 Your new post is loading...
 Your new post is loading...
|
Scooped by
Gust MEES
December 9, 2024 3:47 PM
|
|
Scooped by
Gust MEES
May 26, 2024 6:32 PM
|
|
Scooped by
Gust MEES
March 29, 2023 2:39 PM
|
|
Scooped by
Gust MEES
September 16, 2022 6:21 AM
|
Neuer Bluttest erkennt 50 Krebsarten Fakt ist: Je früher Krebs entdeckt wird, desto besser kann er behandelt werden. Dann ist der Tumor kleiner und leichter zu entfernen. Zugleich ist die Wahrscheinlichkeit, dass Krebszellen bereits gestreut haben und es Metastasen gibt, geringer.
Zu den gängigsten Diagnose-Methoden gehören Röntgen- und Ultraschalluntersuchungen. Direkt im Blut der Patient:innen Tumor-Zellen zu erkennen, ist seit langem Ziel der Forschung. Bisher war die Diagnostik in diesem Bereich nicht sehr ausgereift und Krebs-Erkrankungen häufig schon fortgeschritten.
Ein neuer Bluttest will das ändern: Über 50 unterschiedliche Krebsarten soll der Test mit einer einzigen Blutprobe erkennen - und gleichzeitig den Ursprung im Körper auffinden.
Das Wissenschaftler:innen erhofft sich dadurch, Tumore auszuspüren, die sonst nur schwer zu entdecken sind - beispielsweise bei Bauchspeicheldrüsen-Krebs. "Diese Studie deutet darauf hin, dass es Hoffnung gibt, Krebsarten zu erkennen, die derzeit nicht erkannt werden können", erklärte Professor Deborah Schrag aus dem Forschungsteam. Learn more / En savoir plus / Mehr erfahren: https://www.scoop.it/t/21st-century-innovative-technologies-and-developments/?&tag=Cancer https://www.scoop.it/topic/21st-century-innovative-technologies-and-developments/?&tag=Research
|
Scooped by
Gust MEES
October 23, 2021 8:39 AM
|
|
Scooped by
Gust MEES
June 29, 2021 9:46 AM
|
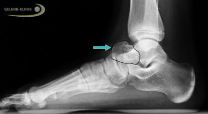
Die kartilaginäre Exostose am Fuß und Sprunggelenk ist ein gutartiger Knochentumor. Die kartilaginäre Exostose wird auch als Osteochondrom bezeichnet. Die Exostose besteht aus langsam verknöcherndem Knorpel und Knochengewebe. Dieses Osteochondrom kann praktisch an allen Knochen als gutartige Wucherung der Epiphysenfuge (Wachstumszone) des Körpers vorkommen. Learn more / En savoir plus / Mehr erfahren: https://www.scoop.it/topic/21st-century-innovative-technologies-and-developments/?&tag=Health
|
Scooped by
Gust MEES
February 26, 2020 5:39 PM
|
A new study suggests that the aerosol vape users inhale deposits bad bacteria into the mouth. The bad bacteria increase a person's risk of cavities, infection, bad breath, and oral cancer. If left untreated, poor oral health conditions can affect the rest of a person's body. Chronic oral health problems have been linked to diabetes, Alzheimer's, and heart disease. The study author suggested e-cigarette users work towards cessation to prevent oral health problems. Learn more / En savoir plus / Mehr erfahren: https://www.scoop.it/t/21st-century-innovative-technologies-and-developments/?&tag=eCigarettes
|
Scooped by
Gust MEES
December 17, 2019 9:22 AM
|
Dampfer von E-Zigaretten haben ein erhöhtes Risiko für chronische Lungenkrankheiten wie COPD, Asthma und Bronchitis. Das schreiben US-Forscher, nachdem sie Tausende Menschen - darunter Dampfer, Tabakraucher, Ex-Raucher und Nichtraucher - über einen Zeitraum von zwei Jahren befragt hatten. Die Wahrscheinlichkeit, innerhalb dieser Zeit zu erkranken, war für Dampfer um 30 Prozent höher als für abstinente Menschen, wie die Wissenschaftler im Fachmagazin "American Journal of Preventive Medicine" berichten. Bei Tabakrauchern war die Wahrscheinlichkeit um etwa 150 Prozent höher. Learn more / En savoir plus / Mehr erfahren: https://www.scoop.it/t/21st-century-innovative-technologies-and-developments/?&tag=eCigarettes
|
Scooped by
Gust MEES
November 13, 2019 12:05 PM
|
E-cigarettes may be more harmful to a smoker’s heart than traditional tobacco cigarettes. That’s the finding of new research from Cedars-Sinai Medical Center in Los Angeles, presented today (Nov. 11) at an American Heart Association scientific conference.
