptoms. However, we were able to access their pathology test records electronically and found no evidence of positive RA serology in any of these patients and no rheumatological referrals to our centre that has a well-developed early RA network.DiscussionThere is an emerging interest in IL-5 blockade and the potential development of RA. We present a single-centre’s experience of 500 patient years on anti-IL-5 monoclonal antibody exposure therapy for severe asthma.As expected, arthralgias were a relatively common side-effect of anti-IL-5 therapy. As for progression to RA, we found only one convincing case. While relatively low, the implied annual incidence of 20 cases per 10 000 patients is several fold higher than the annual incidence of RA in the UK (1.5 per 10 000 men and 3.6 per 10 000 women).10 Given the wide CIs, however, no firm conclusions can be offered in relationship to our single case and to the relative risk of RA following anti-IL-5 therapy.A major confounding variable is the weaning of steroids in most patients started on biologics. This poses a challenge in associating the development of symptoms with the initiation of the anti-IL-5 therapy, as opposed to the withdrawal of steroids unmasking a pre-existing disease. Additionally, one must consider whether the risk of developing RA is modified by the underlying condition, and indeed there is some evidence to suggested that asthma may be positively associated with RA.11 However, these population-based studies look at asthma as a whole, rather than divided into its endotypes (eg, eosinophilic vs neutrophilic asthma) and as such these have not yet challenged the conventional belief that Th1 and Th2 diseases are inversely related.Emerging evidence has implicated a core role for regulatory eosinophils (rEos) in the resolution of RA.12 In murine models of RA, the expansion of rEos in the synovial fluid as a by-product of inducing eosinophilic asthma was sufficient in bringing about remission of arthritis, and inhibiting the IL-5 pathway would subsequently induce relapse of the arthritis.12 Further evidence supporting a role for rEos in RA can be found at a genetic level where Eotaxin-3, one of the main drivers of eosinophil recruitment, has single nucleotide polymorphisms associated with RA13 and from studying the role of IL-5 in Th2 responses to Helminth infections,14 with mouse models of RA also identifying Helminth infections as protective.15 Hence, the suggestion that the expansion of eosinophils in the synovium ‘regulate’ the proinflammatory Th1 pathways driving synovial inflammation.12 This invites the notion that in a patient with subclinical, yet endogenously controlled, synovial inflammation, removing rEos by administering anti-IL-5 therapeutics may tip the balance in favour of inflammation and permit symptomatic disease. However, if there is little proinflammatory Th1 synovial activity in the first place, then inhibiting rEos with anti-IL-5 biologics may be insufficient to precipitate an inflammatory arthritis.Interestingly, there is debate as to whether rEos are depleted to varying degrees depending on the anti-IL-5 biologic used. In mice, inflammatory eosinophils (iEos)—the primary targets of anti-IL-5 biologics in asthma—may be dependent on IL-5 for activity, whereas rEos may not be.16 This would suggest that benralizumab, a high-affinity IL-5 receptor antagonist,17 would deplete both iEos and rEos through NK-mediated killing, whereas mepolizumab, an anti-IL-5 monoclonal antibody,17 may deplete iEos but keep rEos intact. However, this idea has recently been challenged with evidence that anti-IL-5 treatment depletes all populations of eosinophils.18 Whether this distinction would result in a different pattern of adverse effects in patients remains unclear, notably as the patient who developed RA in this report was receiving mepolizumab.As an audit, this study serves to identify the prevalence of a relatively rare complication of anti-IL-5 therapy. We were unable to find clear evidence for a pattern of emergent RA nor other inflammatory arthritis in our cohort of 142 patients. Further studies may be required to characterise the nature and significance of these findings in clinical groups and to identify whether there is an actual association between novel anti-IL-5 biologics and RA.Data availability statementThe data that support the findings of this study are available upon reasonable request.Ethics statementsPatient consent for publicationConsent obtained directly from patient(s).Ethics approvalThis study was registered as a clinical audit and given the retrospective nature of the data collection process did not require formal ethical approval. In completing this audit, full ethical standards were upheld in accordance with the principles of clinical governance. From the one patient whose details were discussed in more detail we have gained full written consent.References↵Sicotte NL, Voskuhl RR. Onset of multiple sclerosis associated with anti-TNF therapy. Neurology 2001;57:1885–8. doi:10.1212/wnl.57.10.1885OpenUrlCrossRefPubMed↵Hohenberger M, Cardwell LA, Oussedik E, et al. Interleukin-17 inhibition: role in psoriasis and inflammatory bowel disease. J Dermatolog Treat 2018;29:13–8. doi:10.1080/09546634.2017.1329511OpenUrlPubMed↵Bridgewood C, Newton D, Bragazzi N, et al. Unexpected connections of the IL-23/IL-17 and IL-4/IL-13 cytokine axes in inflammatory arthritis and enthesitis. Semin Immunol 2021;58:101520. doi:10.1016/j.smim.2021.101520OpenUrl↵Bridgewood C, Wittmann M, Macleod T, et al. T helper 2 IL-4/IL-13 dual blockade with dupilumab is linked to some emergent T helper 17‒Type diseases, including seronegative arthritis and enthesitis/enthesopathy, but not to humoral autoimmune diseases. J Invest Dermatol 2022;142:2660–7. doi:10.1016/j.jid.2022.03.013OpenUrl↵Harrison T, Canonica GW, Chupp G, et al. Real-world Mepolizumab in the prospective severe asthma REALITI-A study: initial analysis. Eur Respir J 2020;56:2000151. doi:10.1183/13993003.00151-2020↵Liu W, Ma X, Zhou W. Adverse events of benralizumab in moderate to severe eosinophilic asthma: a meta-analysis. Medicine (Baltimore) 2019;98:e15868. doi:10.1097/MD.0000000000015868↵Kawabata H, Satoh M, Yatera K. Development of rheumatoid arthritis during anti-Interleukin-5 therapy in a patient with refractory chronic eosinophilic pneumonia. J Asthma Allergy 2021;14:1425–30. doi:10.2147/JAA.S342993OpenUrl↵Dupin C, Morer L, Phillips Houlbracq M, et al. Arthritis, a new adverse effect of anti-Il5 Biologics in severe asthma patients. European Respiratory Journal 2022;60:2432. doi:10.1183/13993003.congress-2022.2432OpenUrlCrossRef↵Aletaha D, Neogi T, Silman AJ, et al. 2010 rheumatoid arthritis classification criteria: an American college of rheumatology/European League against rheumatism collaborative initiative. Arthritis Rheum 2010;62:2569–81. doi:10.1002/art.27584OpenUrlCrossRefPubMedWeb of Science↵NICE guideline. Overview: rheumatoid arthritis in adults: management [Guidance, NICE]. 2018. Available: https://www.nice.org.uk/guidance/ng100 [Accessed 25 Sep 2023].↵Rolfes MC, Juhn YJ, Wi C-I, et al. Asthma and the risk of rheumatoid arthritis: an insight into the heterogeneity and phenotypes of asthma. Tuberc Respir Dis (Seoul) 2017;80:113–35. doi:10.4046/trd.2017.80.2.113OpenUrl↵Andreev D, Liu M, Kachler K, et al. Regulatory eosinophils induce the resolution of experimental arthritis and appear in remission state of human rheumatoid arthritis. Ann Rheum Dis 2021;80:451–68. doi:10.1136/annrheumdis-2020-218902OpenUrlAbstract/FREE Full Text↵Guellec D, Milin M, Cornec D, et al. Eosinophilia predicts poor clinical outcomes in recent-onset arthritis: results from the ESPOIR cohort. RMD Open 2015;1:e000070. doi:10.1136/rmdopen-2015-000070↵Mishra PK, Palma M, Bleich D, et al. Systemic impact of intestinal helminth infections. Mucosal Immunol 2014;7:753–62. doi:10.1038/mi.2014.23OpenUrlCrossRefPubMed↵Osada Y, Shimizu S, Kumagai T, et al. Schistosoma Mansoni infection reduces severity of collagen-induced arthritis via down-regulation of pro-inflammatory mediators. Int J Parasitol 2009;39:457–64. doi:10.1016/j.ijpara.2008.08.007OpenUrlCrossRefPubMed↵Mesnil C, Raulier S, Paulissen G, et al. Lung-resident eosinophils represent a distinct regulatory eosinophil subset. J Clin Invest 2016;126:3279–95. doi:10.1172/JCI85664OpenUrlCrossRefPubMed↵Caminati M, Menzella F, Guidolin L, et al. Targeting eosinophils: severe asthma and beyond. Drugs Context 2019;8:212587. doi:10.7573/dic.212587OpenUrl↵Dolitzky A, Grisaru-Tal S, Avlas S, et al. Mouse resident lung eosinophils are dependent on IL-5. Allergy 2022;77:2822–5. doi:10.1111/all.15362OpenUrl
|
Scooped by
Gilbert C FAURE
December 13, 2023 4:28 AM
|
|
Scooped by
Gilbert C FAURE
December 9, 2023 3:04 AM
|
📣 Editorial: Calcium pyrophosphate crystal deposition disease—what's new?
✒ Author: Jürgen Braun
🔎 Read the full article: https://lnkd.in/gEz6euBM 🔎 PDF:…
|
Scooped by
Gilbert C FAURE
December 2, 2023 4:35 AM
|
WHAT IS ALREADY KNOWN ON THIS TOPICPatients with rheumatoid arthritis (RA) can be divided into seropositive and seronegative subgroups. The presence of antibodies against post-translationally modified (PTM) proteins such as citrullinated proteins is nowadays used as a diagnostic and prognostic marker in RA. Antibodies directed against carbamylated proteins have more recently been shown to be present in a subset of the seronegative patients and are associated with bone erosions in that group.WHAT THIS STUDY ADDSIn this study, two different anti-PTM antibodies are investigated: anti-advanced glycation end-product modified protein antibodies (anti-AGE) and anti-malondialdehyde-acetaldehyde adduct modified protein antibodies (anti-MAA). These antibodies can be detected in several forms of inflammatory arthritis. Within seronegative RA (negative for rheumatoid factor, anti-citrullinated protein antibodies and anti-carbamylated protein antibodies), 16.9% of patients are positive for anti-MAA and/or anti-AGE antibodies. This subgroup is characterised by an association with HLA-DRB1*03, increased radiographic joint damage and (for anti-MAA) inflammation.HOW THIS STUDY MIGHT AFFECT RESEARCH, PRACTICE OR POLICYThe presence of anti-PTM antibodies like anti-AGE and anti-MAA in patients with RA and other patients with inflammatory arthritis previously considered to be seronegative, may not only serve as a prognostic marker, but importantly may contribute to understanding the pathogenesis of these conditions, including a subset of RA.IntroductionIn rheumatoid arthritis (RA) around two-thirds of patients are autoantibody positive for rheumatoid factor (RF), anti-citrullinated protein antibodies (ACPA) and/or anti-carbamylated protein (anti-CarP) antibodies.1 The remaining seronegative subgroup of RA is clinically heterogeneous and thus far no reliable biomarkers are available to identify these patients or predict their disease course.1ACPA and anti-CarP are antibodies that recognise proteins that have undergone post-translational modification (PTM), citrullination of arginine and carbamylation of lysine respectively.2 3 However, many other types of PTMs exist.4 Two examples of PTMs that are found to associate with disease are advanced glycation end-products (AGE) and malondialdehyde-acetaldehyde adducts (MAA). AGEs are a result of oxidative stress and tissue damage5 and are, for example, present in patients with diabetes mellitus type 2.6 Interestingly, in these patients also antibodies directed against this PTM were observed.6 MAA modifications are a result of reactive oxygen species that are formed during inflammation and oxidative stress.7 Both MAA-modified proteins and anti-MAA antibodies are found in patients with RA, as well as in other diseases.7 AGE and MAA are both highly immunogenic PTMs.8 9 Therefore, it is plausible that antibodies against AGE and MAA are also present in patients with arthritis.Seronegative RA is associated with HLA-DRB1*03, suggesting a role for immunopathology driven by, for example, B cell immunity.10 Indeed, within the ACPA-negative patients, the presence of anti-CarP was associated with HLA-DRB1*03.11 12 