The Cedars-Sinai team compared the hearts of 10 non-smokers to the hearts of 10 tobacco smokers and 10 e-cigarette smokers. All the people in the study were younger than 40, and all were otherwise healthy. In response to a mild bout of exercise, measures of blood flow increased in the hearts of the non-smokers. Among the tobacco smokers, this increase was blunted. But among the e-cigarette smokers, there was no increase at all. “This suggests e-cigarettes cause an abnormality that impedes blood flow regulation in the heart,” says Dr. Florian Rader, coauthor of the study and a heart specialist at Cedars-Sinai’s Smidt Heart Institute. Learn more / En savoir plus / Mehr erfahren: https://www.scoop.it/t/21st-century-innovative-technologies-and-developments/?&tag=eCigarettes
|
Scooped by
Gust MEES
September 6, 2019 2:06 PM
|
Die Zahl der Todesfälle in den USA nach Benutzung von E-Zigaretten ist auf mindestens drei gestiegen. Ein vierter Tod werde in diesem Zusammenhang untersucht, sagte Dana Meaney-Delman von der US-Gesundheitsbehörde CDC. "Wir wissen von drei Toten und einem Fall, der untersucht wird." Insgesamt seien den Behörden mittlerweile 450 mögliche Erkrankungen in mehr als 30 Bundesstaaten gemeldet worden.
In den USA hatten sich die Meldungen ungeklärter Lungenerkrankungen, die nach dem Konsum von E-Zigaretten auftreten, in den vergangenen Wochen gehäuft. Die Symptome reichten von Atembeschwerden, Atemnot und Brustschmerzen bis hin zu Fällen von Magen-Darm-Erkrankungen mit Erbrechen und Durchfall. Learn more / En savoir plus / Mehr erfahren: https://www.scoop.it/t/21st-century-innovative-technologies-and-developments/?&tag=eCigarettes
|
Scooped by
Gust MEES
June 12, 2019 11:26 AM
|
Sie soll die Lebenserwartung deutlich verlängern oder gar zur Heilung führen: eine neue Gen-Therapie gegen Krebs. Jetzt kam sie zum ersten Mal an der Uniklinik Leipzig zum Einsatz - an einem Patienten mit Lymphdrüsenkrebs. Die Therapie habe bei ihm angeschlagen, berichten die Ärzte.
Am Leipziger Universitätsklinikum (UKL) wurde ein Patient mit Lymphdrüsenkrebs zum ersten Mal mit einer Gen-Therapie behandelt – mit Aussicht auf Erfolg. Nachdem sie alle anderen Therapiemöglichkeiten ausgeschöpft hatten, entschieden sich die Ärzte für eine Kombination aus Zell- und Gen-Therapie, die erst im August vergangenen Jahres in Europa zugelassen wurde. Ihr Name: Kymriah. Learn more / En savoir plus / Mehr erfahren: https://www.scoop.it/t/21st-century-innovative-technologies-and-developments/?&tag=Cancer
|
Scooped by
Gust MEES
May 14, 2019 7:08 AM
|
|
Scooped by
Gust MEES
March 31, 2019 10:24 PM
|
When we looked at stool from breast and lung cancer patients, we discovered that important bacteria were missing from the microbiome,” Culler says. The absence of certain gut microbes, mostly Firmicutes bacteria, could explain why immune checkpoint inhibitors—drugs that block cancer-friendly proteins and help facilitate the immune system’s response to cancer cells—don’t work on some patients. “We believe that those bacteria are important for the immune system to be able to respond to those drugs,” Culler says.
Along with fellow chemical engineer Steve Van Dien, Culler cofounded Persephone Biome in the summer of 2017 to study the relationship between gut bacteria and cancer. Named for Persephone, the Greek goddess of vegetation who appears in the spring and descends back into the underworld after harvesttime, Culler’s company is gearing up for clinical trials that will test specific gut microbes to see if they improve the function of checkpoint inhibitors in breast and non-small cell lung cancer patients. (A second product will focus on CAR-T cell therapy, which uses patients’ own immune cells that have been genetically engineered to treat their cancer.)
“Our goal is to create therapeutics to convert non-responders into responders,” Culler says, referring to patients who do or do not respond to checkpoint inhibitors. Her company hopes to engineer a mix of selected gut bacteria that can be taken in pill form to heal patients’ microbiomes, which can be damaged by antibiotics and poor diet, as she discussed recently in a talk at TEDx San Diego. Learn more / En savoir plus / Mehr erfahren: https://www.scoop.it/t/21st-century-innovative-technologies-and-developments/?&tag=Cancer
|
|
Scooped by
Gust MEES
August 28, 2024 10:43 AM
|
INKONTINENZ DURCH BANDSCHEIBENVORFALL UND SPINALKANALSTENOSE Eine Gehirn-, Rückenmarks- oder Nervenschädigung kann zu Blasenschwäche führen Eine Verengung des Spinalkanals in der Hals- oder Lendenwirbelsäule, ein Bandscheibenvorfall sowie Entzündungen von Gehirn, Rückenmark oder Beckennerven können zu Störungen der Blasenfunktion und einer Inkontinenz führen. Auslöser sind der Druck auf oder die Beschädigung von Blasen- und Beckenbodennerven. Learn more / En savoir plus / Mehr erfahren: https://www.scoop.it/topic/21st-century-innovative-technologies-and-developments/?&tag=Health
|
Scooped by
Gust MEES
May 8, 2023 10:45 AM
|
|
Scooped by
Gust MEES
September 23, 2022 8:38 AM
|
|
Scooped by
Gust MEES
June 8, 2022 7:34 AM
|
Hoffnung für Darmkrebspatienten: Bei der Teststudie für ein Medikament gegen Darmkrebs soll die Krankheit bei allen teilnehmenden Menschen verschwunden sein. Dies habe selbst die behandelnden Ärzte überrascht, berichtet die „Daily Mail“.
Demnach wurden 18 Erkrankte mit dem Wirkstoff Dostarlimab behandelt. Ein Jahr nach der Behandlung sei der Darmkrebs aus den Körpern der Probanden verschwunden. Seine Studienergebnisse veröffentlichte das Forscherteam des New Yorker Memorial Sloan Kettering Cancer Center im „New England Journal of Medicine“. Learn more / En savoir plus / Mehr erfahren: https://www.scoop.it/t/21st-century-innovative-technologies-and-developments/?&tag=Cancer
|
Scooped by
Gust MEES
October 11, 2021 4:38 PM
|
|
Scooped by
Gust MEES
November 1, 2020 11:11 AM
|
La cigarette électronique est devenue la principale alternative au tabac pour des millions de fumeurs dans le monde. Pourtant, elle n'en serait pas moins nocive. Selon une étude menée par des chercheurs de l'école de médecine de Stanford, le liquide qui permet d'aromatiser la vapeur des cigarettes électroniques pourrait augmenter le risque de maladies cardiovasculaires, la première cause de mortalité dans le monde, deuxième en France. Les scientifiques ont étudié l'effet de ces e-liquides sur les cellules endothéliales. Ces cellules tapissent l'intérieur des vaisseaux sanguins et jouent un rôle essentiel dans la santé cardiaque et cardiovasculaire. Learn more / En savoir plus / Mehr erfahren: https://www.scoop.it/t/21st-century-innovative-technologies-and-developments/?&tag=eCigarettes
|
Scooped by
Gust MEES
December 19, 2019 1:33 PM
|
Israeli scientists say a new study has shown that a small molecule called PJ34 has triggered the self-destruction of human pancreatic cancer cells in mice. According to the research, published in the peer-reviewed open-access biomedical journal Oncotarget, the administration of the molecule reduced the number of cancer cells in developed tumors by up to 90 percent in 30 days.
The study was led by Professor Malka Cohen-Armon and her team at Tel Aviv University’s Sackler Faculty of Medicine, in collaboration with Dr. Talia Golan and her team at the Cancer Research Center at Sheba Medical Center, and conducted with transplantations of human pancreatic cancer cells into immunocompromised mice, or xenografts. Learn more / En savoir plus / Mehr erfahren: https://www.scoop.it/t/21st-century-innovative-technologies-and-developments/?&tag=Cancer
|
Scooped by
Gust MEES
November 30, 2019 9:53 AM
|
Klassifikation nach ICD-10 M70 Krankheiten des Weichteilgewebes im Zusammenhang mit Beanspruchung, Überbeanspruchung und Druck M70.1 Bursitis im Bereich der Hand M70.2 Bursitis olecrani M70.3 Sonstige Bursitis im Bereich des Ellenbogens M70.4 Bursitis praepatellaris M70.5 Sonstige Bursitis im Bereich des Knies M70.6 Bursitis trochanterica M70.7 Sonstige Bursitis im Bereich der Hüfte M71.1 Sonstige infektiöse Bursitis M71.4 Bursitis calcarea M71.5 Sonstige Bursitis, anderenorts nicht klassifiziert M71.9 Bursopathie, nicht näher bezeichnet- Bursitis o.n.A.
Studentenellenbogen („student’s elbow“)
|
Scooped by
Gust MEES
November 2, 2019 8:21 AM
|
|
Scooped by
Gust MEES
September 6, 2019 1:56 PM
|
(CNN) US health officials announced Friday that they are now aware of at least 450 possible cases of severe lung disease that could be caused by vaping.