However, it did not yet explain the full HLA-DRB1*03 association, raising the possibility that other anti-PTM responses may be present in ‘seronegative’ RA that are present in the remainder of the HLA-DRB1*03 positive individuals.13 14 On top of this haplotype association, within these patients with ACPA-negative RA, anti-CarP was found to associate with a more severe radiological progression.3 Patients with seronegative RA are a diverse group of patients that in many ways resemble undifferentiated arthritis. Presence of antibodies, like anti-PTM antibodies, might help to better understand and characterise subgroups that possibly belong to this so-called seronegative RA.We therefore investigated whether anti-AGE and anti-MAA antibodies are present in patients with RA and other forms of arthritis, and whether they could potentially close the so-called serological gap1 in seronegative RA.MethodsPatientsOne thousand one hundred eighty-six patients with arthritis of at least one joint and a symptom duration of less than 2 years were included in the Leiden Early Arthritis Clinic (EAC) cohort.15 Data were collected at baseline and follow-up (4, 12 months and yearly thereafter). Patients were being followed as long as the patient remained being seen clinically by the rheumatologist. RA was classified based on the 1987 American College of Rheumatology criteria (n=648).16 Definitive diagnoses other than RA (n=538) were made by the treating physician after 1 year of follow-up and were predominantly psoriatic arthritis (PsA) (n=100), inflammatory osteoarthritis (n=95) and gout (n=93) besides other more rare forms of arthritis. For this manuscript, the following diagnoses were termed autoimmune (AI): RA, PsA, spondyloarthritis, sarcoidosis, systemic lupus erythematosus (SLE) and paraneoplastic arthritis. The diagnoses termed as non-autoimmune (non-AI) were: gout, pseudogout and septic arthritis. Clinical and demographic patient characteristics were collected as described previously.17Genotyping, radiological progression and remissionFrom all patients, HLA genotypes were established as described previously.18 The alleles that were marked as shared epitope-encoding HLA (HLA-SE) positive were: HLA-DRB1*01:01, 01:02, 04:01, 04:04, 04:05, 04:08, 10:01 and 14:02. For the radiological progression analyses, 2853 X-ray sets of the hands and feet of 635 patients with RA were scored as described previously using the Sharp-van der Heijde score (SHS).19 20 Sustained drug-free remission (SDFR) was defined as the absence of clinical synovitis after discontinuation of disease-modifying antirheumatic drug treatment, that persisted for the entire follow-up, being at least 1 year.21Anti-AGE and anti-MAA measurementsAnti-AGE and anti-MAA antibodies were detected using an in-house ELISA based on modified fetal calf serum (FCS) as described previously.22 Briefly, modified and non-modified FCS were coated to a Nunc Maxisorp ELISA plate (430341, Thermofisher). In between each sequential step, plates were washed three times using phosphate buffered saline (PBS)/0.05%Tween (Sigma, P1379). After blocking (PBS/1%bovine serum albumin) for 6 hours at 4°C plates were incubated overnight at 4°C with 1/100 or 1/1000 diluted serum for anti-AGE and anti-MAA, respectively. Each plate contained a standard of anti-PTM positive serum to calculate arbitrary units. After incubation, IgG levels were detected using Rabbit-anti-Human IgG-HRP (Dako, P0214). Plates were developed by incubating with 2,2'-azino-bis(3-ethylbenzothiazoline-6-sulfonic acid (ABTS)/0.015% H2O2 (A1888 and 7722-84-1, both from Merck) and absorbance at 415 nm was measured using a microplate reader (Bio-Rad iMark). The cut-off for positivity was set as the mean arbitrary units plus two times the SD of 80 healthy controls, excluding values higher than 10× the mean.Statistical analysisIndependent samples t-test and Mann-Whitney U tests were used to analyse the baseline characteristics. The association of HLA-DRB1*03 with autoantibodies was assessed with logistic regression, and stratified for anti-cyclic citrullinated peptide 2 (anti-CCP2) and anti-CarP if relevant. Correlations between anti-PTM antibodies and inflammatory markers were calculated using Spearman’s rank correlation. For the radiological progression analyses, a multivariate normal regression model for longitudinal data was used with SHS as response variable. The model controlled for the age, sex and inclusion year of the patients.19 SDFR development until follow-up was calculated using Kaplan-Meier survival analysis and Cox’s regression. All statistical analysis were performed using SPSS statistics V.25 (IBM).ResultsAnti-AGE and anti-MAA in patients with arthritisBaseline characteristics are described in table 1. Anti-PTM antibody levels were measured in RA and non-RA arthritis patients and compared with healthy controls (figure 1A,B and online supplemental table 1). The non-RA arthritis group was divided into subgroups and separately depicted based as AI arthritis (without RA) including PsA, paraneoplastic arthritis, SLE, sarcoidosis and spondyloarthritis and as non-AI arthritis including septic arthritis, gout and pseudogout.Supplemental material[rmdopen-2023-003480supp001.pdf]View inline View popup Table 1 Baseline characteristics of the rheumatoid arthritis (RA), non-RA, autoimmune no RA and non-autoimmune group<img class="highwire-fragment fragment-image" height="440" src="https://rmdopen.bmj.com/content/rmdopen/9/4/e003480/F1.medium.gif"; width="315" alt="Figure 1">Download figure Open in new tab Download powerpoint Figure 1 Anti-AGE and anti-MAA show higher levels in RA and occur in a subgroup of patients with anti-CarP anti-CCP2 negative RA. IgG antibody levels of anti-AGE (A) and anti-MAA (B) in patients with (n=648) and without (n=538) RA. Early patients with arthritis were separately depicted as groups: AI without RA (including psoriatic arthritis, paraneoplastic arthritis, SLE, sarcoidosis and spondyloarthritis) and non-AI (including septic arthritis, gout, pseudogout). (C) Upset plots of groups of