These cases, which have occurred in 33 states and one jurisdiction, include some cases that are still under investigation by state health officials. A third confirmed death was also revealed in Indiana, and a fourth remains under investigation as a possible case. Two other deaths -- one in Illinois and one in Oregon -- had been previously reported. One week ago, the US Centers for Disease Control and Prevention announced it was aware of at least 215 cases in 25 states, although that number did not include additional cases still under investigation. Learn more / En savoir plus / Mehr erfahren: https://www.scoop.it/t/21st-century-innovative-technologies-and-developments/?&tag=eCigarettes
|
Scooped by
Gust MEES
May 29, 2019 3:07 PM
|
Onkologen sind besorgt, weil bei den Unter-30-Jährigen die Darmkrebsfälle deutlich zunehmen. Gesündere Ernährung und mehr Bewegung von Kindheit an könnte das Risiko senken. Aber auch das familiäre Risiko müsste mehr beachtet werden – es führt häufig zu Darmkrebs in jungen Jahren.
Die meisten Krebspatienten sind bei der Diagnose jenseits der 60. Das gilt auch für Darmkrebs, die zweithäufigste Krebserkrankung in Deutschland. Die Hälfte der Patienten ist über 70, wenn sie von ihrer Erkrankung erfährt. Allerdings registrieren Onkologen in den letzten Jahren eine Zunahme von Darmkrebsfällen bei Menschen unter 50. Besonders groß ist der Zuwachs bei den ganz jungen Erwachsenen von 20 bis 29 Jahren. Learn more / En savoir plus / Mehr erfahren: https://www.scoop.it/t/21st-century-innovative-technologies-and-developments/?&tag=Cancer
|
Scooped by
Gust MEES
April 1, 2019 2:56 PM
|
Wann ein Typ-2-Diabetes vorliegt, dafür gibt es klare Definitionen: Überschreitet die Menge an Traubenzucker (Glukose) im Blut eine bestimmte Schwelle, sprechen Ärzte von der Zuckerkrankheit. Sie ist zum Beispiel erreicht, wenn der Blutzucker auf über 126 Milligramm pro Deziliter (mg/dl) beziehungsweise 7,0 Millimol pro Liter (mmol/l) geklettert ist. Bei Gesunden liegen die Zuckerwerte unter 100 mg/dl beziehungsweise unter 5,6 mmol/l.
Grauzone Prädiabetes Doch was ist mit den Menschen, bei denen der Zuckerspiegel bereits über der Norm liegt, die Definition für einen Diabetes aber noch nicht erfüllt ist? Sie befinden sich in einer Art Grauzone. "Die amerikanische Diabetes-Gesellschaft bezeichnet diese Grauzone auch als ‚Prädiabetes‘, also als ein Vorstadium zum Diabetes", sagt Professor Dirk Müller-Wieland, Pressesprecher der Deutschen Diabetes Gesellschaft.
Betroffene besitzen ein erhöhtes Risiko, in den kommenden Jahren einen Diabetes zu entwickeln. Je früher Menschen mit dieser Risikokonstellation erkannt werden, desto besser. Denn in diesem Fall besteht eine gute Chance, die Zuckerkrankheit mit vergleichsweise einfachen Lebensstiländerungen noch abzuwenden.
Wann liegt ein Prädiabetes vor? Nach derzeitiger Definition sprechen Ärzte von einem Prädiabetes, wenn eines der folgenden Kriterien erfüllt ist:
Blutzuckerkonzentration nüchtern: zwischen 100 und 125 mg/dl (5,6-6,9 mmol/l) Blutzuckerkonzentration zwei Stunden nach Gabe von Glukose (Glukosetoleranz): zwischen 140 und 199 mg/dl bzw. 7,8-11,0 mmol/l Langzeitzuckerwert HbA1c: zwischen 5,7 und 6,4 Prozent "Derartige Werte deuten darauf hin, dass das Insulin nicht mehr richtig wirkt und der Blutzucker nur noch eingeschränkt in die Zellen aufgenommen wird", sagt Müller-Wieland. Das Hormon Insulin hat die Aufgabe, den Zucker aus den Blutbahnen in die Zellen zu schleusen. Sprechen diese nicht mehr richtig auf Insulin an, bezeichnen Ärzte das als Insulinresistenz. Die Folge: Die Glukose verbleibt im Blut und der Blutzuckerspiegel ist dauerhaft erhöht. Vor allem Übergewicht, Bewegungsmangel und eine genetische Veranlagung tragen zu dieser Entwicklung bei. Learn more / En savoir plus / Mehr erfahren: https://www.scoop.it/t/21st-century-innovative-technologies-and-developments/?&tag=Medicine https://www.scoop.it/t/21st-century-innovative-technologies-and-developments/?&tag=Diabetes
|
Startup Phantom Neuro is building an implant that sits under the skin and which promises to give amputees more accurate control of electronic prosthetics.
Learn more / En savoir plus / Mehr erfahren:
https://www.scoop.it/t/21st-century-innovative-technologies-and-developments/?&tag=prosthesis