patients with RA (n=499*) positive for anti-PTM combinations; anti-AGE, anti-MAA, anti-CarP, anti-CCP2 and RF. *Data for anti-CarP was missing for 149 patients with RA. AGE, advanced glycation end-product; AI, autoimmune; aU/mL, arbitrary units per mL; CarP, carbamylated protein; CCP2, citrullinated cyclic peptide 2; MAA, malondialdehyde acetaldehyde adduct; RA, rheumatoid arthritis; RF, rheumatoid factor.Compared with healthy controls, anti-AGE and anti-MAA were most prevalent in RA (anti-AGE: 7.5% in HC vs 44.6% in RA and anti-MAA: 3.8% in HC vs 46.1% in RA) but were also present in other types of early arthritis. Within patients without RA, anti-AGE and anti-MAA were present in 32.9% and 30.3%, respectively and in non-RA AI arthritis anti-AGE and anti-MAA were found in 38.5% and 41.5%, respectively. These data indicate that the presence of anti-PTM antibodies is not specific for RA. When analysing combinations of autoantibodies, the largest subgroup of patients with RA (n=99) had all four anti-PTM antibodies (anti-AGE, anti-MAA, anti-CarP, anti-CCP2) as well as RF, after which the second largest group (n=63) was characterised by the combination of RF, anti-CCP2 and anti-CarP (figure 1C).Interestingly, 67 (34.0%) and 57 (28.9%) of patients with seronegative (RF negative, ACPA negative and anti-CarP negative) RA were positive for anti-AGE and anti-MAA, respectively. Moreover, 40 (20.3%) of these patients with seronegative RA were positive for both anti-AGE and anti-MAA. These anti-PTM responses may identify a new subgroup in the patients with otherwise seronegative RA.HLA-DRB1*03 associates with anti-AGE and anti-MAA independently of anti-CarP in patients with anti-CCP2-negative RASince HLA class II alleles are known to associate with autoantibody positivity in RA, we sought to investigate the presence of HLA-SE and its association with anti-AGE and anti-MAA antibodies. Of all patients with RA, 63.3% were HLA-SE+ (table 1). Based on the well-known association between HLA-SE and RA, the HLA-SE alleles were assessed and were significantly more prevalent in all RA subgroups compared with healthy controls. In the anti-AGE-positive group, as compared with patients with anti-AGE-negative RA however, the prevalence of HLA-SE alleles was similar (table 2). The same was true for anti-MAA; therefore, both anti-AGE and anti-MAA antibodies were not associated with HLA-SE.View inline View popup Table 2 Association between anti-AGE and anti-MAA antibodies and HLA-SE and HLA-DRB1*03 presence in RA and HLA-DRB1*03 presence in non-RA patients from the Leiden EAC cohortSince HLA-DRB1*03 is associated with seronegative RA and anti-CarP antibodies in this disease subset, we sought to investigate the association of HLA-DRB1*03 with anti-AGE and anti-MAA. In patients with RA, HLA-DRB1*03 was more prevalent in anti-AGE-positive and anti-MAA-positive patients as compared with healthy controls with OR values of 1.34 (95% CI 1.01 to 1.78, p=0.05) and 1.29 (95% CI 0.96 to 1.73, p=0.09), although this did not achieve statistical significance compared with anti-AGE-negative or anti-MAA-negative patients, respectively (table 2, part I). To investigate whether HLA-DRB1*03 is associated with anti-MAA and anti-AGE in anti-CCP2-negative RA, we focused on this subset and stratified the analysis for anti-CarP. Within the patients with anti-CCP2 negative RA, anti-AGE and anti-MAA antibodies were associated with HLA-DRB1*03 compared with healthy controls (OR: 1.98, 95% CI 1.27 to 3.07, p=0.003, and OR: 2.37, 95% CI 1.50 to 3.74, p<0.001, respectively). Anti-MAA was associated with HLA-DRB1*03 in the anti-CCP2 negative stratum independent of anti-CarP (OR: 1.91, 95% CI 1.11 to 3.30, p=0.02) (table 2, part II). In this stratified analysis, anti-AGE showed the same trend for association but did not reach significance (OR: 1.48, 95% CI 0.86 to 2.52, p=0.16). Since anti-AGE and anti-MAA often co-occur, we next stratified the association analysis for these autoantibodies, to dissect whether the observed association to HLA-DRB1*03 could be attributed to one of them in particular. After stratification for anti-AGE or anti-MAA, only patients with double positive RA showed a significant association with HLA-DRB1*03 compared with healthy controls (online supplemental table 2, part I). Since some controversy exists on the association of HLA-DRB1*03 in patients with anti-CCP2 negative RA, we investigated the association between anti-AGE and anti-MAA with HLA-DRB1*03 within patients with HLA-SE negative RA. In both HLA-SE negative and anti-CCP2 negative stratum, we find similar associations with anti-AGE/-MAA and HLA-DR1*03 (table 2, part III).In non-RA arthritis patients, both anti-AGE and anti-MAA showed a similar association with HLA-DRB1*03 with OR values of 2.34 (95% CI 1.58 to 3.47, p<0.001) and 1.94 (95% CI 1.29 to 2.92, p=0.002) compared with healthy controls (table 2, part I). In a comparison within the non-RA arthritis patients, HLA DRB1*03 remained significantly associated with anti-AGE-positive compared with anti-AGE-negative patients (OR: 2.22, 95% CI 1.28 to 3.84, p=0.01), while the association with anti-MAA did not remain significant. To disentangle the effects of anti-AGE and anti-MAA, analyses were again stratified, after which only the presence of anti-AGE in patients with anti-MAA-negative without RA remained significantly associated with HLA-DRB1*03 (online supplemental table 2, part II).Taken together, these data indicate that anti-AGE and anti-MAA associate with HLA-DRB1*03 in RA and non-RA arthritis patients, and that this association (which cannot be ascribed to anti-AGE or anti-MAA in particular) is mainly present in patients with anti-CCP2 negative RA. Similar associations were observed in patients with HLA-SE negative RA.Inflammation markers associate with anti-MAA positivity in RA and non-RA arthritisNext, we sought to investigate whether anti-PTM antibodies correlate with inflammation markers erythrocyte sedimentation rate (ESR) and C reactive protein (CRP) (table 3). Higher inflammation parameters in anti-AGE- and anti-MAA-positive individuals were observed in RA and non-RA arthritis patients, and in both the autoimmune and non-autoimmune subgroups of patients with arthritis. To investigate whether both anti-MAA and anti-AGE were associated with acute phase reactants in RA independently, anti-AGE and anti-MAA were stratified for each other. After this stratification, anti-AGE was no longer associated with either CRP or ESR whereas the association of anti-MAA with these inflammation markers remained significant (online supplemental table 3). These data indicate that anti-PTM responses, especially anti-MAA, is associated with markers of inflammation in early arthritis in both RA and non-RA arthritis patients.View inline View popup Table 3 Association between anti-AGE and anti-MAA antibin RA and non-RA arthritis patientsodies and ESR and CRP levelsAnti-AGE and anti-MAA associate with radiological progression in patients with anti-CCP2-negative RAWe next analysed if the presence of anti-AGE and anti-MAA is associated with radiological progression in RA. Anti-AGE-positive patients displayed more radiographic damage per year than anti-AGE-negative patients (p<0.001) (figure 2A). Data were then stratified for anti-CCP2, which revealed that this association was mainly present in the anti-CCP2-negative subgroup (figure 2B). When anti-CCP2 negative patients were further stratified for anti-CarP, the association between anti-AGE and radiographic progression remained significant (figure 2C). This indicates that in patients with anti-CCP2 negative RA, anti-AGE is associated with radiological progression independent of anti-CarP, suggesting that this anti-PTM antibody could discriminate a different subgroup. Anti-MAA positivity was also associated with radiological progression (p=0.002) (figure 2D). This effect was also observed in the anti-CCP2-negative stratum (figure 2E), although no longer significant after stratifying for anti-CCP2. The latter could be a consequence of power as the effect size (beta) which decreased only slightly to 1.03/year, p=0.16 (figure 2E).<img width="393" alt="Figure 2" height="440" class="highwire-fragment fragment-image" src="https://rmdopen.bmj.com/content/rmdopen/9/4/e003480/F2.medium.gif">Download figure Open in new tab Download powerpoint Figure 2 Anti-AGE and anti-MAA associate with radiological progression in patients with RA (n=600). (A) Radiological progression in anti-AGE positive and negative RA. (B) Data stratified for CCP2. (C) Data stratified for anti-CarP in anti-CCP2-negative stratum. (D) Radiological progression in anti-MAA positive and negative RA. (E) Data stratified for CCP2. Data presented as estimate (95% CI), p value. AGE, advanced glycation end-product; CarP, carbamylated protein; CCP2, citrullinated cyclic peptide 2; MAA, malondialdehyde acetaldehyde adduct.Presence of anti-MAA or anti-AGE is not associated with SDFR in RANext, we sought to investigate whether anti-AGE and anti-MAA were associated with SDFR over time (online supplemental figure 3). Anti-AGE was not associated with SDFR, HR 0.93 (95% CI 0.66 to 1.30; p=0.66) which did not differ after adjusting for CCP2 status (HR 1.14, 95% CI 0.81 to 1.61, p=0.46). Anti-MAA-positive patients were less likely to achieve SDFR, compared with anti-MAA-negative patients, HR 0.72 (95% CI 0.51 to 1.00, p=0.053). After adjusting for CCP2 status, there was no longer an association between anti-MAA and SDFR, HR 1.05 (95% CI 0.74 to 1.50, p=0.80).DiscussionIn this study, we demonstrated that anti-AGE and anti-MAA are present in patients with RA, and interestingly also in a substantial part of patients with otherwise seronegative RA. This is not specific for RA, as anti-AGE and anti-MAA antibodies were also present in other forms of early arthritis. Both anti-AGE and anti-MAA are associated with HLA-DRB1*03 in RA, and anti-AGE is also associated with HLA-DR1*03in non-RA arthritis patients. Anti-AGE and anti-MAA are associated with a distinct clinical phenotype: anti-AGE associates with radiological progression in RA whereas anti-MAA only showed a trend with radiological progression but associated with increased inflammatory parameters in both RA and non-RA arthritis.Associations with particular HLA class II alleles have been described to occur in many seropositive AI diseases.13 14 More specifically, HLA-DRB1*03, initially reported to be associated with anti-CCP2 negative RA, was later associated with the presence of anti-CarP, although not all HLA-DRB1*03-positive patients were anti-CarP-positive.10 12 In this study, we observed that HLA-DRB1*03 was associated with anti-AGE and anti-MAA in patients with anti-CCP2 negative RA which was independent of anti-CarP, thereby identifying another subgroup of anti-CCP2 negative RA that is associated with HLA-DRB1*03. In addition, anti-AGE associated with HLA-DRB1*03 in non-RA confirming the robustness of this finding. Together, these observations provide additional insight into the association of HLA-DBR1*03 with (rheumatoid) arthritis; although these alleles are not associated with the presence of ACPA, they do appear to predispose to the formation of other autoantibodies (anti-CarP, anti-AGE and anti-MAA) in a process in which HLA class II-associated T-cell-dependent immune responses are likely to be involved.Interestingly, in RA, anti-AGE associated with radiological progression independent of anti-CCP2 and anti-CarP suggesting an additive value of anti-AGE in determining disease evolution as it could define a new subgroup of patients with RA. Strikingly, anti-AGE was not associated with SDFR. In RA and non-RA, a subgroup of patients is characterised by more extensive inflammation and the presence of anti-MAA antibodies, while a subgroup of patients with CCP2-negative RA is characterised by radiological progression and presence of anti-AGE antibodies. Based on these results, distinct subgroups within RA and non-RA can be delineated based on their specific clinical phenotype.The presence of AGE-modified proteins and anti-AGE antibodies has been observed in diabetes and hypertension.6 23 Also, in synovial tissue and sera of patients with RA, AGE-modified proteins have been detected.24–26 In addition, MAA-modified proteins have been observed before in RA tissue7 and it is clear that both modifications can be induced by inflammation and oxidative stress in the inflamed joint.5 7 Our study now adds that in a subset of the patients with RA antibodies against these PTMs are present. Additionally, anti-AGE and anti-MAA have been found to be associated with ESR in previous studies in RA and SLE.22 PTMs and anti-PTMs such as anti-AGE and anti-MAA add to the understanding that the combined presence of the antigen and the antibody could trigger effector mechanisms and contribute to the overall process of arthritis and joint damage, in RA and also in non-RA. It would therefore be interesting to investigate whether next to carbamylated proteins27 also the modifications AGE and MAA are present in cartilage and synovium. Additionally, experimental pathogenicity studies on anti-AGE and anti-MAA specifically should be performed to elucidate on the contribution of these anti-PTM antibodies to pathogenesis.There are some limitations to our study. Data on anti-CarP antibody levels were missing for 149 patients with RA; therefore, analysis using stratification including anti-CarP could only be performed in a subgroup of all patients with RA. However, this group still consists of 499 patients with RA and therefore still appears a good representation of the RA population. Radiological progression was assessed in 635 patients with RA included before 2006. Thereafter, radiographs have not been scored since radiographic damage has become rare/nearly non-existent with current treatment strategies. This effectively enabled us to detect differences in the, earlier, informative part of the cohort. When stratifying radiological progression data, groups became small and therefore could suffer from insufficient power implicating that significance could not always be reached. It is therefore important to verify associations using different and/or bigger cohorts to be able to generalise findings to the whole RA population. Additionally, in order to verify the results obtained in this study, a replication cohort is needed. In such a study, IgA and IgM responses could be included to elaborate on the full anti-PTM antibody responses in patients with (rheumatoid) arthritis.28 29 One of the strengths of this study is that the EAC is a well-defined cohort containing RA and non-RA early arthritis patients with extensive information on the HLA haplotype and radiological progression for patients with RA.15 Second, antibody responses have been investigated on the PTM-modified proteins and their control proteins. All PTMs were created on the same antigen backbone and reactivity against FCS itself was subtracted from the results. This results in reliable measurements that capture truly PTM-specific signals and decreases the chance of false observations.30 Additionally, correlation analyses were performed (data not shown) and data were stratified for the other investigated anti-PTM and to verify that anti-AGE and anti-MAA are solely responsible for the observed result and not cross-reactive.In conclusion, anti-AGE and anti-MAA antibodies are both prevalent in patients with RA, and other inflammatory rheumatic conditions, and although not specific for RA they each correlate with specific parameters. Anti-MAA associates with HLA-DRB1*03 in CCP2-negative (RA) patients independent of anti-CarP and associates with inflammation. Anti-AGE associates with HLA-DRB1*03 in patients with CCP2-negative RA and is associated with a worse radiological progression especially in patients with anti-CCP2-negative and anti-CarP-negative RA. With this study, we have now characterised a seropositive subgroup within the heterogeneous group of patients with RA that have been thus far been considered seronegative.Data availability statementData are available upon reasonable request. Requests can be sent to l.a.trouw@lumc.nl.Ethics statementsPatient consent for publicationNot applicable.Ethics approvalThe Leiden Early Arthritis Clinic (EAC) cohort was approved by the Medical Ethics Committee Leiden The Hague Delft under reference number: B19.008. For the current study, measurement of anti-PTM antibodies in serum from the EAC cohort is approved under reference number B15.003. Participants gave informed consent to participate in the study before taking part.AcknowledgmentsWe thank Marloes Verstappen and Bianca M. Boxma-de Klerk for their assistance regarding the remission analysis on EAC cohort data.References↵Trouw LA, Mahler M. Closing the serological gap: promising novel biomarkers for the early diagnosis of rheumatoid arthritis. Autoimmun Rev 2012;12:318–22. doi:10.1016/j.autrev.2012.05.007OpenUrlCrossRefPubMed↵Schellekens GA, de Jong BA, van den Hoogen FH, et al. Citrulline is an essential constituent of antigenic determinants recognized by rheumatoid arthritis-specific autoantibodies. J Clin Invest 1998;101:273–81. doi:10.1172/JCI1316OpenUrlCrossRefPubMedWeb of Science↵Shi J, Knevel R, Suwannalai P, et al. Autoantibodies recognizing carbamylated proteins are present in sera of patients with rheumatoid arthritis and predict joint damage. Proc Natl Acad Sci U S A 2011;108:17372–7. doi:10.1073/pnas.1114465108OpenUrlAbstract/FREE Full Text↵Xu H, Wang Y, Lin S, et al. PTMD: a database of human disease-associated post-translational modifications. Genom Proteom Bioinform 2018;16:244–51. doi:10.1016/j.gpb.2018.06.004OpenUrl↵Schmidt AM, Yan SD, Yan SF, et al. The multiligand receptor RAGE as a progression factor amplifying immune and inflammatory responses. J Clin Invest 2001;108:949–55. doi:10.1172/JCI14002OpenUrlCrossRefPubMedWeb of Science↵Nikolov A, Blazhev A, Tzekova M, et al. Serum levels of antibodies to advanced glycation end products in patients with type 2 diabetes mellitus and hypertension. Folia Med (Plovdiv) 2020;62:295–301. doi:10.3897/folmed.62.e47788OpenUrl↵Thiele GM, Duryee MJ, Anderson DR, et al. Malondialdehyde-acetaldehyde adducts and anti-malondialdehyde-acetaldehyde antibodies in rheumatoid arthritis. Arthritis Rheumatol 2015;67:645–55. doi:10.1002/art.38969OpenUrl↵Buongiorno AM, Morelli S, Sagratella E, et al. Immunogenicity of advanced glycation end products in diabetic patients and in nephropathic non-diabetic patients on hemodialysis or after renal transplantation. J Endocrinol Invest 2008;31:558–62. doi:10.1007/BF03346408OpenUrlPubMed↵Thiele GM, Tuma DJ, Willis MS, et al. Soluble proteins modified with acetaldehyde and malondialdehyde are Immunogenic in the absence of adjuvant. Alcohol Clin Exp Res 1998;22:1731–9.OpenUrlCrossRefPubMed↵Verpoort KN, van Gaalen FA, van der Helm-van Mil AHM, et al. Association of HLA-DR3 with anti-cyclic citrullinated peptide antibody-negative rheumatoid arthritis. Arthritis Rheum 2005;52:3058–62. doi:10.1002/art.21302OpenUrlCrossRefPubMedWeb of Science↵Regueiro C, Rodriguez-Rodriguez L, Triguero-Martinez A, et al. Specific association of HLA-Drb1*03 with anti-carbamylated protein antibodies in patients with rheumatoid arthritis. Arthritis Rheumatol 2019;71:331–9. doi:10.1002/art.40738OpenUrl↵Jiang X, Trouw LA, van Wesemael TJ, et al. Anti-carp antibodies in two large cohorts of patients with rheumatoid arthritis and their relationship to genetic risk factors, cigarette smoking and other autoantibodies. Ann Rheum Dis 2014;73:1761–8. doi:10.1136/annrheumdis-2013-205109OpenUrlAbstract/FREE Full Text↵Kirino Y, Remmers EF. Genetic architectures of seropositive and seronegative rheumatic diseases. Nat Rev Rheumatol 2015;11:401–14. doi:10.1038/nrrheum.2015.41OpenUrlCrossRefPubMed↵Cruz-Tapias P, Pérez-Fernández OM, Rojas-Villarraga A, et al. Shared HLA class II in six autoimmune diseases in Latin America: a meta-analysis. Autoimmune Dis 2012;2012:569728. doi:10.1155/2012/569728↵de Rooy DPC, van der Linden MPM, Knevel R, et al. Predicting arthritis outcomes--what can be learned from the Leiden early arthritis clinic Rheumatology (Oxford) 2011;50:93–100. doi:10.1093/rheumatology/keq230OpenUrlCrossRefPubMedWeb of Science↵Arnett FC, Edworthy SM, Bloch DA, et al. The American rheumatism association 1987 revised criteria for the classification of rheumatoid arthritis. Arthritis Rheum 1988;31:315–24. doi:10.1002/art.1780310302OpenUrlCrossRefPubMedWeb of Science↵van Aken J, van Bilsen JH, Allaart CF, et al. The leiden early arthritis clinic. Clin Exp Rheumatol 2003;21:S100–5.OpenUrlPubMedWeb of Science↵Huizinga TWJ, Amos CI, van der Helm-van Mil AHM, et al. Refining the complex rheumatoid arthritis phenotype based on specificity of the HLA-DRB1 shared EPITOPE for antibodies to citrullinated proteins. Arthritis Rheum 2005;52:3433–8. doi:10.1002/art.21385OpenUrlCrossRefPubMedWeb of Science↵Knevel R, Krabben A, Brouwer E, et al. Genetic variants in Il15 associate with progression of joint destruction in rheumatoid arthritis: a multicohort study. Ann Rheum Dis 2012;71:1651–7. doi:10.1136/annrheumdis-2011-200724OpenUrlAbstract/FREE Full Text↵van der Heijde D. How to read radiographs according to the sharp/Van der heijde method. J Rheumatol 2000;27:261–3.OpenUrlPubMedWeb of Science↵Verstappen M, van Steenbergen HW, de Jong PHP, et al. Unraveling heterogeneity within ACPA-negative rheumatoid arthritis: the subgroup of patients with a strong clinical and serological response to initiation of DMARD treatment favor disease resolution. Arthritis Res Ther 2022;24:4. doi:10.1186/s13075-021-02671-z↵Monahan RC, van den Beukel MD, Borggreven NV, et al. Autoantibodies against specific post-translationally modified proteins are present in patients with lupus and associate with major neuropsychiatric manifestations. RMD Open 2022;8:e002079. doi:10.1136/rmdopen-2021-002079↵Aso Y, Inukai T, Tayama K, et al. Serum concentrations of advanced glycation endproducts are associated with the development of atherosclerosis as well as diabetic microangiopathy in patients with type 2 diabetes. Acta Diabetol 2000;37:87–92. doi:10.1007/s005920070025OpenUrlCrossRefPubMedWeb of Science↵Drinda S, Franke S, Canet CC, et al. Identification of the advanced glycation end products N(Epsilon)-carboxymethyllysine in the synovial tissue of patients with rheumatoid arthritis. Ann Rheum Dis 2002;61:488–92. doi:10.1136/ard.61.6.488OpenUrlAbstract/FREE Full Text↵de Groot L, Hinkema H, Westra J, et al. Advanced glycation endproducts are increased in rheumatoid arthritis patients with controlled disease. Arthritis Res Ther 2011;13:R205. doi:10.1186/ar3538↵Ligier S, Fortin PR, Newkirk MM. A new antibody in rheumatoid arthritis targeting glycated IgG: Igm anti-IgG-AGE. Br J Rheumatol 1998;37:1307–14. doi:10.1093/rheumatology/37.12.1307OpenUrlCrossRefPubMed↵Verheul MK, Janssen GMC, de Ru A, et al. Mass-spectrometric identification of carbamylated proteins present in the joints of rheumatoid arthritis patients and controls. Clin Exp Rheumatol 2021;39:570–7. doi:10.55563/clinexprheumatol/0ms5pkOpenUrlPubMed↵van Delft MAM, van der Woude D, Toes REM, et al. Secretory form of rheumatoid arthritis-associated autoantibodies in serum are mainly of the Igm Isotype, suggesting a continuous reactivation of autoantibody responses at mucosal surfaces. Ann Rheum Dis 2019;78:146–8. doi:10.1136/annrheumdis-2018-213724OpenUrlFREE Full Text↵Mikuls TR, Duryee MJ, England BR, et al. Malondialdehyde-acetaldehyde antibody concentrations in rheumatoid arthritis and other rheumatic conditions. Int Immunopharmacol 2018;56:113–8. doi:10.1016/j.intimp.2018.01.022OpenUrl↵Åhlin E, Elshafie AI, Nur MAM, et al. Anti-citrullinated peptide antibodies in sudanese patients with leishmania donovani infection exhibit reactivity not dependent on citrullination. Scand J Immunol 2015;81:201–8. doi:10.1111/sji.12265OpenUrl
|
Scooped by
Gilbert C FAURE
September 23, 2023 10:31 AM
|
Over the past 5 years, we have witnessed significant advances in the field of osteoarthritis (OA) in terms of epidemiology, prognostic markers and therapeutic options. The year 2018 can be considered a breakthrough with the publication of a draft guidance by the Food and Drug Administration (FDA)...
|
Scooped by
Gilbert C FAURE
September 6, 2023 8:24 AM
|
This is a recent overview on the role of lifestyle to optimize the management of patients with psoriatic arthritis. Hope you find interesting!
|
|
Scooped by
Gilbert C FAURE
February 29, 2024 2:11 AM
|
Rheumatoid arthritis (RA) is a chronic autoimmune disease that affects millions of individuals worldwide, causing pain, inflammation, and joint damage. Despite its prevalence, RA can be misunderstood, leading to challenges in diagnosis and management.
|
Scooped by
Gilbert C FAURE
February 24, 2024 8:09 AM
|
Here the authors use positron emission tomography to visualize fibroblasts in patients with arthritis and combined with spatial transcriptomic data show that these cells undergo a phenotypic shift upon resolution of inflammation.
|
Scooped by
Gilbert C FAURE
February 19, 2024 3:22 AM
|
Si la revue #Rhumatos fête ses 20 ans, la #rhumatologie a connu des bouleversements significatifs pendant cette même période comme en témoigne ce numéro…
|
Scooped by
Gilbert C FAURE
February 13, 2024 11:17 AM
|
SNDS et maladie rare : le syndrome de Sjögren (SS) en France (#Publication)
🎯 Objectifs : Estimer la prévalence, l'incidence, la mortalité et les coûts de…
|
Scooped by
Gilbert C FAURE
February 1, 2024 1:45 PM
|
|
Scooped by
Gilbert C FAURE
January 22, 2024 6:18 AM
|
EULAR has published the 2023 updated recommendations for the optimal non-pharmacological management of hip and knee osteoarthritis (OA). Non-pharmacological treatments for OA are as important and impactful at improving pain, function and quality of life in OA. These EULAR recommendations were originally published in 2013. This update began in 2022 with a multidisciplinary Task Force (25 members from 14 European countries) who conducted a systematic literature review that became the basis for updated recommendations.
|
Scooped by
Gilbert C FAURE
January 10, 2024 11:01 AM
|
A Swedish study examine the genetic contribution to various rheumatic/musculoskeletal diseases (RMDs) and showed that osteoarthritis (OA) had a large heritability compared with other RMDs.
|
Scooped by
Gilbert C FAURE
December 13, 2023 4:40 AM
|
Article Text Article menu PDF Viewpoint Goodbye to the term ‘ankylosing spondylitis’, hello ‘axial spondyloarthritis’: time to embrace the ASAS-defined nomenclature http://orcid.org/0000-0002-5781-158XDésirée van der Heijde1, http://orcid.org/0000-0003-2246-1986Anna Molto2,3,...
|
Scooped by
Gilbert C FAURE
December 9, 2023 9:56 AM
|
🔥 𝟭𝗲̀𝗿𝗲𝘀 𝗹𝗶𝗴𝗻𝗲𝘀 𝗱𝗶𝗿𝗲𝗰𝘁𝗿𝗶𝗰𝗲𝘀 𝗱𝗲 𝗹’𝗢𝗠𝗦 𝘀𝘂𝗿 𝗹𝗮 𝗹𝗼𝗺𝗯𝗮𝗹𝗴𝗶𝗲 𝗰𝗵𝗿𝗼𝗻𝗶𝗾𝘂𝗲 🤸♂️ :
👉… | 12 comments on LinkedIn
|
Scooped by
Gilbert C FAURE
December 3, 2023 3:53 AM
|
Classically, particle-induced periprosthetic osteolysis at the implant–bone interface has explained the aseptic loosening of joint replacement. This response is preceded by triggering both the innate and acquired immune response with subsequent activation of osteoclasts, the bone-resorbing cells. Although particle-induced periprosthetic osteolysis has been considered a foreign body chronic inflammation mediated by myelomonocytic-derived cells, current reports describe wide heterogeneous inflammatory cells infiltrating the periprosthetic tissues. This review aims to discuss the role of those non-myelomonocytic cells in periprosthetic tissues exposed to wear particles by showing original data. Specifically, we discuss the role of T cells (CD3+, CD4+, and CD8+) and B cells (CD20+) coexisting with CD68+/TRAP− multinucleated giant cells associated with both polyethylene and metallic particles infiltrating retrieved periprosthetic membranes. This review contributes valuable insight to support the complex cell and molecular mechanisms behind the aseptic loosening theories of orthopedic implants.
|
Scooped by
Gilbert C FAURE
November 9, 2023 7:23 AM
|
Adhesive capsulitis is an idiopathic and disabling disorder characterized by intense shoulder pain and progressive limitation of active and passive glenohumeral joint range of motion. Although adhesive capsulitis has been traditionally considered a diagnosis of exclusion that can be established...
|
Scooped by
Gilbert C FAURE
September 9, 2023 5:00 AM
|
Imagine that 100 years from now, your great granddaughter, an eminent rheumatologist, reviews the history of rheumatoid arthritis mimics.
|